食管一线之光 | 快速缓解、疗效明确:免疫联合化疗新辅助2周期,IIIB期食管鳞癌实现术后pCR
食管癌在我国发病率高,且大多数患者发现时已是局部晚期,治疗方面,手术仍旧是食管癌临床治疗中的重要手段,但对于暂时不满足手术条件的患者,可采用新辅助治疗将病情转化为能够接受手术的状态,以便进行下一步的治疗策略,而免疫检查点抑制剂的加入,让新辅助治疗效果更进一步。本期我们将分享一例IIIB期食管癌患者接受替雷利珠单抗联合化疗新辅助治疗后顺利进行手术,最终实现病理完全缓解(pCR)的成功病例,希望为临床医生选择新辅助治疗方案时提供借鉴。

蔡艺斌医师
硕士、主治医师
福建省肿瘤医院胸外科
福建省海峡医药卫生交流协会临床肿瘤学诊疗分会委员
基本情况
一般资料:男性,51岁。
病史:
患者最初以“吞咽困难2个月”为主诉入院,2020年3月24日于外院查胃镜:距门齿约27-35cm见一隆起肿物;病理示:鳞状细胞癌。
食管CT(基线)示:胸中下段食管壁不规则增厚形成肿块,增强后见强化,最厚处约为1.7cm,长约13.4cm,上抵T4水平,下达T9下缘水平,病变段食管与降主动脉间的脂肪间隙消失,与其周长的接触面约为三分之一,向前压迫心包后缘,向左前紧贴左主支气管后壁,后壁略弧形受压改变,向右与奇静脉间的境界不清。
纵隔各大血管结构清晰,上纵隔食管旁、主动脉弓旁、主肺动脉窗、隆突下及后纵隔食管左旁见多发淋巴结,大者截面积1.1cm*1.2cm。
2020年4月2日钡透示:胸中段食管管腔狭窄,长约10cm,局部管壁僵硬,边缘及粘膜不规则破坏,对比剂通过缓慢,其上方管腔扩张明显。
诊断及分期
食管胸中段鳞癌(cT4aN1Mx,IIIB期 )
治疗经过及疗效评价
1、2020年4月4日、2020年4月27日:予2个周期紫杉醇 420 mg+顺铂 240 mg+替雷利珠单抗 400 mg新辅助治疗,患者治疗期间,一般情况良好,无特殊不适;
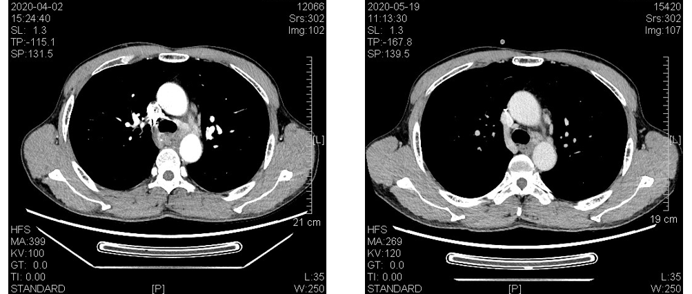
疗效对比(左:4月2日CT结果,右:5月19日CT结果):








2、2020年5月28日:相关检查无手术禁忌症后在全麻下行“胸腔镜食管癌三野根治术+空肠造口术”。术顺,术后患者恢复好。
术后病理示:(食管胸中段)病变处粘膜糜烂坏死,肉芽组织增生,管壁全层大量慢性炎症细胞、泡沫细胞及多核巨细胞反应,未见明显肿瘤残留,符合重度治疗后反应。
标本上切端、下切端及另送“上切端”未见癌。食管周LN1个,“左肺4”LN6个,“左喉返旁”LN1个,“1L”LN7个,“2R”LN5个,“4组”LN1个,“7组”LN5个,“8M”LN3个,“10L”LN2个,“16组”LN2个,“17组”LN1个,“18组”LN15个未见转移癌。“15组”未见LN。

治疗评价为:pCR。
病例总结
该患者为51岁男性,确诊为食管胸中段鳞癌(cT4aN1Mx,IIIB期)。于2020年4月4日、2020年4月27日行第1、2周期紫杉醇 420 mg+顺铂 240 mg+替雷利珠单抗 400 mg免疫联合化疗新辅助治疗。2020年5月28日在全麻下行“胸腔镜食管癌三野根治术+空肠造口术”,术后病理评效pCR。治疗期间,患者一般情况良好,无明显不良反应。

朱坤寿教授
主任医师、硕士研究生导师
福建省肿瘤医院胸外科二病区行政主任
中国抗癌协会肺癌专业委员会委员,福建省抗癌协会肺癌专业委员会副主任委员,中国老年学和老年医学会食管癌专家委员会副主任委员,中国医药教育协会胸外科专业委员会常务委员,中国医药教育协会疑难肿瘤专业委员会常务委员,海峡两岸医药卫生交流协会胸外科专业委员会委员,中华医学会福建省胸外科分会常务委员,福建省医师协会胸外科医师分会常务委员。
专家点评
对于可切除/潜在可切除的食管癌患者,研究提示,术前新辅助治疗可显著提高患者总生存期(OS)。既往新辅助治疗主要是放、化疗等传统方式,而免疫检查点抑制剂近年来可谓“多点开花”,在食管癌的二线、一线治疗中都取得了使患者显著获益的亮眼表现,研究表明免疫检查点抑制剂在新辅助治疗中同样安全有效,其中替雷利珠单抗的表现更加令人期待。
相比于其他PD-1抗体,替雷利珠单抗对Fc段进行创新改造,避免PD-1抗体形成T细胞和巨噬细胞的桥接而导致T细胞被巨噬细胞吞噬的现象发生,从而可以使T细胞有效杀伤肿瘤细胞。且替雷利珠单抗Fab段与PD-1解离速率更慢,亲和力更强,从而能够发挥更大的抗肿瘤作用。
本病例采用紫杉醇 420 mg+顺铂 240 mg+替雷利珠单抗 400 mg新辅助治疗2周期后,成功进行手术,术后病理评效pCR。由此可以看出,免疫联合化疗的新辅助治疗方式可为局部晚期食管鳞癌患者带来切实获益。对于局部晚期食管癌的新辅助治疗,免疫检查点抑制剂的安全有效是有目共睹的,随着更多组合方式的探索,相信将为患者带来更多新的选择。