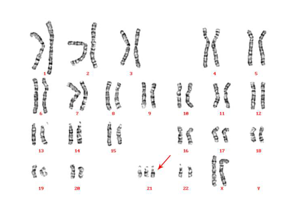
21三体的原因
产妇年龄的增加与染色体三体之间的关联,早在50年前就已经被证实,而染色体三体也是导致人类遗传疾病最重要的病因之一。具体来说,临床诊断出胎儿染色体三体的比例,在不同年龄段也不一样,从20+岁的女性(2-3%),一直到40+岁女性(>30%)不等。因此,当女性打算怀孕时,阻止染色体分离错误是成功妊娠的关键保障。
机理
尽管三体-年龄的关系在临床上很早就被证实了,但至今仍不清楚年龄到底是如何影响正常生育的。影响染色体分离错误的原因,可能发生在卵母细胞发育的几个阶段:卵巢时期,卵母细胞有丝分裂增殖或减数分裂早期;或在卵母细胞生长和成熟的最后阶段,当减数分裂发生时出现。从目前来看,恐怕在每一个阶段,都可能会引发染色体分离错误,从而造成三体的形成。
与年龄相关的染色体不分离从而导致三体,会有多种原因导致染色体不分离现象的发生,但可以通过多种预防手段,来降低三体婴儿的诞生。
介绍
高龄和染色体三体之间的联系,是目前人类遗传缺陷疾病中,发现得最早的重要危险因素之一。早在1933年,彭罗斯就观察到唐氏综合症在老年产妇中更为常见。20世纪60-80年代的研究证实了这些观察结果,现在很清楚的是,女性年龄的增加,加大了染色体三体的可能性。
幸运的是,这种情况最终可能会改变。对21三体的大规模分析、对人类配子研究的新方法、以及对模型生物的突变分析,已经开始揭示为何会形成染色体三体的过程。在这篇综述中,将分为四个步骤:

- 回顾卵母细胞的发育阶段;
- 总结对染色体形成三体的分析;
- 回顾近年来卵母细胞减数分裂的研究;
- 讨论从模型生物的减数分裂分析中,看待造成染色体不分离的原因。
人类卵母细胞的生命周期:一个复杂的旅程
由于卵母细胞的生命周期长而且复杂,因此染色体三体起源于母体也并不奇怪。在卵巢和睾丸中,生殖细胞都会经历了一段有丝分裂增殖的过程,但是这两种增殖途径还是有所不同:睾丸分化开始后不久,雄性生殖细胞会停止增殖并进入长期停滞期;相反,在卵巢中,雌性生殖细胞在妊娠的头三个月进入减数分裂前期,响应减数分裂特异性诱导物,卵母细胞进入停滞期,直到通过月经来潮后被募集到生长的卵母细胞池中。简单来说,每个卵巢周期中,总会有一个卵母细胞完成第一个减数分裂(MI),并进入第二个减数分裂(MII)的中期。如果是试管婴儿(IVF),它将直接完成第二个减数分裂,随后胚胎开始发育。因此,在女性大约30年的生育年龄中,几百个卵母细胞都只完成了第一次的减数分裂,而很少能完成了第二次减数分裂。
由于卵母细胞在其一生的大部分时间内都处于前期停滞状态,因此在这一阶段出现的异常往往最有可能是由于年龄变化产生的改变。 当然,越来越多的证据表明,第一次减数分裂前的有丝分裂、第二次减数分裂的前期和减数分裂本身也都起到关键的作用。
染色体三体的起源:到底是什么时间和第几次减数分裂造成的
在80年代后期,许多研究人员利用DNA多态性分析来分析染色体三体患者中,那条多出来的染色体的来源究竟是什么。二十年来,通过审查了1,500多个案例,发现多数来源于母体减数分裂错误,而减数分裂的缺失/重组/改变是研究所有染色体三体成因的重要因素。在染色体三体性的研究中,发现病因来自母体的病例,通常是由母体的MI不分离引起的,并且经常涉及同源染色体之间重组失败。而13三体综合症的病因与之类似,所不同的是,母体的MII来源比例更高。
因此研究人员得出结论,认为至少存在三种不同的减数分裂的不分离模式:因母体中心染色体异常导致的三体、因母体MI错误或重组失败导致的三体、因母体MII错误或重组失败导致的三体。这说明可能存在多种染色体不分离的机制,并且可能存在多种机制都与年龄相关并最终导致出现染色体三体的路径。
至今由于案例数太少,导致无法理清年轻女性和中老年女性的染色体三体的机制区别,但21三体综合症是一个例外。目前已知关于21三体综合症的相关机制有:
- 绝大多数21三体病(约95%)起源于母亲,通常源于MI的错误;
- 母体MI错误/重组失败/合并,通常与染色体远端的交换有关;
- 母体MII错误/重组改变/合并,通常与染色体近端的交换有关相关–当然,这个近端交换可能也有母体MI分离错误/重组改变有关
