靶向耐药多器官转移,这样用PD-1消除病灶!
大家经常会遇到的一个问题:什么样的患者使用免疫治疗有效果?如果EGFR或ALK等驱动基因突变用PD-1疗效不明朗,那么MET、RET、BRAF这些基因突变患者,使用免疫治疗药物PD-1疗效如何?
今天通过一个论文的案例报道,癌度与大家一起了解一位RET基因突变且全身多处器官转移的肺癌患者,使用PD-1达到所有病灶消失,并一直维持。
这位患者的治疗实属奇迹,但是奇迹能被复制吗?
治疗一步一步陷入绝境
RET基因在非小细胞肺癌的突变频率不是很高,大概在1-2%。但是我国的肺癌患者多,因此携带这个突变的患者总数是不少的。比较奇怪的是,RET基因突变的患者,PD-L1表达往往还比较高,但携带RET基因突变患者使用PD-1抑制剂的效果还不是很不清楚。
这是一名47岁从不吸烟的女性患者,她在2017年2月进行刘肺左上叶切除和淋巴结清扫手术。手术后的病理报告为pT2pN2(单病灶)肺腺癌。因此患者进行了术后辅助化疗,使用的化疗方案为顺铂联合长春瑞滨,一直到2017年6月结束。
2019年1月,也就是术后23个月,进行CT扫描发现复发。使用PET-CT进一步确认有肝脏转移,病理穿刺活检证实有90%的PD-L1高表达。
当时,基因检测还没拿到结果。但是肿瘤病灶体积比较大,一些指标显示可能肿瘤细胞增殖活性较快。此时面临着几个治疗方案的抉择:
1. 基因检测报告没有出来,不知道能使用什么靶向药物。
2. 对于非吸烟的女性患者,单药PD-1不是优势治疗人群。
3. 当时化疗联合免疫治疗的方案没有获批,因此化疗联合PD-1暂时不可用。
综合上述方案,患者只能进行化疗,化疗方案为顺铂联合培美曲塞。化疗刘4个疗程后,病灶缩小,达到了部分缓解。但是,由于进行性肾功能不全,在2019年5月停止了化疗。
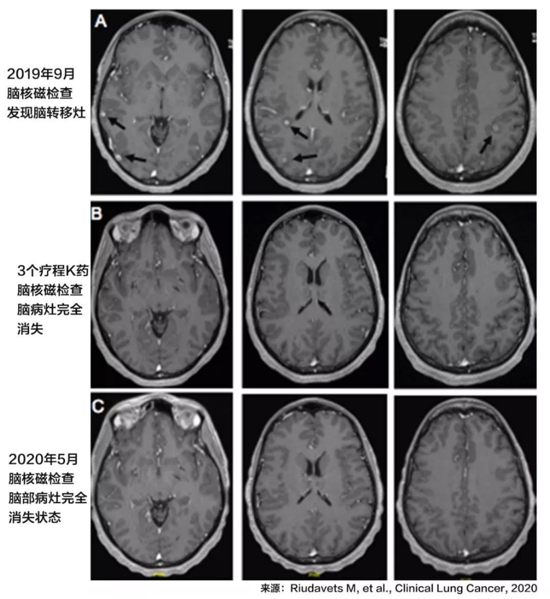
2019年9月,患者出现了新的纵膈淋巴结,肝部肿瘤复发。骨和脑都出现了转移。但是患者本身尚未出现临床症状,所以也没有进行脑放疗。治疗陷入被动局面。
PD-1治疗彰显奇迹
在基因检测结果出来之后,患者和家属难掩失望。EGFR、KRAS、ALK、ROS1、BRAF、HER2、MET、NTRK基因都是阴性的,没有发现突变。
患者开始使用PD-1的“K药”,也就是帕博利珠单抗。剂量为每公斤体重2毫克,21天一个疗程。同时,经原位免疫杂交技术检测,患者为RET基因融合突变。由于PD-1治疗已经启动了,所以患者暂时没有进行靶向治疗。

在3个治疗周期之后,PET-CT扫描显示患者的多个转移病灶,包含纵膈淋巴结、骨、肝、脑的转移灶完全消失了。
在经过5个治疗周期后,由于患者出现了免疫治疗相关的肝毒性,不良反应级别达到了3级。患者停用了PD-1。后续的治疗方案中,医生推荐使用皮质类固醇治疗,但是患者拒绝使用这一治疗方案。
14周后,患者的肝功能恢复正常。

2020年5月,在治疗结束后近6个月的时间里,影像学检查仍没有发现病灶,也就是达到了临床缓解。
RET基因突变肺癌,该这样治疗吗?
这位患者从始至终没有使用靶向药物,可能跟其基因检测结果来的太晚有关,所以我们建议大家一定要多测几个基因(关于检测报告和检测问题,可移步癌度APP病友群交流。)
但是,如果当时发现了RET基因突变,手头的靶向药物有凡德他尼和卡博替尼,这两个药物的治疗应答率为18%和37%,且具有一定不良反应发生率,不是很理想。正在进行临床试验的Pralsetinib和Selpercatinib的治疗应答率分别是61%和64%,其中Selpercatinib中位无进展生存期为18个月,一线治疗应答率为85%。
因此,RET患者的靶向药物还是有很值得期待的地方的。

看到这个案例,不能想当然地以为,RET基因突变患者,都可以达到这样的效果,一定要具体问题具体分析,多与医生、病友进行讨论。

如上图,RET突变患者使用PD-1治疗的应答率并不高。因此我们对使用免疫治疗也需要保持一定谨慎。
但是本案例给了我们一个很大信心,这个患者的特别之处是PD-L1高表达,达到了90%。其次,前面几次化疗,可能有助于释放癌细胞特异抗原。这些可能都是PD-1起效的主要原因。甚至是将脑部病灶也顺带干掉了。
如具体碰到特定基因突变,在面临PD-1或靶向治疗决策的时候。大家可以在癌度APP加入每个癌种的群组,一起详细探讨和交流。
致敬,那些为患者带来希望的时刻!