年轻患者脑内有多发血管母细胞瘤,不要忽略这种病!
许多遗传病危及全身多个系统,患者往往以某个系统的异常前来就诊,由于这些疾病临床表现不典型,可能会造成误诊或漏诊。近日,我院就遇上了这样的一个病例,现在特将病例分享给大家。
1
病例介绍
女,22,因“头痛3月余,加重伴走路不稳15天”门诊就医。
MRI平扫示左侧小脑半球见囊实性异常信号,囊性部分呈长T1长T2信号,实性部分呈等T1等T2信号,右侧小脑半球见斑片状长T1长T2异常信号,其内可见更长T2信号,增强扫描左侧小脑半球病灶实性部分呈明显强化,囊性部分及囊壁未见强化,右侧小脑半球呈结节状明显强化(图1)。

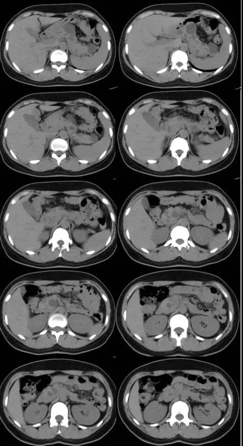
影像诊断为双侧小脑半球占位性病变,考虑血管母细胞瘤或毛细胞型星形细胞瘤。患者次日又做了全腹部CT,CT示胰腺多发囊肿,余未见明显异常(图2)

翻阅患者病历,发现患者的家族史:父亲患肾癌,因肾衰竭去世,弟弟患胰腺多发囊肿。综合患者的临床资料,患者诊断为Von Hippel-Lindau综合征。
Von Hippel-Lindau综合征是一组家族性肿瘤综合征,在临床上比较罕见,该病在国外的发病率约为1/36000~1/45500,是一组罕见的由VHL肿瘤抑制基因种系发生缺失或突变所致常染色体显性遗传性疾病。
2
讨论
病变特点
VHL综合征的基本病变有两点:其一为视网膜、脑干、小脑或脊髓的血管母细胞瘤;另一为腹腔脏器病变,主要有肾囊肿或肾细胞癌、胰腺囊肿或肿瘤、肾上腺嗜铬细胞瘤及淋巴管肿瘤等。此外,还有一些较为少见的病变,例如附睾乳头状囊腺瘤,子宫阔韧带囊腺瘤,迷路内淋巴囊腺瘤以及肝囊肿、血管瘤等。
分型
美国国家癌症研究所将VHL综合征分为I~III型:
I型包括视网膜和中枢神经系统血管母细胞瘤、肾囊肿或肾癌及胰腺囊肿,但不伴嗜铬细胞瘤;
II型包括除视网膜或中枢神经系统血管母细胞瘤外同时并发嗜铬细胞瘤和胰腺的胰岛细胞瘤,无胰腺囊肿及肾囊肿或肾癌;
III型包括视网膜和中枢神经系统血管母细胞瘤合并嗜铬细胞瘤、胰腺和肾脏疾病。
影像学表现
中枢神经系统:约60%~80%的患者发生中枢神经系统血管母细胞瘤,最常见受累部位为小脑半球,其次是延髓、脊髓,幕上发病罕见;囊性病灶最常见于小脑半球,实性病灶最多见于脑干、脊髓及小脑蚓部。 病灶大多边界光整,病灶周围无水肿或轻度水肿。病灶以大囊小结节为主,CT平扫示低密度病灶边缘见等密度或稍低密度壁结节影,少数病灶为实性或囊实性病变。MRI囊性成分平扫T1WI低或稍低信号,T2WI呈高或稍高信号,实性成分T1WI呈等信号,T2WI呈稍高信号。增强扫描壁结节显著强化,囊液不强化,囊壁不强化或轻度强化,部分在瘤周可同时有显著强化结节。瘤周多无明显水肿肿瘤内或瘤周蛇形、迂曲的条状血管流空为本病特征性表现。与散发的小脑血管母细胞瘤相比,VHL综合征患者小脑血管母细胞瘤具有发病年龄更早、多发、预后更差的特点。
胰腺病变:35%~70%的患者并发胰腺病变,约12%的患者以胰腺病变为唯一的腹腔病变,包括单纯性囊肿、浆液性囊腺瘤、胰腺内分泌肿 瘤、转移癌等,前两者最多见。胰腺囊肿早期无症状,腹部CT见胰腺多发圆形或类圆形低密度影,边界清晰,囊壁可见钙化。胰腺神经内分泌肿瘤中无功能性肿瘤较功能性 肿瘤多见且血供更丰富,CT呈等密度影,边界欠清,增强扫描可见明显均匀强化。
肾脏病变:主要包括肾囊肿及肾癌,肾囊肿CT表现为多发大小不等类圆形液性低密度影,边界清晰,囊内密度均匀,增强扫描示囊壁及囊液不强化。40%~60%患者合并肾癌,几乎均为透明细胞癌,呈双侧多发、多中心性、囊实性生长。囊性肾癌CT平扫囊壁呈等密度且厚薄不均,边界不清,增强扫描见囊壁及壁结节呈“快进快出”明显强化,囊性部分不强化。肾癌是VHL综合征的主要死因。
嗜铬细胞瘤:10%~20%患者合并嗜铬细胞瘤,CT见类圆形或不规则形低或稍低密度影,少数可见低密度囊性变,多数边界清晰;增强扫描可见肿瘤明显强化,囊变部分不强化。
附睾乳头状囊腺瘤:是罕见的良性肿瘤,约17%患者合并附睾乳头状囊腺瘤,常见于双侧附睾头部,直径约 1~5 cm ,性功能活跃期的成人多见。
诊断标准
Maher等提出了VHL综合征的影像学诊断标准:
①两个以上的中枢神经系统血管母细胞瘤或者一个中枢神经系统的血管母细胞瘤加视网膜血管母细胞瘤;
②一个中枢神经系统的血管母细胞瘤加上腹腔脏器病变
③有阳性家族史加上一个血管母细胞瘤或任何一项腹腔脏器病变。只要符合以上任意一条即可确诊VHL综合征。
总之 ,VHL综合征是一组罕见的家族性肿瘤综合征,因其为常染色体显性遗传,对病人及其家庭危害巨大。该病涉及多个系统,应做到早发现、早诊断,避免漏诊、误诊。对怀疑或已诊断为VHL 综合征的患者,均应行VHL基因检测并询问家族史,尽可能对患者亲属行VHL基因检测及相关影像学检查,对患者早期治疗、长期随访及定期影像学检查可改善预后。
来源:迈德瑞国际健康之家 参考文献
1、仲玲珊,曹振东.Von Hippel-Lindau(VHL)综合征1例报道并文献复习[J]. 中国临床医学影像杂志,2017,28(1):71-73.
2、张跃,胡颖.Von Hippel-Lindau综合征CT与磁共振成像影像学特点分析[J].实用医学影像杂志,2017,2(18):25-27.
3、Kim wT, Ham WS, Ju HJ, et a1. Clinical characteristics of renal cell carcinoma in korean patients with von hippel-lindau disease compared to sporadic bilateral or muhifocal renal cell carcinoma. [J]Korean Med Sei, 2009, 24(6):1145-1149.
4. 乔桂荣,杨吉鹏,孙晓枫,邱翔,杨亮,耿少梅. von Hippel-Lindau综合征的CT及MRI表现[J]. 中国医学影像学杂志,2015,23(10):735-738.