- 父系MI错误造成的三体比例极低,因此考虑父系MII才是造成三体的主要原因
这项关于21三体的研究还提供了有关产妇年龄影响生育的相关信息:
- 产妇心梗和MII错误会随产妇年龄增加而增加,这也间接说明了年龄是与不分离机制线性相关。
- 染色体重组的改变与产妇年龄之间的关联是非线性的,并且在不同类别的重组缺陷之间也有所不同。也就是说,随着产妇年龄的增长,位于远端的染色体交换在产妇MI错误中的比例下降,而在MII错误中的比例反而上升。
- 与重组失败相关的心梗病例,在年轻的女性(30岁以下)中最高,在30-34岁的女性中有所下降,而在年龄最大的组别中又有上升。虽然这些与年龄相关的重组状态发生的变化还说不清楚其中的缘由,但至少说明减数分裂重组的改变,与日后造成的三体有关,而且再次证明了染色体三体的发生,是由于多种机制共同造成的结果。
卵母细胞的减数分裂必须告诉我们什么
上述研究提供了很多间接的证据,证明胎儿的卵母细胞中发生的各种事情,会直接影响MI或MII不分离,但是,目前的客观因素导致暂时无法验证这一结论。目前的细胞学研究又提出了一些通用原则:
- 每个人的卵母细胞MLH1基因的数量在个体之间是可变的;但是,卵母细胞比精母细胞具有更多的MLH1基因,而且基因位点的位置表现出性别特异性差异:在男性中,MLH1基因在染色体远端位点更多见;而在女性中,它们更可能在染色体臂间质中出现。这表明雌性和雄性中减数分裂重组的控制方式不同。
- 减数分裂的基本“规则”适用于男性,就像其他雄性哺乳动物一样;例如,通常每个染色体臂上至少包含一个MLH1位点,并且当在同一条染色体上观察到多个病灶时,这些位点会“散开”,这与减数分裂特性一致。
- 然而,与之相反,女性减数分裂的早期似乎没有受到类似于男性或小鼠那样的调节。例如,在小鼠和男性中,MLH1位点发生异变通常在狭窄的区段内,而在女性中,MLH1位点发生异变在更宽的区域内。此外,人类的卵母细胞发生异常缺陷的水平比小鼠的要高。因此,减数分裂的早期发生异变的快慢,人类女性比人类雄性或其他哺乳动物显得更“慢”。
尽管这些研究提供了有关卵子发生的早期突变的基本信息,但它们与染色体不分离有没有关系?研究人员认为答案是肯定的,特别是异常交叉构型确实存在于胎儿卵母细胞中。例如,16三体被认为与远端交换有关,但与重组失败无相关性;而18、21和22三体则被归于重组失败。与此相符的是,在胎儿卵母细胞中观察到16号染色体的MLH1病灶位于远端,而MLH1病灶位于近端在18、21和22号染色体中更常见。这说明,不同的染色体具有与年龄无关或与年龄相关的不同分离路径/机制。另外,单个卵母细胞中MLH1病灶的数量可以相差十倍,并指出多达30%的卵母细胞可能由于胎儿卵子发生异变而出现分离。如果具有缺陷的胎儿卵母细胞中的MLH1较低,如果这种卵母细胞继续生长下去,则会出现染色体分离的现象。
并非所有的调查员都对此有相同的看法。在最近的卵母细胞研究中,认为在21三体的起源,产前筛查其实并不重要。从表面上看,这是一个令人费解的结论,因为大约4%的21三体染色体的“ MLH1缺失”,从而导致染色体不易分离。此外,使用21号染色体荧光原位杂交(FISH)探针分析了八名女性卵巢内的未成熟卵母细胞,惊讶得发现大量的21三体存在于卵巢内。于是做出假设,认为这种21三体的卵母细胞的发育可能会延迟,其寿命比正常染色体的卵母细胞也要短。如果是这样,年龄的影响,至少对于21号染色体而言,是由于包含三体的卵母细胞的生长卵泡池,随年龄增长而开始逐步发育,并不是因为正常卵母细胞中21号染色体发生不分离导致的三体。显然,这些观察结果需要得到进一步的证实,并扩展到其他染色体,但这一假设的前提是,卵母细胞进入减数分裂之前就已经发生了异变,年龄效应可能是预发性的。
模拟生物学的教训
人类女性减数分裂的分析时遇到了一个难题:卵母细胞的寿命周期到底有多长?围绕这一难点,研究人员开始考虑体外模型的搭建-使用动物模型成为更好的替代方案。 在过去的几年中,这种方法对减数分裂和重组的理解以及对减数分裂不分离的可能机制的见解,获得了巨大的突破。
如何控制重组水平?
