嗜酸性胃肠炎诊断与治疗(病例与病理对照)
嗜酸性粒细胞性胃肠炎的病因不明,但易引起Th2介导的一系列等过敏反应,引起消化道中IL-5,-13,-15,eotaxin等细胞因子增多,嗜酸性粒细胞和肥大细胞被活化,引起消化道黏膜损害的过敏性疾病。本病40岁以上年龄段为多发,男女发病率无差异,有哮喘等过敏史多发。临床以腹痛和腹泻多见,外周血白细胞的增加和嗜酸性粒细胞的增加在80%以上.内镜检查中多发现黏膜糜烂、发红、水肿等。内镜检查不能确诊,需要多部位多次活检。浆膜下有病变的病例容易发现腹水,腹水中发现大量嗜酸性粒细胞。治疗以激素为主,减量或停止治疗后容易复发。
临床表现
关于嗜酸性粒细胞性胃肠炎的总结报道很少,大多是少数病例的病例系列,有可能存在偏倚。男女几乎没有差别;发病年龄从幼儿到成人不等,平均年龄为40多岁。
关于发病部位,病变可能存在于从食管到直肠的所有部位,频率高的是胃和小肠,分别有26-81%、28-100%的病例存在病变。日本的研究结果中,按照小肠、大肠、胃、食道的顺序存在病变的频率高。
众所周知,患有嗜酸性粒细胞性胃肠炎的病例具有与过敏有关的病史的频率较高。特别是对食物和环境物质多有支气管哮喘等气道过敏和皮肤过敏。并且,有报告显示,特异性皮炎和过敏性鼻炎的并发也很多。在研究组的统计数据中,约半数的病例有某种过敏性疾病的病史,其中频率最高的是支气管哮喘,在有过敏史的病例中占半数以上。有嗜酸性粒细胞性食管炎的病例也有约半数的过敏史,其中约一半是支气管哮喘,所以关于过敏史,嗜酸性粒细胞性胃肠炎和嗜酸性粒细胞性食管炎是类似的。
症状根据病变主要存在的消化道部位和嗜酸性粒细胞多数浸润引起强烈炎症的消化管壁的层而不同。以往在黏膜存在病变的情况下,有腹痛、恶心、呕吐、腹泻、体重减少,在肌层存在病变的情况下,可出现梗阻症状恶心、呕吐、腹痛。一般认为,在浆膜下存在病变的情况下,发现腹水。嗜酸性粒细胞性胃肠炎病例多诉说腹痛以及腹泻。另外,也发现了很多通过某种方法证明腹水的例子。
样本检查中为500个/μ l 以上的末梢血嗜酸性粒细胞增多是半数以上的病例, 可以看出,嗜酸性粒细胞增多频率比嗜酸性粒细胞性食管炎高。末梢血总白血球数的增加有半数, 10000个/μ l 以上白血球增加的病例也很多。IgE 增加和对牛奶和奶酪抗原特异性 IgE 增加的例子也有报告,但是关于其频率和临床意义还没有明确。
在CT、X线造影检查、超声内镜检查中确认消化管壁肥厚的病例有半数以上,被证明肠道狭窄的病例很少见。另外,使用用放射性同位素标记的白细胞进行显像,就可以检测出病变部位,其检测灵敏度也很高。
内镜及病理诊断
在内镜检查中,随着嗜酸性粒细胞对黏膜的浸润,消化道脏器存在各种病变。通过内镜检查发现黏膜病变,糜烂、发红、水肿虽然多见,但特异性不高。很难根据内镜检查诊断为嗜酸性粒细胞性胃肠炎。肌层存在病变时,病变部位的消化道狭窄,但黏膜面上没有发现异常,即使进行内镜下的活检诊断,也没有发现病态的嗜酸性粒细胞浸润。如果是黏膜上发生嗜酸性粒细胞浸润的黏膜型嗜酸性粒细胞性胃肠炎,只要进行内镜下的活检病理诊断,可以鉴定多个嗜酸性粒细胞向黏膜固有层、黏膜下层的浸润。一般来说,在400倍的高倍率视野下进行观察,在每个视野发现20个以上的嗜酸性粒细胞浸润的情况下,多认为是异常。但是,在测量健康成人消化道各部位黏膜的嗜酸性粒细胞浸润数时,在末端回肠和右侧结肠中,即使是健康者,每高倍率视野也发现20个以上的嗜酸性粒细胞的情况并不少见,根据消化管的部位,仅凭嗜酸性粒细胞数诊断为嗜酸性粒细胞性胃肠炎应该慎重。
病理组织检查是很重要的。在肌层型和浆膜型中,活检诊断是无效的。即使在黏膜内发现多个嗜酸性粒细胞浸润,也与溃疡性大肠炎等炎症性肠病、寄生虫感染症、嗜酸性粒细胞增多综合征、血管炎性肉芽肿、伴随胶原病的消化道病变、塞利亚克病、嗜酸性粒细胞白血病等进行鉴别诊断。
诊断标准(2015版)
必须项
1.有症状(腹痛、腹泻、呕吐等)。2.在胃、小肠、大肠的活检中,黏膜内存在以嗜酸性粒细胞为主体的炎症细胞浸润(20/HPF以上的嗜酸性粒细胞浸润,活检在数处以上进行,另外,需要排除其他炎症性肠病、寄生虫病、全身性疾病。在末端回肠、右侧结肠,即使是健康者也会看到20/HPF以上的嗜酸性粒细胞浸润,所以要注意。)或者存在腹水,腹水中存在多个嗜酸性粒细胞。
参考项
1.有哮喘等过敏性疾病的病史。2.末梢血中发现嗜酸性粒细胞增多。3.CT扫描发现胃,发现肠管壁肥厚。4.内镜检查发现胃、小肠、大肠有水肿、红斑、糜烂。5.糖皮质激素是有效的。
病例举例
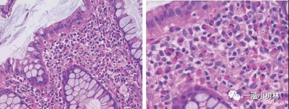
例1 17岁女性患者,嗜酸粒细胞性胃肠炎。


