儿童这种“骨折”要警惕,可能是癌症的预警信号
十几岁的孩子
摔倒骨折…扭伤骨折…
是孩子缺钙?还是太娇贵?
家长们,可长点心吧!
这极有可能是肿瘤来袭!

01
轻轻一摔就骨折?祸首竟是肿瘤
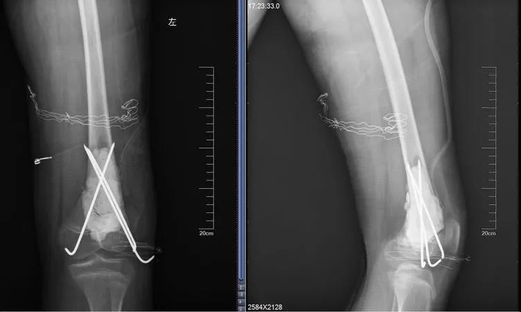
12岁的男孩儿浩浩,在学校上体育课,扭伤后突发右侧大腿剧烈疼痛,不能活动,被家人紧急送到医院,当地医院拍片后提示右股骨中下段斜行骨折。随后,医院按照一般骨折处理。

但在手术中,医生发现髓腔内“不正常”,留取了标本,经河南省肿瘤医院会诊提示为骨肉瘤。
无独有偶,11岁的女孩儿晨晨,假期在家和小伙伴玩耍时,不慎摔倒,本来家长并未在意,但晨晨直喊疼,且大腿活动障碍。在当地医院检查确诊为左股骨中下段骨折,随后医生对病灶刮除,按照一般骨折处理。

当地医生将病理组织送河南省肿瘤医院病理会诊,提示为骨肉瘤。
消息犹如晴天霹雳,但更让两个孩子的父母痛苦的是,“由于按一般骨折做了手术、打了钢板和钢钉,破坏了肿瘤外面原本相对完整的包膜,这个自然屏障一旦被破坏,肿瘤细胞就会‘污染’周围组织,以后想再切干净就更困难了。”河南省肿瘤医院骨与软组织科主任、主任医师姚伟涛表示。
02
这些早期症状家长要警惕
两个孩子的经历让人痛心,是不是所有的青少年骨折都和骨肿瘤有关呢?
老话总说:小孩骨头软,老人骨头脆。除非受到强大的暴力,一般轻微的碰、撞、牵、拉,小孩子不容易骨折。
河南省肿瘤医院骨与软组织科副主任医师王鑫介绍,如果小孩子摔了一跤,扭了一下就发生股骨干骨折,这时就一定要警惕病理性骨折的可能,这样的骨折表象之下,可能隐藏着一只可怕的魔鬼——骨肉瘤。

骨肉瘤是一种多发于20岁以下青少年的恶性肿瘤,多发生于四肢关节周围,最常见在膝关节周围。中国每年新发病例4000~5000人左右,恶性程度甚高,进展迅速、易转移。
王鑫强调,能否早发现、早诊断,直接关系到能否保留肢体及肢体功能,与提高治愈率有很大关系。但骨肉瘤的一些早期症状,极易被忽视,等出现症状后就诊时多数已是中期,有些甚至是晚期。
出现以下症状,家长们要警惕
疼痛:骨肉瘤最早表现为疼痛,多发生于下肢,膝关节周围,容易与生长疼痛,或肌肉拉伤混淆。
肿块:随着肿瘤增大,能在身体表面摸到肿块,有时合并静脉增粗,肿块表面和附近软组织都会有不同程度压痛。
患侧行走困难:随着病情加重,肿瘤压迫及骨质破坏会造成肢体疼痛,患者行走时会由于疼痛导致跛行,长时间可出现关节活动受限。
身体异常:排除感冒、发烧引起的,患者出现持续发热,并伴有体重下降,活动能力下降,且有难以解释的持续性疼痛。
骨折:肿瘤持续“破坏蚕食”骨质,最后就像浩浩和晨晨一样,轻微的外力下就会发生一处甚至多处骨折。
03
揪出骨肉瘤 核磁是关键
那怎么才能确诊骨肉瘤呢?
检查骨肉瘤首先要拍X片,其次是磁共振,最终要依靠活组织检查来确诊。
一定不能忽视磁共振检查。王鑫提醒道:骨肉瘤就像一个表面看起来很小的水坑,实际上坑里的水已经向周围浸润了很大一片。在X光片上仅能看到很小的一个病灶,而在磁共振上,可以判断肿瘤的实际大小和确切范围,减少误诊漏诊。
就像浩浩、晨晨这样,以为只是骨折,拍了片子,即使看出有一些异常,也可能没在意,这样打钢板、钢钉,弄破了瘤子后期治疗就不好进行了。
磁共振不仅对确诊有帮助,而且对治疗也有指导作用。“手术时要在肿瘤周围正常组织内切除肿瘤,保证肿瘤的边界干净,才能提高治愈效果。”王鑫解释说。

最终,王鑫医师组为浩浩、晨晨两位小朋友选择了新辅助化疗,待疼痛症状缓解后,手术取出钢板、钢钉,并通过扩大切除手术,完整切除长瘤子部分的股骨,并进行体外灭活,搭配肿瘤型组配人工膝关节置换,达到了既完整切除肿瘤,又保全了孩子肢体功能的目的。
04
做到这些让孩子远离骨肉瘤
骨肉瘤的致病原因目前并不明确,常认为是多种因素综合导致,比如放射性辐射、接触化学物质、基因突变等。
首先,家长对于孩子出现身体异常,一定要引起重视,发现子女在不明确病因的情况下出现了骨头疼痛、关节肿痛,请及时前往医院查明病因;

家长要多鼓励孩子外出进行户外运动,不要接触过多放射性辐射;
另外,户外运动时,也要注意关节处的保护,提醒孩子注意运动秩序和方式,避免造成骨骼损伤及软组织拉伤。
王鑫提醒,如果出现问题,怀疑骨肿瘤性疾病,尤其是合并病理性骨折,家长一定要带孩子到专业的骨肿瘤科就诊,必要时行磁共振检查,仔细甄别骨折原因!
专家简介

姚伟涛
骨与软组织科主任
主任医师,医学博士,博士后,河南省抗癌协会骨与软组织肿瘤专业委员会秘书,河南省医学会骨科青年委员会委员、骨质疏松委员会委员、小儿骨科学组委员。主要从事骨与软组织肿瘤的临床与科研,先后承担及参与军队、省、市级课题10余项。发表临床与科研论著40余篇,其中SCI论文7篇,中华系列论文2篇,国家级论文30余篇。申请专利1项。获得河南省卫生科技成果一等奖1项,二等奖1项。
坐诊时间:周二全天

王 鑫
骨与软组织科
副主任医师,医学博士,美国费城Thomas Jefferson医学院骨科访问学者,兼任河南省脊柱脊髓损伤协会脊柱肿瘤专业委员会副主任委员,省医学会骨科学分会青年委员,省医学会骨科学分会小儿骨科学组委员,省抗癌协会骨与软组织肿瘤专业委员会委员兼秘书,省医师协会骨与软组织肿瘤专业委员会委员兼秘书。擅长四肢骨与软组织肿瘤的保肢治疗,原发脊柱肿瘤的整块切除,以及进展期恶性黑色素的内科治疗。河南省医学科技进步奖二等奖一项,发表SCI论文4篇,发表中华系列杂志论文6篇。
坐诊时间:周一下午,周五上午