小细胞肺癌合并副癌综合征,还能用免疫治疗吗?专家讨论太精彩了!

“金陵肺癌网络论坛”第11场精彩病例来了!本期由东南大学附属中大医院韩淑华教授给我们讲述了一位局部晚期小细胞肺癌合并副癌综合征患者免疫联合治疗的曲折历程。各位嘉宾也围绕免疫治疗剂量和副癌综合征处理进行了激烈的讨论,详情请看下文。
小细胞肺癌(SCLC)在所有肺癌中占比约15%,它的特点是分化程度低,恶性程度高,倍增时间短,治疗手段匮乏,患者预后较差。免疫治疗的出现显著改善了小细胞肺癌患者的生存,目前指南推荐的小细胞肺癌免疫治疗度伐利尤单抗的剂量为1500mg,化疗期间每三周一次。然而由于种种原因,这位患者最终选择了620mg剂量,会影响治疗效果吗?同时,患者伴有明显的副癌综合征,临床上又该如何处理?
01
基本信息
陈XX,女,54,因行走不稳20余天于2020-07-03至我院就诊。
现病史:患者20余天前无明显诱因下出现双下肢乏力,行走困难,蹲下动作易摔倒,且下蹲后起立困难,伴头晕,后枕部紧缩感,活动时胸背部疼痛,坐位时说话费力,平卧后好转,进食胸骨中段由哽噎感。无头疼、恶心及呕吐症状,北京积水潭医院就诊完善头颈胸腰MRI检查发现脑白质变形,右肺占位,建议骨科及神经内科就诊,遂至我院神经内科门诊就诊,门诊拟“行走不稳查因”收入院。病程中,患者二便正常,睡眠欠佳,体重减轻约4公斤。
既往史:2型糖尿病病史10年,应用胰岛素控制。否认高血压病史,否认家族遗传病史及肿瘤病史。否认药物过敏史。
02
检查及评估
体格检查:双下肢肌力4级,屈髋、伸髋4级,腱反射+,双侧指鼻试验、轮替、跟-膝-胫试验欠配合。
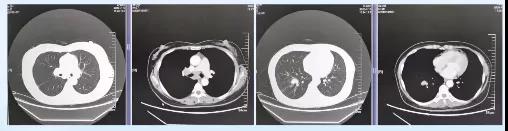
胸部CT:右肺下叶团块并局部支气管阻塞及肺不张,纵隔及右肺门淋巴结肿大,心包少许积液。
腰椎穿刺术:测颅内压120mmH2O,抽取脑脊液送检病原学、细胞学等检查,未见癌细胞。
脑脊液外观:无色透明,红细胞计数:0/mm3,白细胞计数:0/mm3。
化验:神经元特异性烯醇化酶36.0ng/ml,胃泌素释放前体344pg/ml。
血清副癌抗体检测:抗-SOX1(+),副瘤抗体(-)。
注:抗-SOX1(+)的临床意义
2005年Graus等在小细胞肺癌相关的PNS(肾病综合征)患者血清中发现了一种能特异性结合小脑浦肯野细胞层Bergmann星形胶质细胞核的自身抗体,将其命名为抗胶质细胞核抗体(AGNA)。随后研究发现SOX1(性别决定区Y框蛋白1)为AGNA相应的抗原。
大约22%-32%的小细胞肺癌患者抗SOX1抗体阳性,SOX1抗体的产生是由于对细胞膜离子通道的自身免疫反应增强所致。
SOX1抗体也可作为LEMS(重症肌无力)合并小细胞肺癌患者的孤立预测因素,但该抗体阳性与患者生存率无关。
2020-07-07行支气管镜检查见右下叶后基底段新生物,活检送病理。
2020-07-09病理回报:考虑小细胞癌。
2020-07-10胸腹盆增强CT:右肺占位伴局部支气管阻塞及不张,右侧胸膜及斜裂胸膜增厚,心包腔少量积液,纵膈及右肺门淋巴结肿大。