图1 嗜酸粒细胞性胃肠炎. 内镜:发现肠黏膜红斑、水肿、溃疡;病理:黏膜固有层中可以观察到多数(20个/高倍视野以上)的嗜酸性粒细胞的浸润。
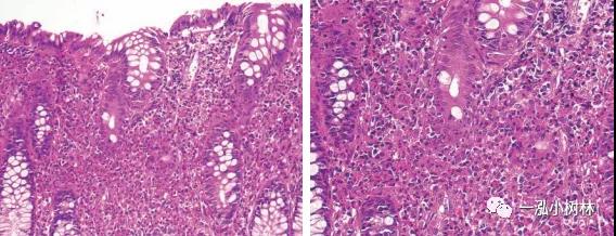
例2 16岁女性患者,嗜酸粒细胞性胃肠炎


图2 嗜酸粒细胞性胃肠炎. 内镜:大肠黏膜水肿;病理:嗜酸性粒细胞性胃肠炎病例的大肠活检组织像.黏膜固有层可见多个嗜酸性粒细胞的浸润.
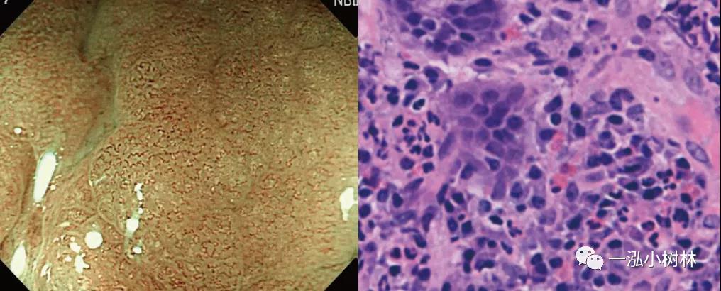
例3 70岁女性,因呕吐、腹痛行上消化道内镜检查。



图3上部消化管内镜检查 a、胃窦部发现边界不明确的发红糜烂,幽门部明显狭窄,内镜不能通过。b、胃窦部黏膜稍呈白色,发现凹凸不规则。c、NBI可见部分表面结构的不明确,微小血管虽然走行不规则,但没有发现口径不同。d、病理组织学:黏膜内发现高度炎症细胞浸润,20/ HPF 发现了以上的嗜酸性粒细胞浸润( HE× 400 )。e、治疗后可见窦部的凹凸不规则的黏膜所见得到改善,血管通透性增加。f、NBI可见不清晰的表面结构变得清晰,呈现出规则的绒毛状结构。
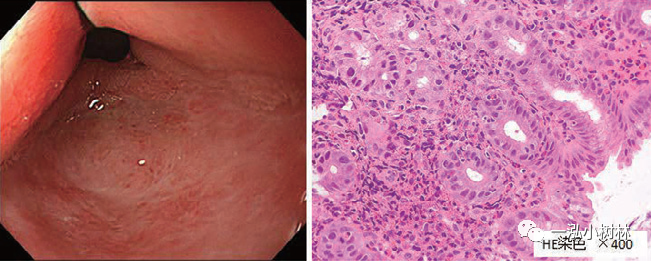
例4 20岁男性患者,腹痛、黑便行上下消化道内镜检查。


