肺磨玻璃样结节?不想长期煎熬那就消融打掉
持久战!磨玻璃结节竟随访14年
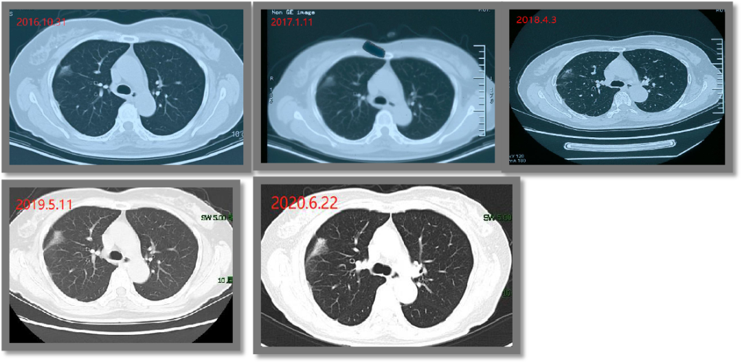
2006年,张女士在一次偶然的体检中发现自己右肺上有个磨玻璃结节(GGO)。
由于之前因肾癌开过一刀,张女士内心极其排斥手术。于是在医生的建议下,决定先进行年度随访,等结节有变化了再做手术也不迟。
谁知道这一随访就是14年。
2016年,结节开始变大变实,并出现纤维化,由几个毫米增大到2公分以上。
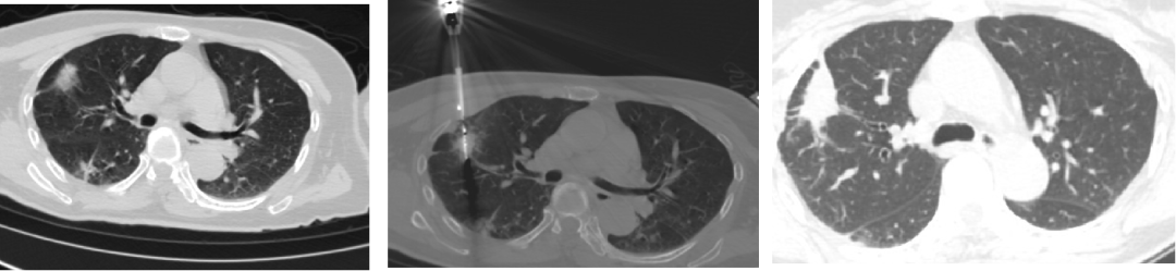
而直到今年8月,结节才终于做微波消融打掉,并取到了满意的病理:原位腺癌。
14年的随访,对张女士的身体和精神来说,无疑都是一场持久战。和伴随自己十几年的结节终于告别后,她无比庆幸自己等到了微波消融微创治疗手段,心里的大石头落了地,再也不用提心吊胆过日子了!


图1 张女士随访期间的检查结果

图2 张女士术前、消融中、消融后三个月复查结果
发现GGO,长期随访压力大,“不上心”后果更严重
随着低剂量胸部CT大规模用于健康体检,以及高分辨率CT的应用,GGO的检出率越来越高,GGO多发的趋势也越来越明显。
大部分GGO需要长期随访,但长期随访会造成患者极大的心理负担,同时也可能导致病灶失去根治的机会。
实际上,在临床上碰到的GGO患者大多可以分为三类:
其中第一类患者情况较好,比如上文中的张女士。这类患者依从性好,医生解释后能放下大部分的心理负担,但又能谨记医嘱坚持随访,结节一旦发生变化就能及时干预。所以结节就算有所发展也多在肺癌早期,预后一般都比较好。做完手术或者消融都不用再做辅助放化疗,治愈率非常高。
第二类患者对GGO一知半解,认为这种结节恶变概率高,发现结节后心理压力太大,心魔一样吃不香睡不着,甚至会影响正常生活,这类患者不管结节的大小表现如何都会强烈要求进行干预。
第三类患者则完全相反,听说GGO发展缓慢惰性生长,并且结节稳定建议随访时大多不会太放在心上,最开始一两年还能定期来医院随访检查,如果没啥变化则会将其抛诸脑后,等到后面出现症状再就诊时结节多已发展到中晚期。
后面这两类患者的心态都太极端,均不可取,但在临床工作中是最常见的。
太过重视,则会因为长期的随访和心理压力过大而整日生活在恐惧与担忧之中;不够重视,则有可能错过第一时间发现GGO恶变的时机,导致不良预后;即使是第一类患者,也会长期承受着较大的身心压力。
那么GGO是不是迟早都会癌变?发现GGO后,是否可以立即外科切除或者消融打掉呢?
改良针尖超给力,消融打掉放宽心
发现GGO后,到底是手术切除还是等待观察呢?据上海交通大学医学院附属仁济医院肿瘤介入科池嘉昌副教授介绍,对于绝大部分GGO而言,尤其是具有均质、圆状的GGO,第一时间的手术其实并不合适,它往往需要随访的过程。
当前国外指南推荐:
一般直径5mm以下的肺小结节几乎不会癌变,不过也需要定期随访,建议年度CT复查观察生长性,随访时间不小于3年;
直径5mm以上的肺结节建议3个月、6个月、12个月和24个月持续CT检查;
对于多发的结节,随访的频率和持续时间应依照最大的结节进行。

