陈功教授病例分享 老鼠拉龟 无从下手 直肠癌术后卵巢转移巨型盆腹腔肿物切除
结直肠癌是我国最为常见的恶性肿瘤之一,手术治疗是其最为重要的方法之一。医脉通肿瘤科邀请中山大学肿瘤防治中心陈功教授团队创立专栏——肠话短说,向每位读者传递最新的研究进展、最前沿的诊疗思路、最实用的临床经验。本期病例分享中,陈功教授分享了2例结直肠癌术后卵巢转移患者的治疗过程。
结直肠癌最常见的转移器官是肝脏,卵巢转移相对少见。卵巢转移性恶性肿瘤发病率约为0.7%,而大肠癌 卵巢转移的发生率约为1.4%~25.0%,结直肠癌一旦发生卵巢转移就意味着病变已进入晚期,女性结肠直肠癌患者卵巢转移的发病率仅次于肝转移,且结肠直肠癌卵巢转移对化疗不敏感,预后较差。因此,手术治疗在结直肠癌卵巢转移中的作用更值得探索。目前,直肠癌卵巢转移的治疗包括治疗性切除和预防性卵巢切除。
病例简介
01患者1基本情况
女性,45,2017-07出现月经紊乱、月经量不规律、伴上腹部胀满不适,偶有下腹部剧痛。
02影像学检查
2017-10 当地医院CT、MRI示:降结肠粘膜增厚伴肝内、宫体多发占位,肠镜活检提示:降结肠中分化腺癌;
03既往治疗史
2017-11至2018-01-20,予以mFOLFOX化疗方案7次,因梗阻病情进展;
2018-03-01至08-09,序贯予以 FOLFIRI方案联合贝伐珠单抗(300mg)姑息化疗方案,疗效评价为PR;
2018-09-06,行左半结肠切除术+右附件切除术,术后排气排便通畅;
2018-10-11,予以FOLFIRI化疗方案1疗程;
2018-10-25、2018-11-07,予以FOLFIRI方案+贝伐珠单抗(300mg)姑息化疗2疗程;2018-12 复查CT示:肝转移灶疾病进展(PD);
2018-12-11、2019-01-08、2019-01-29、2019-02-19行肝转移灶微波消融术;复查肿瘤标志物较之前下降,腹部CT提示肿瘤缩小;
2018-12-08至2019-02-16,予以贝伐珠单抗靶向治疗4疗程;
2019-01-11至2019-01-31,予以替吉奥姑息化疗2疗程,后因不耐受而停止治疗。
2019-03腹部MR示:肝脏病灶残留;
2019-03-21,行肝动脉灌注化疗栓塞术,术后诉腹胀,腹部彩超:腹腔混合性肿物;
2019-03-23,行腹腔囊肿穿刺引流术,患者自诉腹胀缓解;
2019-03-27、03-29,予以洛铂灌注化疗;2019-04 复查CT示:PD
2019-04-18,行瑞戈非尼靶向治疗,末次服药日期为2019-06-30,服用后出现手掌部多发水泡伴疼痛;
2019-4-24,再次行盆腔囊肿穿刺并间断引流;
2019-05-07,予以洛铂灌注化疗,2019-05复査CT提示PD,当地医院考虑瑞戈非尼靶向治疗效果不佳,予暂停靶向治疗。盆腔巨块型占位,局部压迫明显,申请远程会诊考虑盆腔囊实性包块为肿瘤卵巢种植,建议行包块姑息切除;现返院咨询行盆腔包块切除手术治疗。
2019-06-27 复查CT示:1. 左半结肠+右侧附件切除术后;2.肝内多发转移瘤并消融术后改变。
04诊断
降结肠癌伴肝、子宫、盆腔多发转移综合治疗后