图4 住院时上部消化管内镜检查: a、 胃底穹窿部的内镜可见线状发红。b、 活检病理组织:20个/ HPF 以上嗜酸性粒细胞浸润。c )十二指肠球部的内镜。遍及管腔半周,呈现出广泛的溃疡。不伴随白苔的附着,没有发现露出血管。d、 十二指肠溃疡活检病理组织:50个/ HPF 以上嗜酸性粒细胞浸润。

图4 住院时的结肠镜检查:a、回盲部的内镜观察结果、血管透见消失,颗粒状黏膜。回肠末端没有发现炎症性变化。b、回盲部活检病理组织:嗜酸性粒细胞,但不足20个/HPF。


图4 住院前十二指肠溃疡的内镜观察结果的经过。a、发病14岁时,b、兰索拉唑治疗后,15岁时,(C)嗜酸性粒细胞性胃肠炎诊断时,(D)去除敏饮食·PPI治疗3个月后,住院时。
治疗经过:本病例为HP阴性,不考虑胶原病、炎症性肠病、药物性等疾病。根据嗜酸性粒细胞性消化道疾病的诊断标准,症状、活检,由于满足黏膜内的20/HPF以上的嗜酸性粒细胞浸润、CT扫描中的肠管壁肥厚、内镜有炎症所见,因此诊断十二指肠溃疡的嗜酸性粒细胞性胃肠炎。本病例14岁时PPI口服后发现症状消失和十二指肠溃疡治愈,因此,去除过敏食物、PPI、抗敏药物开始门诊治疗。但是,即使充分指导口服药物的彻底进行治疗,在开始后3个月症状也没有完全消失,内镜检查十二指肠溃疡所见也未发现明显变化,由于并发高度贫血和大肠炎,因此判断为难治病例。开始口服泼尼松龙40 mg/日时,腹部症状在治疗开始3天后消失,开始8天后减量至口服泼尼松龙30mg/日,出院。治疗后2个月的上部消化管内镜检查中,胃内炎症消失和十二指肠溃疡的瘢痕,在活检病理组织检查中也发现嗜酸性粒细胞浸润明显减少口服泼尼松龙逐渐减少中。
治疗
嗜酸性粒细胞性胃肠炎的病因尚不明确,但认为这可能与Th2型对食物和肠道内微生物抗原的过敏反应有关。从病因上看,如果使用除食物抗原以外的去除食物,就有可能减轻。因此,去除食物抗原的牛奶、鸡蛋、花生、其他坚果类、小麦、大豆、海产品等食物过敏原,尝试了低热量低脂肪饮食和除去麸质的食物。这些方法对小儿嗜酸性粒细胞性食管炎有用,在1-2个月内可以使症状减轻的情况很多,一般认为,对于成人的嗜酸性粒细胞性胃肠炎的有效性不高,另外,关于有效性的证据也不充分。
因此,在现状下,对嗜酸性粒细胞性胃肠炎进行原因疗法是很困难的,进行以抑制过敏反应、免疫反应和抑制炎症为目的的对症疗法。治疗以激素为主,减量或停止治疗后容易复发。使用泼尼松龙20-40 mg/日8周,在很多病例中症状减轻,组织中的嗜酸性粒细胞和末梢血中的嗜酸性粒细胞都减少。另外,由于在给药开始后2周左右效果明显,因此也有报告认为之后应该谋求泼尼松龙的减量,但也有报告称,以泼尼松龙1-2 mg/kg体重/日的给药开始,之后2-3个月减量,给药量,关于减量的时期、速度没有一定的标准。即使是对糖皮质激素治疗有反应的病例,其减量、中止后复发的情况也很多,很多情况下需要再次的治疗和低容量(泼尼松龙5-10 mg/日)的维持疗法。此时以减少糖皮质激素的长期使用量为目的,多使用各种抗过敏药物。