肺转移瘤的影像诊断
肺是转移瘤的好发脏器,其中50%~60%原发肿瘤为女性生殖器官恶性肿瘤和消化系统恶性肿瘤。在恶性肿瘤的尸检中发现有肺部转移瘤的约为20%~45%,有15%的恶性肿瘤其肺部是唯一的转移部位。
转移途径有血行转移、淋巴道转移、直接侵犯、以血行转移最多见。
【病理】
血行转移:瘤栓到达肺小动脉及毛细血管后,可浸润并穿过血管壁,在周围间质及肺泡内生长,形成肺转移瘤。
淋巴道转移:肿瘤细胞穿过血管壁侵入周围淋巴管,形成多发的小结节病灶。常发生于支气管血管周围间质、小叶间隔及胸膜下间质,并通过淋巴管在肺内播散。
肿瘤向肺内直接转移的原发病变为胸膜、胸壁及纵隔的恶性肿瘤。
【临床要点】
1.可无明显临床症状,一般为咳嗽、咳痰、咯血、胸痛和呼吸困难等。
2.原发肿瘤大多明确,有的先发现肺部转移瘤,而后才发现原发灶。
3.如肿块较大侵犯肺门、纵隔可出现相应的临床症状。
【影像表现】


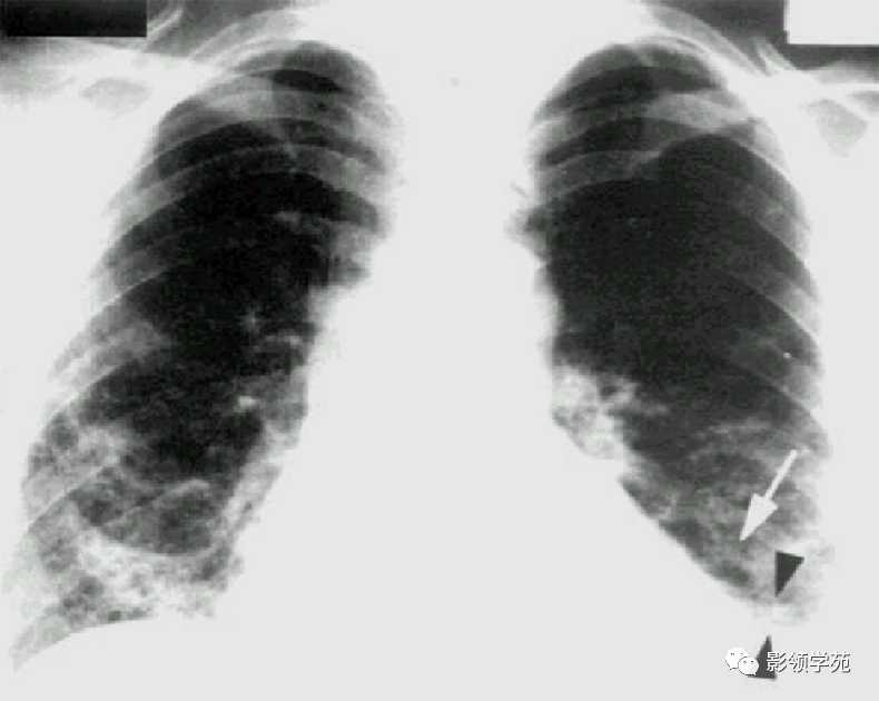
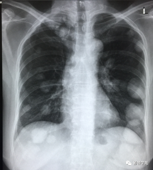
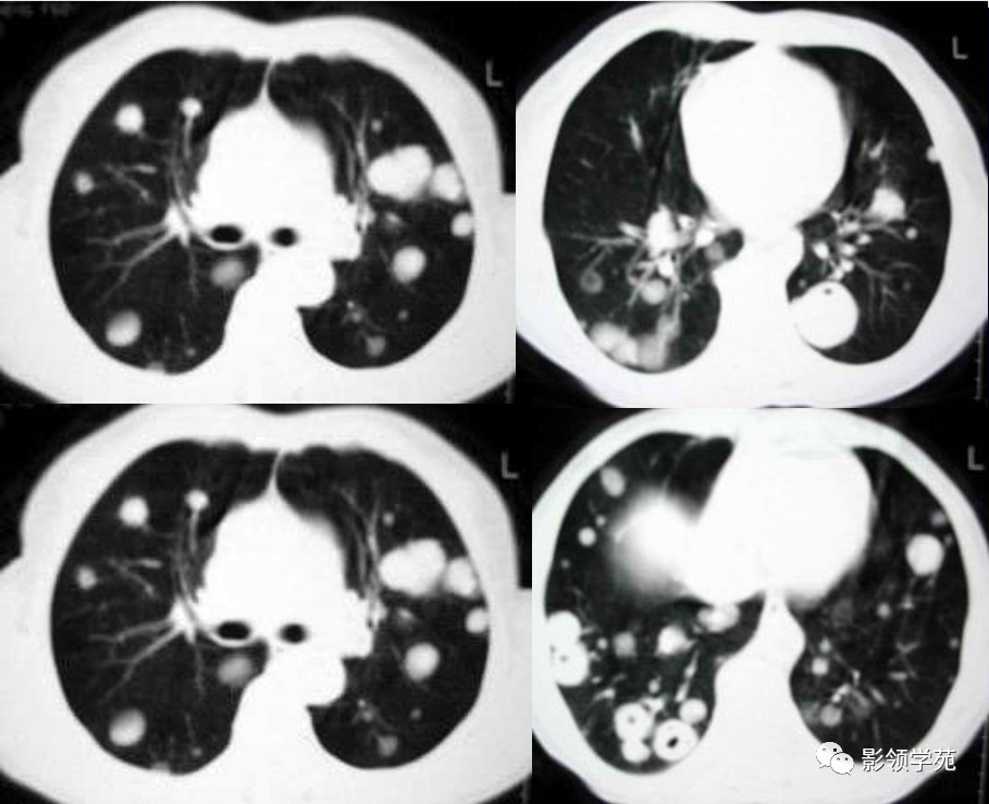
血行转移:双肺多发密度一致、大小形态不一结节状影(下图)