患者神经系统症状如何解释?
根据美国国家综合癌症网络(NCCN)指南,如果怀疑是副肿瘤性神经系统综合征,可考虑行全面的副肿瘤抗体组合检查:
亚急性小脑变性(抗Yo抗体) ——共济失调、构音障碍
脑脊髓炎[ANNA-1(抗-Hu)抗体] ——混乱、迟钝、痴呆
感觉神经病(抗背根神经节抗体) ——疼痛、感觉丧失
Eaton-Lambert综合征(抗电压门控钙通道抗体) ——无力、植物神经功能紊乱
癌症相关性视网膜病变(抗恢复蛋白抗体)——视力丧失、畏光
根据患者的临床症状,我们判断为Eaton-Lambert综合征。
随后,头颅MRI提示:脑白质变性。
骨ECT检查:左侧下颌骨异常放射性浓聚,炎性摄取可能,L4-5椎体右侧部轻度异常放射性浓聚,考虑退变可能
胸腹盆增强CT:右肺占位伴局部支气管阻塞及不张,右侧胸膜及斜裂胸膜增厚,心包腔少量积液,纵膈及右肺门淋巴结肿大
临床诊断:右肺小细胞肺癌(T2N2Mx),Eaton-Lambert综合征,2型糖尿病,PS评分3分.
03
治疗方案
如果患者脑部没有病变,则属于IIIa期小细胞肺癌。依据2020NCCN指南,PS评分3-4分的IIIa期小细胞肺癌,治疗方案应选择全身系统治疗±放疗。同时,全身系统治疗也有两种选择,化疗或者化疗联合免疫治疗。此外,目前PD-L1抑制剂也有两种选择,阿替利珠单抗和度伐利尤单抗。
那么患者该如何选择治疗方案?
根据CASPIAN和IMpower133研究的结果,以及与患者的沟通。度伐利尤单抗的副作用较低,疗效似乎更好,最终选择了度伐利尤单抗联合化疗。
2020-07-14 由于患者体重较低,因此选择度伐利尤单抗620mg治疗。
2020-07-15 依托泊苷0.1mg d1-d3+顺铂40mg d1-d2。
04
复查随访
2020-08-02患者因需进行第二次化疗住院,检查发现患者各项肿瘤指标明显下降,肺部肿瘤组织明显缩小,体格检查较之前也有明显好转,疗效评估部分缓解(PR)。

2020-08-04继续原方案进行第二周期治疗,选择度伐利尤单抗620mg+依托泊苷0.1mg d1-d3+顺铂40mg d1-d2。
2020-09-02患者因需进行第三次化疗住院。患者乏力症状虽然比治疗前好转,但是较第二次住院时并没有改善,同时头晕症状依旧明显。不过患者的神经系统还是有改善的,肿瘤相关指标也持续降低,胸部CT提示患者肿瘤组织进一步缩小,疗效评估PR。

2020-09-04 继续原方案开展第三周期治疗,选择度伐利尤单抗620mg+依托泊苷0.1mg d1-d3+顺铂40mg d1-d2。
2020-09-08患者因头晕伴恶心、呕吐,转入神经内科诊治。
查体:头晕时眼震,双侧额纹、眼裂、鼻唇沟、口角对称。双下肢肌力4级,屈髋、伸髋5级,腱反射+,双侧指鼻试验、轮替、跟-膝-胫试验完成差。
头晕原因:自身免疫相关性脑炎?前庭功能障碍?Eaton-Lambert综合征是存在的。
建议患者完善腰椎穿刺、副肿瘤及自免脑等血清及脑脊液检查,患者和家属考虑后表示拒绝检查。
治疗:输入丙种球蛋白、甲氧氯普胺止吐,糖皮质激素1000mg每四天减量50%。
治疗后,患者头晕伴恶性呕吐症状逐渐缓解。
2020-10-26因患者需进行第四次化疗再次住院,患者头晕、乏力症状仍时有发生,但是各项体格检查以及神经状态还算正常。肿瘤指标稳定,胸部CT显示病灶依旧缩小,疗效评估PR。