“对于密度高、形态不规则、中央实性成分>5mm等恶性程度明确的GGO患者,则应该选择第一时间手术或其他微创治疗。”
诚然,作为一致公认有效的肿瘤“根治”方法,外科切除确实显著延长了患者的生存期,但是它对人体全身状况及重要脏器功能的较高要求、相对巨大的创伤和治疗风险以及较差的可重复性等严重限制了外科切除的应用群体。
比如上文中的张女士,心理上对外科手术就极为排斥,身体上进行外科手术的话负担也比较重。
所幸的是,近年来消融技术的兴起,为这部分患者提供了非常安全、有效的治疗选择。
目前,消融已被广泛应用于多种肿瘤的治疗。但GGO与实体瘤不同,内部仍有肺血管和支气管,如果采用传统尖锐的微波针,则很可能在穿刺过程中损伤血管等重要的结构,进而导致出血、咯血等并发症。
对此,在仁济医院肿瘤介入科翟博主任的带领下,池嘉昌副教授团队在经过大量查阅文献及离体和活体实验后,首创了钝性圆头微波针。
这种钝性的微波针可以轻易穿过绝大部分的纯GGO,对于部分实性的GGO,稍稍用力也可以轻松穿过。而且,其无法突破肺组织内的血管,遇到血管时只需要回退几厘米、略微调整下方面即可轻松避开。而消融时钝性微波针触碰血管引起的血管痉挛,可以有效地减少血管造成的热沉现象,使得血管旁的病灶能够消融地更加彻底。
即使是对于周边血管丰富或靠近大血管的GGO,有了新的消融针也可以一并搞定,统统消融掉!
看似小小的针尖改良,却让更多的患者有机会接受消融治疗。
此外,基于钝性圆头微波针安全性良好的特征,池嘉昌副教授提出了消融后同步活检的新诊疗模式,即先凝固、后取样、再消融治疗,同时间做到了GGO的取样和治疗。
与常规活检进行对比,凝固后活检不仅穿刺活检造成的出血大大减少,同时由于病灶皱缩变成实性病灶,活检的取样量明显增加,而低功率的微波凝固方法不会影响病理诊断和相关基因检测的结果,大大提高了穿刺成功率和安全性。

常规活检 vs 消融后活检(更多更致密的标本)
多发GGO先别慌,消融+手术一次搞定
现在多发GGO越来越常见了,如果单纯手术或消融搞不定,该咋办?
今年,40岁的王女士就遇到了这个问题:右上肺后段的一枚GGO较为严重,考虑为微浸润腺癌到浸润性腺癌之间的病变;其余4枚纯GGO均考虑为浸润前病变——原位腺癌。
对于浸润前病变的结节,一般不主张手术治疗。因为大部分患者经长期随访观察,结节并不会有进展。而且王女士的4枚纯GGO分散于左上肺的4个部位,如果手术切除的话,肺功能损失较多,得不偿失。
然而,虽然进行了悉心劝导,但王女士焦虑的“心病”还是难以消除。
为让王女士安心,也减少手术带来的肺功能的破坏,仁济医院胸外科和肿瘤介入科创新“杂交手术”——先消融掉左上肺的4个GGO,再手术切除右上肺后段,前后仅用3小时就一举解决5枚肺GGO,患者术后三天顺利出院。
消融技术的发展给患者带来更加微创、安全的治疗手段,而消融与外科手术的完美结合可以让患者得到更加精准的治疗。特别是对GGO过于恐惧、焦虑的患者,如果考虑有癌变,不妨试试趁早消融掉!
参考资料
[1]发现肺部磨玻璃结节怎么办?不怕,一根“针”搞定它!. 医学界肿瘤频道.
[2]胸外科和肿瘤介入科创新“杂交手术”一举解决5枚肺磨玻璃结节. 文汇报
[3]上海仁济医院肿瘤介入科提出肺部磨玻璃结节(GGO)消融后同步活检的新模式. 上海仁济医院肿瘤介入科
[4]【新技术】仁济医院开展肺部磨玻璃结节无损穿刺微波消融. 上海仁济医院肿瘤介入科