PD-1的奇葩副作用:有的惊喜,有的惊吓
随着PD-1抑制剂在国内外越来越广泛地被使用,一些罕见的不良反应逐步被发现和报道:有的非常好玩,甚至给病友带来了意想不到的惊喜;有的非常可怕,稍有不慎,甚至会酿成血光之灾。
除了经常被提及的皮疹、腹泻、发热、乏力、免疫性肺炎、免疫肝炎、免疫肠炎、免疫性心肌炎、糖尿病等副作用,本文今天给大家介绍一些少见的PD-1抑制剂相关的“奇葩”副作用。
1
黑发、白发、脱发:概率问题
一头乌黑飘逸的长发,几乎是所有人的梦想。不过,接受PD-1抑制剂治疗后,你的头发可能会发生意想不到的变化,而且变化的方向千奇百怪。
2017年美国医学会皮肤病学杂志,公布了一个鼓舞人心的好消息:14名肺癌患者接受PD-1抑制剂治疗后,出现了不同程度的头发变黑、返老还童的现象。事实上,类似的现象在国内的病友中也有所报道。下图就是医学杂志上征得患者本人同意后,刊登出来的患者使用PD-1抗体后头发变黑的对比照:

当然,并不是所有病友都这么幸运,也有人的是变白了。2019年美国LilangiS Ediriwickrema教授就报道了一例睫毛和眉毛变白的病例。

患者眼角的恶性黑色素瘤,治疗后基本完全缓解了,但是另一只眼睛的睫毛几乎全白了。
更倒霉的病友,则是脱发和秃头,而且相比于头发变黑和变白,脱发的发生比例是比较高的,已经有较多的研究报道了PD-1抑制剂导致的脱发,而且多数是头顶和两侧的斑秃。

2
各种激素不足
不容小觑,有的致命
长头发、掉头发、黑头发、白头发、卷头发,这些都有报道,不过毕竟这只是影响“颜值”。
PD-1抗体还有可能导致各种激素分泌不足,从而产生各种各样的并发症。比如胰岛细胞被破坏导致胰岛素分泌不足,从而产生1型糖尿病;比如甲状腺细胞被破坏,导致甲状腺激素分泌不足,从而导致甲减,严重的甲减如果处理不及时,甚至都会导致患者休克。
上个月,美国的SangeethaGummalla教授报道了一例PD-1抗体导致的严重的黏液水肿、患者昏迷的病例。
除此之外,还有肾上腺和垂体分泌的激素不足,从而导致患者乏力、精神萎靡、代谢减弱直至出现昏迷。肾上腺皮质功能不全常常表现为低钠、低血压、萎靡不振、低ACTH,需要及时补充糖皮质激素才可以缓解。
下图是一例典型的PD-1抗体导致的肾上腺皮质功能不全的患者,抽血化验的化验单:低钠(只有128,正常值135以上)、低皮质醇(只有1.3,正常值是10以上)、低ACTH(在5以下,正常值应该在10以上)。

3
假性肠梗阻
激素和肠动力药物可缓解
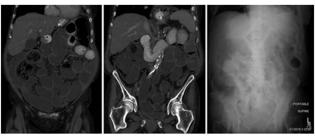
美国哈佛大学的RobertJ Besaw教授报道过1例接受PD-1抗体治疗后出现慢性肠梗阻的病人。
病人反复出现肠梗阻的症状,但是反复CT检查发现肠子是通畅的,也没有看到炎症反应、肠道感染等,因此怀疑是PD-1抗体导致的假性肠梗阻。激素治疗后有所好转,然后就开始全肠外营养支持。此后,患者病情稳定。

这个案例提醒我们:接受免疫治疗的患者,如果无缘无故地出现肠梗阻的症状,经CT、X线等检查排除了肠梗阻,“事出蹊跷,必有妖”,这时候别忘了可能是PD-1抗体导致的假性肠梗阻。
4
眼压过低、视力全无
本文要分享的最后一个案例,是由于PD-1抗体导致的眼压过低、视力受损。
一个57岁恶性黑色瘤患者接受PD-1抗体治疗20个月后,突然出现右眼视力下降,接近失明;左眼又是完全正常的。
眼科医生经过细致的检查发现:患者并未出现结膜炎等其他不适,只是莫名其妙的眼压过低,从而导致视力爆降。患者接受了激素治疗以及眼科手术,但是视力恢复有限。
综上所述,PD-1抗体虽然总体而言,不良反应发生率远低化疗,但随着大规模使用,一些罕见的、奇葩的副作用,还是要当心。
参考文献:
[1]. HairRepigmentation During Immunotherapy Treatment With an Anti-Programmed Cell Death1 and Anti-Programmed Cell Death Ligand 1 Agent for Lung Cancer.JAMA Dermatol2017 Nov 1;153(11):1162-1165
[2]. Developmentof Poliosis Following Checkpoint Inhibitor Treatment for Cutaneous Melanoma.Ophthalmic Plast Reconstr Surg Sep/Oct2019;35(5):e121-e122.
[3]. Immune-relatedalopecia(areata and universalis) in cancer patients receiving immunecheckpoint inhibitors.BrJ Dermatol2017 Jun;176(6):1649-1652.
[4]. MyxedemaComa: A Life-Threatening Condition in Patients Using Pembrolizumab.Case Rep Endocrinol2020 Oct22;2020:8855943.
[5]. NivolumabInduced Adrenal Insufficiency: Rare Side-effect of a New Anti-cancer Therapy -Immune-checkpoint Inhibitors.Cureus2020 Apr 10;12(4):e7625. doi:10.7759/cureus.7625.
[6]. Chronicintestinal pseudo-obstruction in a patient with metastatic gastro-oesophagealjunction cancer receiving treatment with pembrolizumab.BMJ Case Rep2019 Dec 15;12(12):e232388.
[7]. PembrolizumabInduced Ocular Hypotony With Near Complete Vision Loss, Interstitial PulmonaryFibrosis and Arthritis. Front Oncol. 2019; 9: 944.