2020-10-28开始第四周期治疗。患者由于反复头晕,不能排除免疫性脑炎,故此次未行免疫治疗,停用度伐利尤单抗,改用依托泊苷0.1mg d1-d3 + 顺铂40mg d1-d2。
目前患者状态良好。
05
嘉宾讨论
1
因病人一般状态差,不能耐受增强MRI的检查,但头颅MRI平扫未见转移,如果没有远处转移,该病人为Ⅲa期患者,选择度伐利尤单抗治疗是否合适?
宋勇教授:局限期小细胞肺癌目前的标准治疗方案还是同步放化疗。同时,近期有研究初步表明,同步放化疗后的免疫巩固治疗可以改善患者生存。而朱晓莉教授刚才也做了解释,患者由于状态差,外科医生不建议同步放化疗。
事实上,外科医生对于这个病例上没有太大的帮助。因为,小细胞肺癌与非小细胞肺癌(NSCLC)不同,仅T1-2期可手术切除,除此之外的小细胞肺癌都是不可以切除的,包括IIIa期IIb期,哪怕是肺门淋巴结肿大的患者。因此,对于这个患者来说,年纪不大,如果状态尚可,同步放化疗应该还是一线标准治疗方案。不过,目前免疫联合EP方案也取得了一定的效果。
2
指南中,小细胞肺癌免疫治疗度伐利尤单抗建议剂量为1500mg,因患者低体重和经济等原因选择了620mg剂量,这样是否会影响治疗疗效?
孙茜教授:指南中,小细胞肺癌和NSCLC度伐利尤单抗的使用剂量是不同的。对于NSCLC患者来说,目前指南推荐剂量为10mg/kg,每两周一次。而对于小细胞肺癌来说,目前指南推荐剂量为1500mg,每三周一次。单纯从剂量上来看,1500mg是一个相当大的剂量,因为对于一个普通的60kg NSCLC患者来说,600mg也就足够。
宋勇教授:这是一个不吸烟的小细胞肺癌患者,只占小细胞肺癌患者的5%左右,非常罕见。至于患者剂量降低到620mg会不会影响疗效,目前无法回答,但是我有一些经验可以分享。
因为小细胞肺癌PD-L1的表达非常低,所以对于小细胞肺癌患者来说,免疫治疗的疗效可能相对有限。临床上很多PD-1单抗治疗小细胞肺癌的研究也都没有达到主要终点,只有两个PD-L1单抗取得了阳性结果。因此,临床上往往也有医生问,PD-1单抗目前比较便宜,是否可以用于小细胞肺癌的治疗?我只能说,没有确定的答案。但是就目前的循证医学证据来看,还是PD-L1单抗比较好。
至于为什么小细胞肺癌剂量是1500mg,而NSCLC是10mg/kg,因为临床研究就是这样做的。我们从PD-L1表达上去理解这一问题可能会比较好。
3
患者治疗后反复头昏、头晕,不能排除免疫性脑炎,目前暂停免疫治疗,后续应该如何治疗?继续使用度伐利尤单抗是否合适?
宋勇教授:这个问题的关键是,患者到底是自身免疫性脑炎还是免疫治疗相关性脑炎。患者在免疫治疗之前,其实已经有头晕以及共济失调的症状,符合Eaton-Lambert综合征的临床表现。所以,问题也就变得非常简单了,患者应该就是一个副瘤综合征引起的脑炎。
那么,有自身免疫病的患者能否用免疫治疗?答案是肯定的,可以治疗的,只需要监测好患者自身免疫疾病的进展。临床实践中会发现,部分患者在接受免疫治疗后,患者的自身免疫疾病反而缓解了。当然,也有部分患者的病情会加重,所以我们在使用免疫治疗的过程中需要权衡利弊。
对于这个患者来说,免疫治疗取得了较好的疗效,如果其自身免疫病在丙种球蛋白和激素治疗下得到了较好的控制,患者后续还是应该继续使用免疫治疗。毕竟,目前免疫治疗是改善小细胞肺癌患者预后最重要的手段。大家都知道,局限期小细胞肺癌如果没有手术,患者生存十分有限,但是加上巩固免疫治疗后,患者2年生存率可以达到70%。
不过,在使用免疫治疗时,需要停用激素。后续,如果患者情况允许,也可以将度伐利尤单抗剂量调整为1500mg,还是比较安全的,几乎不会增加不良反应。
此外,目前患者已经接受了免疫和化疗,后续如果在恰当的时机使用放疗也是有价值的。但是如果采用大靶区放疗,可能会增加放射性肺炎的风险,患者病情会恶化。所以我们可以采用精准放疗,对患者的原发病灶和纵膈区进行照射,很有可能会进一步改善患者的生存。
4
患者有明确的副癌综合征,最初的MRI没有发现头颅和其他部位转移,仅肺门和纵膈淋巴结增大,属于IIIa期小细胞肺癌,是否应该进行同步放化疗?放疗介入时机如何选择?
朱晓莉教授:当时患者由于头晕乏力症状非常明显,因此没有进行增强MRI头颅扫描。经过MDT讨论,患者头部如果没有转移,那么就属于IIIa期,可以选择手术或者同步放化疗。然而,根据胸外科医生的建议,患者的状态较差,因此先选择系统性治疗,看看有没有降期的可能,等待后续患者状态好转再进行手术或序贯放疗。
朱锡旭教授:对于小细胞肺癌的副瘤综合征,放疗科一般较少有机会接触。目前局部进展期小细胞肺癌的免疫联合化疗还不算是常规的一线治疗手段,同步放化疗还是常用的治疗手段。
一般来说,患者应该先接受化疗,待到肿瘤组织缩小到不能再小之后,再考虑放疗。然而,这位患者的情况较为复杂,右下肺结节病变引发整个纵膈淋巴结广泛转移,如果进行普通放疗,靶区非常大,容易诱发放射性肺炎,影响患者的治疗。所以,患者免疫联合化疗的治疗方案总体来说没有太大问题。