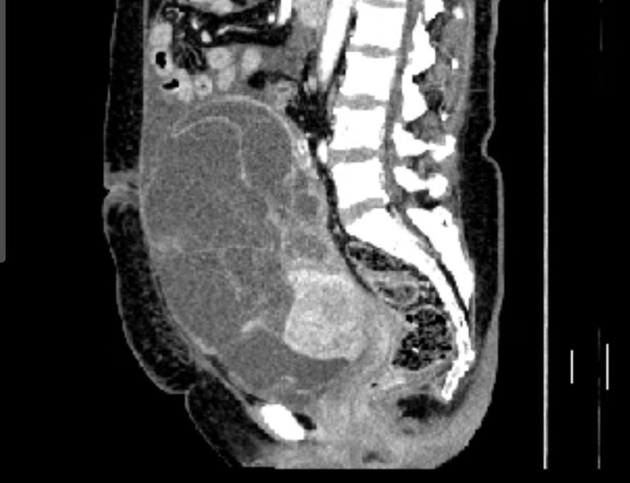
2019年7月16日,术后腹部CT
06患者2基本情况
女性,45,直肠癌综合治疗后,卵巢、肺转移
07既往治疗史
2013-04-13,直肠癌根治术史;
2017-03-09,结肠脾曲癌姑息切除术+脾切除术+阑尾切除术手术史,术后多次化疗;
2017年12月发现腹腔肿瘤;
2018-01-02盆腔B型超声波检查(BUS):左卵巢体积增大43*30mm,呈多发囊样改变;右侧附件巨大囊性包块93*70mm;
2018-01-09结直肠科门诊意见:患者未带CT片就诊。按外院出院记录显示,2017-02 BUS已经显示右侧附件占位,考虑畸胎瘤。之后患者在外院接受治疗,未至我院就诊。
2018-12-06起服用瑞格菲尼后因出现发热、泌尿系感染、皮疹等,于12-30停用;
2018-12-06 复查CT示:右侧附件囊实性占位,较前明显增大,结合MRI考虑囊腺瘤或囊腺癌可能;双肺散在小结节(1.3*1.6cm)较前增大增多?转移?
2019-2-2出现下体出血,05-15、6-6为缓解盆腔胀痛不适行CT行盆腔肿瘤穿刺活检术+微波消融术+盆腔穿刺置管引流术,病理示:盆腔肿物为肠癌转移性腺癌。查体:LN-,腹软,下腹至耻骨上区膨隆,触及巨大肿物,20*15cm,质硬,固定见皮肤引流管;肛查。
2019-07-02门诊意见:腹块考虑卵巢转移瘤,压迫症状明显,建议增强CT复查,以了解腹块切除可能性;
2019-07-07腹部CT:直肠癌术后,吻合口未见异常。双侧附件区肿块,符合转移,右附件肿块可疑侵犯子宫体。肝、双肺转移瘤。脾缺失,右肾积水。

2017年7月7日腹部CT
08诊断
直肠癌伴腹盆腔转移综合治疗后,卵巢转移
09治疗计划
目前疾病出现肝肺转移,无法治愈,腹部肿物巨大,压迫症状明显,建议姑息切除腹盆肿物缓解压迫。

陈功教授病例回顾与点评
又遇上卵巢转移瘤,临床经验就是,一旦有一侧卵巢发现转移瘤时,手术切除的同时也要切除对侧卵巢,即便当时尚未发生转移。一些外科同道会“心慈手软”,其实是留下祸根,因为对侧也发生转移的概率极高,第一例患者因压迫症状,而使肿瘤内科无法开展进一步全身治疗。
第二例患者完全是患者个人原因拒绝了一年前提出的手术切除建议,直到压迫症状导致无法排便、进食,也无法针对肿瘤进行全身治疗时,才来医院接受手术治疗,导致最终手术难度极大,肿瘤完全占据腹盆腔,无从下手,只好破瘤而过,分散切除,耗时4小时,出血1000ml。感谢妇科黄欣主任出手相助 ,感谢麻醉、手术室同事帮助,手术还算顺利,也让患者如愿保住肛门未造口,身体恢复后就可以尽快开始全身治疗。这么大的卵巢转移瘤,化疗疗效欠佳,即使是要接受姑息治疗,也应该先切除,为后续治疗创造条件,才能保证好的生活质量。有句广州话“老鼠拉龟,无从下手”,在这次手术中深有体会,若不是把肿瘤快速分块切除,根本找不到空间入手。
卵巢转移瘤的切除,和卵巢癌根治术还是有所区别。只要能做到切缘干净,单纯双侧附件/卵巢切除即可,子宫尽量不切除,尽量减少手术创伤。