口外型舌下腺囊肿的超声诊断及鉴别 极其容易被误诊的疾病
舌下腺囊肿多因炎症、损伤或其它原因导致导管部分阻塞,唾液潴留,导管和腺泡破裂而渗于口底组织,后被结缔组织包裹形成囊肿;多见于青少年。舌下腺囊肿根据突出部位分口内型、口外型和混合型,如位于下颌舌内肌口腔侧称为口内型,口内型较易诊断,如位于皮肤侧称为口外型(又称潜突型、颌下型),因部分口外型囊肿穿越口底表现为颈前区或颌下肿块,舌下区无肉眼可见的病变,容易误诊为其它囊性病变。下颌舌骨肌与舌骨舌肌间有自然解剖缝隙,舌下腺尾部与颌下腺深部相连,约20%的舌下腺可突入颌下区,42%的患者存在舌下腺下颌舌骨肌疝,当舌下腺分泌物在重力作用下,经由上述通道漏入颌下或颏下间隙,形成舌下腺囊肿口外型。如术前不能正确诊断,只处理囊肿,很容易复发(“治标不治本”),需要把囊肿和舌下腺一并切除(“标本兼治”)。
超声表现:颌下或颏下及口底单发的不规则无回声(部分追踪可发现下颌舌骨肌有缺损),边缘毛糙,无明确的包膜,透声佳(病程较长者,因囊腔内分泌物黏稠,透声欠佳,并可见点状强回声),CDFI:一般无血流。文献报道:舌下腺囊肿的穿刺液呈蛋清样黏稠液体,可拉成长丝,甚至数十公分不断是其独特的临床特点,囊液含有丰富的淀粉酶,所以淀粉酶试验阳性。超声显示不规则囊肿+穿刺抽出黏稠拉丝状黏液是诊断的重要依据。
鉴别诊断:1、发生于颌下者常被误诊为鳃裂囊肿、淋巴管畸形,
鳃裂囊肿超声表现见鳃裂囊肿的超声诊断及鉴别
淋巴管畸形常见于婴幼儿,超声显示边界清晰,小的形态规则,呈圆形或卵圆形,大的内见多发分隔呈多房,穿刺液淡黄清亮;
2、发生于颏下者易被误诊为甲状舌管囊肿。
甲状舌管囊肿鉴别见:甲状舌管囊肿的超声诊断。


手术证实的口外型舌下腺囊肿:颌下腺周围不规则无回声向口底部延伸,边缘毛糙,无明确的包膜,透声佳,无血流。


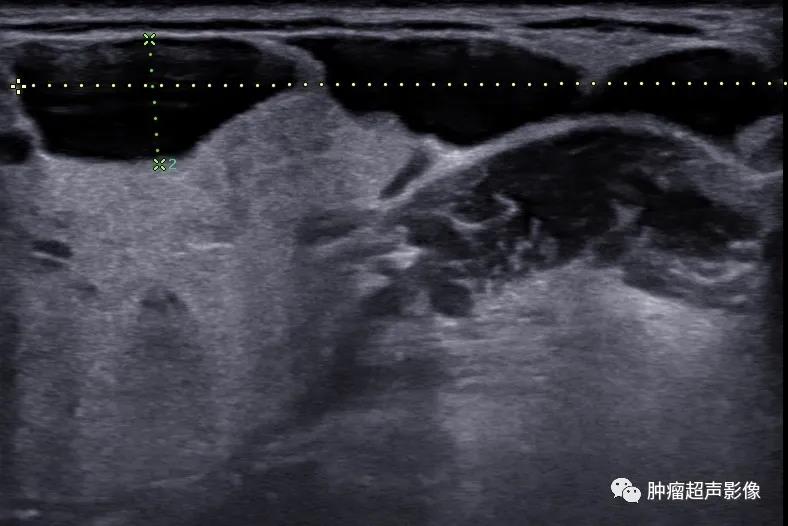
手术证实的口外型舌下腺囊肿:颌下区不规则无回声向口底部延伸,下颌舌骨肌有缺损,边缘毛糙,无明确的包膜,透声佳,无血流(来自微信好友会诊病例)。

<
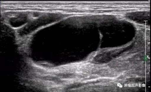
手术证实的口外型舌下腺囊肿:颌下形态欠规则无回声,大部分边缘光整,口底侧局部边缘毛糙、无明确的包膜,透声欠佳,无血流,比较容易误诊。
参考文献:
1、齐志新, 张晓娜, 孙伟. 超声诊断口外型舌下腺囊肿一例[J/CD]. 中华医学超声杂志: 电子版 , 2014, 11(9): 776-777.
2、Nathan H,luchansky E.Sublingualgland herniation throughthe mylohyoid muscle[J].Oral Surg Oral medOral Pathol,1985,59(1):21-23.
3、毛多喜, 李小军, 祖连生. 舌下腺囊肿口外型36例诊治分析[J]. 实用口腔医学杂志, 2011, 27(4):561-562.