由于重组的改变在减数分裂不分离中起着决定作用,因此出现了一个很大的问题:决定重组的数量和位置的关键是什么?目前有人说是同一染色体区域内重组的“反式调节子”,举例来说,非17号染色体重组的反式调节子,与17号染色体区域中的等位基因变异有关,当然,并不排除存在其他的,尚未知道的重组相关的调节因子。这些重组的调节因子会导致等位基因变异,并可能导致其配子具有“更不幸的”交叉交换(例如,同源物之间没有交叉交换),从而导致染色体非整倍性的遗传易感性发生。随着在小鼠和人类中不断发现新的重组调节因子,应该认为有更多的这一的调节因子存在并影响重组变化。
孕妇相关的染色体不分离的机制是什么?
尽管对人类三体和胎儿卵母细胞的研究已经提供了有关人类染色体不分离和产妇年龄之间相互关联的大量信息,但潜在的影响因素仍然有很多是未知的。现在对模型生物学的最新研究提供了一长串的嫌疑名单,包括在染色体分离之前起作用的、在分离时起作用的。
例如在减数分裂的早期中,染色单体的凝聚蛋白提供了“粘合剂”的作用,它们共同形成了多蛋白凝聚酶复合体,在细胞减数分裂之前将相关的染色单体结合在一起。凝聚酶在MI中尤其重要,它有助于维持连接最近的两条染色体单体。而随着年龄的增长,这种凝聚酶的作用力逐步减弱,在这种情况下,可能会影响染色体单体和其他染色体相互结合的现象的增加,这表明与年龄相关的凝聚蛋白的降解,会影响染色体的分离。对雌性小鼠的研究产生了相似的结果。因此,来自两个不同物种的结果表明,凝聚蛋白不足可能是人类三体与年龄相关不分离现象的重要原因之一。
在其他候选的嫌疑名单中,调控细胞周期的关键酶的缺陷,特别是纺锤体匹配检查点(SAC)的缺陷,受到了相当大的关注。有多条证据支持与年龄相关的SAC强度下降与非整倍性水平升高之间有关联性。例如,在小鼠和人类的卵母细胞中,与检查点相关的基因的转录随年龄增加而减少。此外,在对缺乏检查点的关键蛋白BubR1的小鼠研究中,观察到了小鼠的雌激素早衰、不育和减数分裂非整倍体等现象。类似地,在检查点蛋白Mad2杂合的雌性小鼠中,意外发现MI错误的增加。目前,尽管可以认为SAC相关的缺陷与母体的年龄有关,而这也会导致染色体非整倍性的发生,但仍需要更多的研究来证明两者的直接关系。
尽管最近有关年龄-染色体非整倍体的研究都集中在凝聚蛋白或SAC上,但仍有许多其他备选的影响因素。例如,影响突触复合物的形成、影响端粒的维持以及组蛋白乙酰化水平的相关物质,这些关键物质的缺失,都有可能造成减数分裂的缺陷。因此,还有很多很多与年龄相关的、能够造成减数分裂错误的原因需要去探索。但目前对于所有人来说,应该清醒的意识到,孕妇的年龄因素,是由于多种机制出现缺陷(而非单一机制),最终导致染色体三体的产生。
总结
这篇综述总结了两条非常重要的结论。首先,虽然虽然大家很早就知道女性减数分裂是很容易出错的,但最终造成染色体三体的决定因素不仅仅只有女性的减数分裂;包括在卵巢中,出现的大量的卵母细胞本身就是染色体三体的存在。其次,造成染色体三体,年龄不是绝对的影响因素,反而是因年龄有关造成的多种机制的缺陷,最终导致三体的产生;当然,你仍然可以认为年龄是主要因素之一,但造成染色体三体的机制仍是有很多,并不仅仅局限于1种机制。在未来的研究中,需要确定不同机制间造成的影响与哪个染色体(或哪个染色体上的区域)直接关联,以及哪个机制才是引起临床疾病(如唐氏综合征)的关键因素。