难治性晚期乳腺癌病历分享
难治性晚期乳腺癌病历分享
患者,朱XX,女,68岁。2009-11在外院接受“左侧乳腺癌改良根治术”,口述术后曾经接受过“化疗”,具体治疗过程不详,手术切除组织学病理检查结果亦不详,也未定期复查随访。2018-07-16因“左上肢肿胀2月”外院行“左上肢血管造影”提示左侧锁骨下静脉及腋静脉闭塞,遂行“左侧锁骨下静脉球囊扩张术”。术后左上肢肿胀进行性加重,伴疼痛,并于同年10月出现胸壁多发结节,伴瘙痒、疼痛。
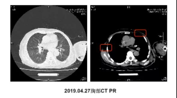
2019-01-10我院门诊行胸壁结节活检,病理:左胸壁包块皮肤及皮下浸润性癌,考虑乳腺源性。免疫组化:CK7(部分+),ER(3+,约90%),PR(2+,约50%),Her-2(2+),AR(3+,约90%),GATA-3(+),P53(少数+),Ki-67(+,约40%)。FISH:HER-2(-)。01-12胸腹部CT扫描:左乳术后伴左胸壁,双肺,胸膜,左侧锁骨上、纵隔、肺门区、两侧腋窝及右侧膈肌脚多发淋巴结、骨转移,癌性淋巴管炎。头颅MRI未见明显异常。入科后查体:KPS评分80分,NRS评分:2分,BMI:23.11,BSA:1.42m2。营养状态PG-SGA评级:B级。左侧胸壁多发皮下隆起性结节,黄豆大小,质硬,活动度差,有压痛,部分结痂,结节间皮肤红肿,左上肢肿胀,余无阳性体征。血液雌二醇检测显示为绝经期水平。
诊断:左乳癌术后伴全身多发转移(IV期,Luminal B型);癌性淋巴管炎 ;癌性疼痛(混合型,NRS2-3分)
复发后的第一次化疗:因之前的辅助化疗情况不详,结合疾病现实临床情况比较凶险,首先选择了紫衫类的药物和蒽环类药物的联合化疗方案。
●2019-01-22至03-11“紫杉醇脂质体+多柔比星脂质体”化疗3个周期
●2019-04-04至05-19“白蛋白紫杉醇+盐酸多柔比星脂质体”化疗3个周期
●2周期、4周期后CT疗效评估:均为PR
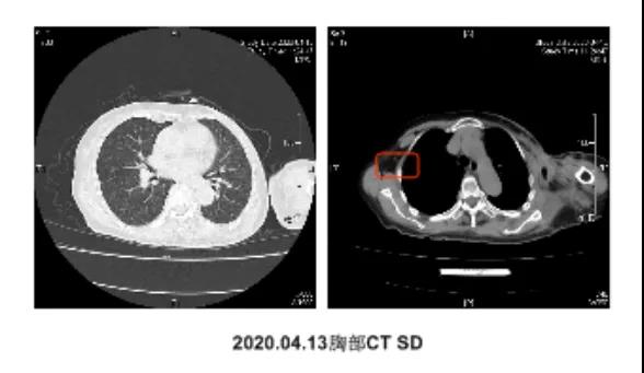
●6周期后CT疗效评估:SD
●CA153由59.6U/ml降至23.48U/ml(0.00-25.00U/ml)
●查体:胸壁结节明显缩小减少,左上肢肿胀较前减轻。
内分泌治疗:
●鉴于患者已行6周期化疗,年龄较大,ER/PR强阳性等临床特征,于2019-06-19至07-23采用“来曲唑2.5mgQd+氟维司群500mg”方案的内分泌治疗,3个周期后,CT疗效评估:缩小,SD。
●同年8月出现胸壁红肿伴左上肢肿胀加重,于2019-08-27至2020-03-10行原方案的内分泌治疗联合小分子抗肿瘤血管生成剂“阿帕替尼”,共计治疗6个周期。2周期、4周期治疗后CT疗效评估均为SD。血CA153维持正常水平。6周期后查体发现,胸壁结节较前增多增大,红肿明显,CT疗效评估SD,增大。提示目前内分泌治疗方案疗效已不足以维持疾病情况不进展了。再次的血液雌二醇检测亦为绝经期水平。
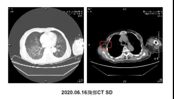
●由于住院患者使用CDK4/6药物渠道不畅通,2020-04-12至06-18更换为“依西美坦25mgQd+氟维司群500mg”联合“阿帕替尼0.25gQd”方案治疗3周期。
第二次化疗:
2020-07,患者左侧胸壁结节增多伴红肿、左上肢红肿伴皮温增高。CT扫描:病灶较前相仿,癌性淋巴管炎较前加重。CA153 28.25U/ml ↑,确定内分泌抗肿瘤治疗效果已经不佳,再次更换为化疗,于2020-07-17、08-10以“吉西他滨1.2gd1、8+卡培他滨1.5g Bid”方案化疗了2个周期,并予以止痛等对症处理。目前,患者左侧胸壁皮肤淡红色疤痕组织,无结节,左上肢肿胀明显好转。病情再次被控制,抗肿瘤化疗正在按计划进行当中。







医者自评:患者系乳腺癌术后多发转移,病史11年,术后9年出现复发转移。复发后的病理组织学检查:“乳腺源性皮下浸润性癌”。免疫组化结果提示ER(3+,约90%),PR(2+,约50%)。然而患者对内分泌治疗反应性并不佳,治疗期间病情不断反复。所幸患者对复发后先后实施的两个方案的化疗反应性俱佳,均可很好的控制住疾病的进展。进一步的疾病转轨情况,尚待观察。
激素受体阳性乳腺癌是最常见的乳腺癌分型,约占乳腺癌的60%以上,治疗难点在于内分泌治疗耐药和远期复发。针对内分泌治疗耐药,应根据不同的通路机制从多角度入手,可用高剂量氟维司群抑制雌激素受体通路,或加用各类靶向药物阻断非雌激素受体通路,如CDK4/6抑制剂。尽管该患者复发后的病理标本组织显示雌孕激素均为阳性,由于其体内雌激素水平一直处于极低水平,推测肿瘤复发转移与体内激素水平的关系并不大,因此,再次实施了化疗。