脂肪肉瘤肿瘤界最强伪装者 假扮脂肪却是恶性肿瘤!
8 年前,她体重 63 kg,身高 163 cm,妊娠后体重进行性增加约 36 kg,可是产后,她的体重最重竟达 91 kg。
本来以为自己只是长胖了,于是她开始进行饮食控制和运动减重,可体重却总是波动于 83~88 kg,看着自己慢慢变大的肚子,她想,这到底是怎么了?
原本以为是腹型肥胖,
却切出一个 17 公斤的肿瘤!
病例介绍
患者,女,31 ,以「腹型肥胖 8 年」为主诉入院。
8 年前体重 63 Kg,身高 163 cm,因妊娠后开始出现体重进行性增加约 36 Kg,生产 1 月后体重较前减轻 22 Kg,产后最重达 91 Kg,自行饮食控制及运动减重,体重波动于 83-88 Kg,以「肥胖症(腹型肥胖)」收住我科;患者本人为足月剖腹产,出生时体重身高不详,自幼身高体重较同龄人相仿。否认其他病史。
入院查体:T36℃,P95 次/分,R20 次/分,BP126/86 mmhg,H163 cm,W86 Kg,腹围 118 cm,BMI32 kg/m2,一般状况可,心肺查体无明显异常,腹部膨隆,腹软,无压痛及反跳痛,肝脾未触及,移动性浊音阴性,双下肢无浮肿。
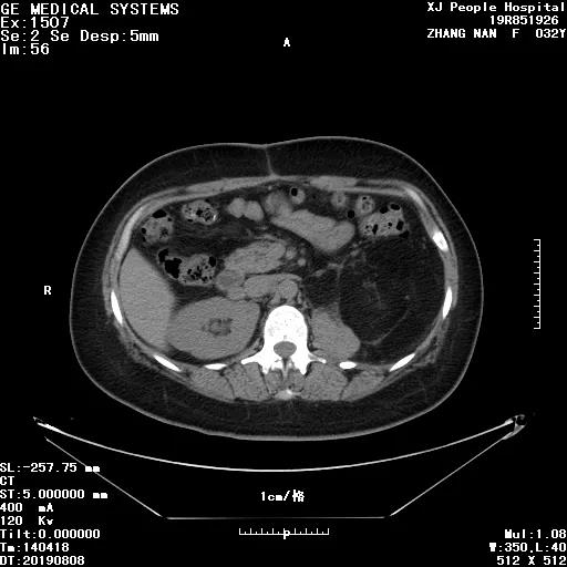
辅助检查:腹部 MRI:腹腔、腹膜后巨大脂肪密度为主混杂信号占位,病变包饶左肾,左侧肾上腺正常结构显示不清,临近脏器、组织受压、推移、考虑脂肪瘤,请结合 CT 平扫+增强
腹部增强 CT: 腹腔腹膜后及盆腔内巨大脂肪密度为混杂密度占位,左侧肾上腺正常结构显示不清,病变包饶左肾,临近脏器、组织受压、推移、脂肪肉瘤?血管平滑肌脂肪瘤?请结合临床(图 1)。
(左右滑动查看)

图 1:入院腹部增强 CT
治疗及随访
随后患者转入胃肠外科行盆腔病损切除术(腹盆腔巨大脂肪肉瘤切除),术中可见:巨大包块占满整个腹腔,质地中等,小肠及升结肠被挤压到右上腹,肿瘤与后腹膜紧密连接。左侧肾脏及肾上腺被包饶到肿瘤内部。大小约 43*45 cm,称重后显示:17 Kg。
术后病理报告示:
CD34(+),Desmin(-),Ki-67(+)10%,MDM2(+),P53(+) 野生型, S-100(+), SMA(-),诊断:(小肉瘤)高分化脂肪肉瘤。
术后 1 周出院,随访 5 月,患者未诉特殊不适,复查上腹部 CT 未发现肿瘤复发迹象。

图 2:随访 5 月后复查上腹部 CT
「伪装者」原来是脂肪肉瘤!
这种肿瘤不可小觑
什么是「脂肪肉瘤」?
脂肪肉瘤 (liposarcoma,LPS) 是一组起源于间叶组织的恶性肿瘤,是较常见的软组织肉瘤亚型之一,约占所有软组织肉瘤的 20%[1]。
据软组织肿瘤分类(WHO 的 2016 版)[2] 将脂肪肉瘤分为以下 5 型:
高分化脂肪肉瘤 (WDLPS);去分化脂肪肉瘤 (DDLPS);黏液样/圆细胞型脂肪肉瘤 (MLPS);多形型脂肪肉瘤 (PLPS);混合型脂肪肉瘤。
LPS 多见于 40 岁以上的成年人,好发于腹膜后。目前治疗首选手术治疗,由于影像技术发展和手术方式改进,手术完整切除率在不断提高,但其复发率仍较高,尤其对于一些易复发的高危亚型,二次甚至多次手术会对患者身心及家庭造成很大的负担。
「脂肪肉瘤」的临床表现有哪些?
由于腹膜后间隙具有可扩张性,腹膜后脂肪肉瘤在早期生长可以不压迫重要器官因没有明显症状而不易被发现,仅在其生长过大并且出现压迫或侵入相邻器官时才出现不适症状。
其临床表现常常是非特异性的,如腹痛、腰痛、腹胀、厌食、早期饱腹感、以及由于肿瘤对腹膜后神经血管的局部侵袭或压迫而出现下肢肿胀或疼痛感。
如何诊断「脂肪肉瘤」?
影像学诊断是腹膜后脂肪肉瘤首要的诊断方法,其主要目的是: 判断肿瘤位置、大小、数量、初步判断肿瘤类型,可进一步明确腹膜后肿瘤压迫及侵犯周围脏器及血管的程度,并为手术方案的制定、评估术后效果、疾病预后及随访等提供参考依据,包括:超声、CT、MRI、PET-CT 等。
病理学检查是脂肪肉瘤诊断的金标准,其可获得比较准确的组织病理学分级,是评价肿瘤生物学行为指标的最佳方式。
脂肪肉瘤和脂肪瘤一样吗?
又该如何治疗呢?
「脂肪肉瘤」和「脂肪瘤」有何不同?
「脂肪瘤」是一种常见的由成熟脂肪细胞构成的良性肿瘤,它可以发生在身体的任何部位,触摸时可感觉包块质地柔软,边界清楚, 活动度良好,一般无疼痛,无不适症状,不影响生活质量,也不会癌变。
大多数脂肪瘤不需要治疗,定期随访观察。但对于瘤体较大而影响了肢体的活动或有疼痛不适症状,或怀疑有恶变的脂肪瘤患者宜行手术切除。
本文介绍的「脂肪肉瘤」是一组起源于间叶组织的恶性肿瘤,是较常见的软组织肉瘤亚型之一。其恶性度高,预后较差,手术切除是首选的治疗方法,且手术后容易复发和转移,对放化疗不敏感,必要时需联合放疗。
因此两者病理性质不同,治疗方式及预后均不同。
「脂肪肉瘤」的治疗方式有哪些?
目前临床上脂肪肉瘤的首选治疗是手术完整切除,也包括对分子靶向、化疗以及免疫治疗等,但由于其对放、化疗并不敏感,因此对于复发的肿瘤仍首选手术切除,且需要终生随访。
面对其较高的复发率,二次甚至多次手术会对患者身心及家庭造成很大的负担。目前仅基于肿瘤的形态学和细胞遗传学特征进行治疗干预是远远不够的,需通过对 LPS 发病机制的分子研究不断深入,发现更多靶向治疗药物。
「脂肪肉瘤」的预后如何?
我们的患者目前为术后 1 年随访过程中,尚未出现明显的肾功能异常及肿瘤复发的迹象,由于腹膜后脂肪肉瘤在其发现及诊断时通常较大且伴有临近器官及组织浸润,因此外科手术很难能达到切缘阴性,所以其死亡率通常是由于肿瘤不能完全切除引起局部复发造成的。
有相关研究报道,腹膜后脂肪肉瘤复发高峰在初次手术切除后 6 个月至 2 年内,它们往往易转移到邻近组织。即使手术完整切除肿瘤并且切缘阴性,晚期复发机率依然很高 [3]。
因此术后随访很重要,建议术后 1 年内每月复查 CT 或 B 超,1 至 2 年后每 3 月复查,3 年后每 6 月复查,尽可能的早期发现肿瘤复发迹象并予以相应手术治疗 [4]。
参考文献
[1]Fernandez-Ruiz M, Rodriguez-Gil Y, Guerra-Vales J M, et al. Primary retroperitoneal iposarcoma: clinical and histological analysis of ten cases[J]. Gastroenterol Hepatol, 2010,33(5):370-376.
[2] Jo V Y M, Doyle L A M. Refinements in Sarcoma Classification in the Current 2013 World Health Organization Classification of Tumours of Soft Tissue and Bone[J]. Surgical Oncology Clinics of North America, 2016,25(4):621-643.
[3]Tan M C, Brennan M F, Kuk D, et al. Histology-based Classification Predicts Pattern of Recurrence and Improves Risk Stratification in Primary Retroperitoneal Sarcoma[J]. Ann Surg, 2016,263(3):593-600.
[4] 邱法波, 徐长利. 腹膜后脂肪肉瘤诊断及治疗现状与展望 [J]. 临床普外科电子杂志, 2014,2(03):1-3.