淋巴转移:肺门影增大,自肺门向外部规则索条状影(下图)

双肺淋巴道转移癌。胸部正位片示双侧中下肺野多发结节状及网格状高密度结节影,可见克氏B线(下图)

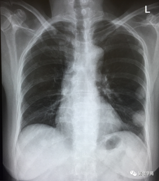
肿瘤外科患者,女55,9月前阴道不规则流血,诊刮术病检:子宫内膜浆液性腺癌(IV期),肺转移癌,盆腔淋巴结转移,骨转移,晚期无手术可能,省肿瘤TC方案化疗4周期,我院PAC方案化疗3疗程。




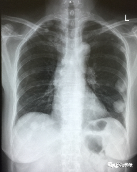
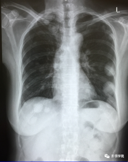
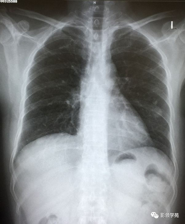
瘤外科患者,女,48,左乳癌根治术后2月术后化疗。病理:左乳伴髓样癌特征的乳腺浸润性导管癌。术后TAC方案化疗1个周期。
左乳切除术后,左肺下野两个大小不等高密度影。


CT表现:
1. 血行性转移 :多发或单发结节,大小不一,边缘较清楚。少数结节伴出血时出现晕轮征,即有略高密度影像环绕结节,使病变边缘模糊。病变有钙化常见于骨肉瘤或软骨肉瘤转移。转移瘤亦可表现为空洞。两肺多发的小结节影具有随机分布的特点,HRCT显示结节位于小叶中心、小叶间隔、支气管血管束及胸膜,结节大小不均匀。
2.淋巴道转移:HRCT表现为沿淋巴管分布的结节。支气管血管束结节状增粗,并有结节,小叶间隔呈串珠状改变或增粗,小叶中心有结节灶,并有胸膜下结节。病变在两肺弥漫分布或局限于某一部位,以中下肺多见。常合并胸腔积液。约半数病人有纵隔及肺门淋巴结肿大。

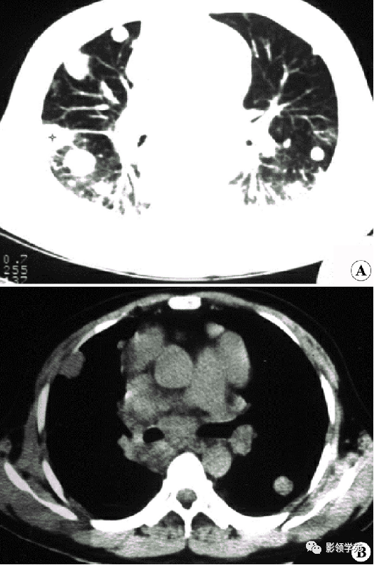
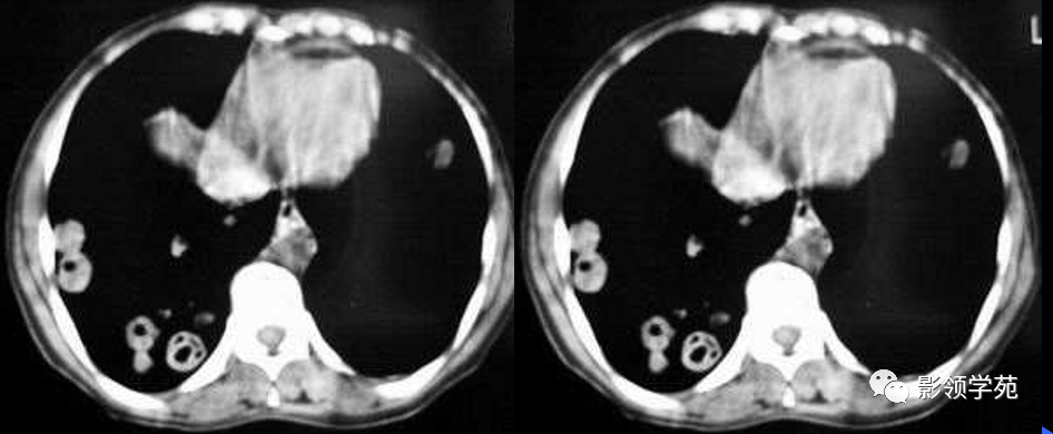
肺转移瘤。
肺窗像(A)示双肺野可见大小不等的圆形高密度结节影,纵隔增宽;纵隔窗像(B)示肺内肿块呈实性,纵隔满布大小不等的肿大淋巴结



CT诊断:甲状腺癌双肺多发转移

额骨骨纤维肉瘤并肺部转移






患者阴道不规则流血半年,于是做宫颈检查发现宫颈糜烂,涂片发现癌细胞,而考虑肺转移瘤!

诊断与鉴别诊断:
