晚期鳞状NSCLC获pCR!替雷利珠单抗联合化疗可迅速缩瘤,为患者带来根治希望
鳞状非小细胞肺癌(NSCLC)患者由于很少有驱动基因的改变,靶向药物疗效有限。随着肿瘤免疫治疗的发展,免疫检查点抑制剂在鳞状NSCLC中的应用潜力逐渐显现。替雷利珠单抗作为我国自主研发的PD-1单抗,体现出良好的疗效与优势。本期,我们将分享2例鳞状NSCLC病例,其中1例为替雷利珠单抗联合化疗治疗术后复发患者的病例,另1例为替雷利珠单抗联合化疗作为术前新辅助治疗的病例。


病例一:鳞癌术后复发
病例一基本情况
一般资料:患者男性,74岁。
主诉:左上肺鳞癌术后5年,咳嗽、活动后气急加重4个月。
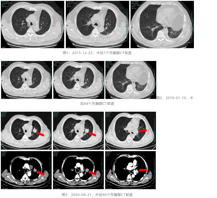
现病史:患者于2015年5月行左下肺癌根治术,术后病理提示周围型低分化鳞癌,pT1bN0M0,大小约3×2.7 cm,术后曾行4次多西他赛+顺铂化疗,一直定期复查肺部CT,无复发依据。患者术后肺功能:极重度阻塞性通气功能障碍,长期吸入沙美特罗替卡松、噻托溴铵治疗。2019年12月23日复查,发现左肺上叶结节灶,伴淋巴结肿大,当时无症状,患者暂拒进一步治疗。2020年4月2日,患者因咳嗽、活动后气急加重,为求进一步治疗来诊。
既往史:5年前行左上肺癌根治术;否认慢性病史。
个人史/家族史:40+包年吸烟量,戒烟3年,复吸1年余;否认饮酒史;否认家族性遗传病史。
查体:全身浅表淋巴结未及肿大,右肺呼吸音清,左上肺呼吸音弱,双肺未闻及干湿性啰音,无胸膜摩擦音。余查体未见明显异常。
ECOG PS评分:0-1分。
胸部CT(2020-04-26):左肺上叶结节灶,伴淋巴结肿大。
纤维支气管镜活检(2020-04-21):左上上支支气管开口狭窄,粘膜充血肿胀左上前段谈及MASS。病理:内见癌组织,分化差。免疫组化:CK7(+), P40(-), TTF-1(-), NapsinA(-), CDX2(-), ALK-Lung(-), CK(pan)(+), CgA(-), CD56(-), Syn(-), Ki-67(+90%), EBER(-), INI-1(+)。
诊断:左下肺鳞癌术后复发(rT3N2M0)。


病例一诊治经过
经患者充分知情同意并签署同意书后,于2020-05-21起,予以患者免疫联合化疗治疗,方案为:替雷利珠单抗 200mg d1 + 白蛋白紫杉醇 400mg d1,8 + 卡铂 400mg d1,ivgtt,q3w。4周期后左肺上叶病灶较前明显缩小,疗效评价为PR。于2020-09-15起,予以患者免疫单药维持治疗至今,方案为:替雷利珠单抗 200mg,ivgtt,q3w,疗效维持PR。治疗期间出现2级骨髓抑制(白细胞/中性粒细胞减低),考虑与化疗药物相关性较大。

病例一总结
本例患者为左下肺鳞癌术后复发(rT3N2M0),予以患者替雷利珠单抗联合白蛋白紫杉醇及卡铂抗肿瘤治疗4周期后病灶明显缩小,疗效评估达到PR,后予以替雷利珠单抗单药维持治疗至今,疗效维持在PR,治疗过程中未监测到明显的免疫治疗相关不良反应,药物安全性良好,患者耐受性良好。

病例二:鳞癌新辅助治疗
病例二基本情况
一般资料:患者男性,51岁。
主诉:咯血5天。
现病史:患者5天前无明显诱因出现咯血,咯4-5口鲜红色血,第二次咯血量约100mL,一天内总咯血约300mL。患者于当地医院就诊,行肺部CT提示右侧肺炎,遂于我院急诊就诊,行肺部CT平扫提示:左肺上叶肿块,伴左肺上叶阻塞性炎症,肺癌首先考虑,建议穿刺活检。
既往史:既往体健,否认慢性病史。
个人史/家族史:60包年吸烟量,未戒烟;否认饮酒史;否认家族性遗传病史。
查体:全身浅表淋巴结未及肿大,右肺呼吸音清,左上肺呼吸音弱,左肺可闻及湿性啰音,无胸膜摩擦音。余查体未见明显异常。
ECOG PS评分:0-1分。
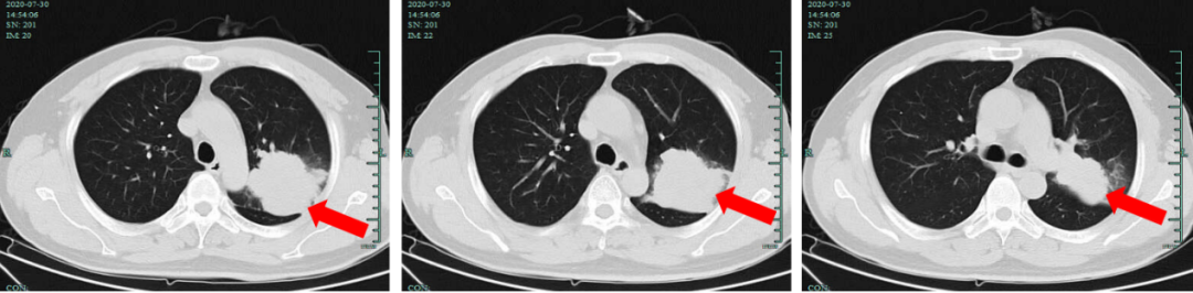
胸部CT平扫(2020-07-24):左肺上叶肿块,伴左肺上叶阻塞性炎症,肺癌首先考虑,建议穿刺活检。
纤维支气管镜活检(2020-07-30):(左上上支开口活检)鳞状细胞癌。免疫组化:CK7(-), P40(+), TTF-1(-), CK5/6(+), Napsin A(-)。
全腹增强CT、颅脑MR、 骨骼ECT:未见明显转移征象。
诊断:1. 左肺鳞癌(cT3N2M0,IIIB期);2. 左肺上叶阻塞性炎症。

图7:2020-07-30,基线期胸部增强CT

图8:2020-07-30,基线期纤维支气管镜
病例二诊治经过
第一阶段:替雷利珠单抗+化疗:PR
经MDT会诊后,患者左肺病灶较大,胸外科建议行新辅助治疗后再行手术治疗。经患者充分知情同意并签署同意书后,于2020-08-12起,予以患者免疫联合化疗治疗,方案为:替雷利珠单抗 200mg d1 + 白蛋白紫杉醇 400mg d1,8 + 卡铂 500mg d1,ivgtt,q3w。2周期后左肺上叶病灶较前明显缩小,疗效评价为PR,予以转入胸外科行手术治疗。在胸外科等待手术过程中自行服用草药,化验发现肝转氨酶升高近5倍,给予护肝治疗后好转,不考虑免疫相关性肝炎。

第二阶段:手术治疗:pCR
患者于2020-11-17行左上肺癌根治术(左上肺叶切除+纵隔淋巴结清扫术),手术顺利,术后病理提示左上肺靶病灶及周围肺组织、支气管旁淋巴结、5/7/8/9/10组淋巴结均未见癌组织,疗效达到pCR。
术后病理(2020-11-20):(左上叶)肺支气管黏膜慢性炎,未见癌组织;周围肺组织纤维组织增生伴灶状坏死,间质慢性炎细胞浸润,间质及肺泡腔内见泡沫细胞聚集,伴异物巨细胞反应,综合考虑为治疗后改变;支气管旁淋巴结未见转移癌(0/10);(5组)淋巴结2枚,(7组)淋巴结1枚,(8/9组)淋巴结2枚,均未见癌转移;(10组淋巴结)为纤维血管脂肪组织。
病例二总结
本例患者为左肺鳞癌(cT3N2M0,IIIB期),由于病灶较大、咯血症状较重,经MDT会诊后,先予以“替雷利珠单抗+白蛋白紫杉醇+卡铂”新辅助治疗,2周期后靶病灶明显缩小,疗效达到PR。患者顺利行左上肺癌根治术(左上肺叶切除+纵隔淋巴结清扫术),手术顺利,术后病理未检测到癌组织,疗效达到pCR。治疗过程中未见明确免疫相关不良反应,安全耐受性良好。

专家点评
相较传统含铂双药化疗,靶向和免疫治疗可为NSCLC患者带来更高的疾病缓解率。对于晚期鳞状NSCLC患者,单纯靶向药物疗效有限,免疫治疗近年来成为新的治疗希望。在2020年ASCO大会上公布的、针对我国自主研发的PD-1抗体单抗——替雷利珠单抗在一线治疗晚期鳞状NSCLC的RATIONALE 307研究数据显示[1],替雷利珠单抗联合紫杉醇/白蛋白紫杉醇+卡铂方案,中位随访8.6个月,疾病进展风险分别降低48%和52%,均优于KEYNOTE-407研究[注1]中44%的降低比例。对比传统化疗方案,替雷利珠单抗联合紫杉醇/白蛋白紫杉醇+卡铂方案能够显著提升患者无进展生存时间(7.6个月 vs 5.5个月)、提高患者的客观缓解率(ORR)(72.5% / 74.8% vs 49.6%)、改善患者的持续缓解时间(DOR)(8.2 / 8.6个月 vs 4.2个月),且患者整体安全性、耐受性良好,获益显著。
基础研究显示,替雷利珠单抗经基因工程改造优化了Fc段,可以最大限度地减少与巨噬细胞上FcγR 的结合,从而消除抗体依赖的细胞吞噬作用(ADCP)效应,避免了因活化T细胞耗竭而影响抗肿瘤效应。同时,替雷利珠单抗的Fab段具有独特结合位点,可以较为持久地阻断PD-1与PD-L1的结合,降低脱靶效应[2,3],独特的结构优势和高度的亲和力或能使替雷利珠单抗拥有更持续、更强劲的抗肿瘤效应。
对于本期病例1的晚期鳞状NSCLC患者,经4周期替雷利珠单抗联合化疗治疗后,获得了稳定的PR疗效,此后予以替雷利珠单抗单药维持治疗,至今疗效维持在PR,患者的预后生存得到良好保障。
对于病灶较大的晚期鳞状NSCLC患者,术前新辅助治疗有望使患者获得更好的手术效果。本期病例2中,患者在初始接受替雷利珠单抗联合化疗治疗2周期后,病灶显著缩小,疗效达到PR,成功进行根治性手术治疗,最终治疗效果达到pCR,获得了一定程度上的“治愈”。
本期2例患者均为鳞状NSCLC,在经过替雷利珠单抗联合化疗治疗后,均获益匪浅,体现了替雷利珠单抗迅速、持久的抗肿瘤效应。目前,国家药品监督管理局(NMPA)已先后正式受理了替雷利珠单抗联合化疗用于治疗一线鳞状和非鳞状NSCLC患者的新适应症上市申请,适应症获批指日可待,而替雷利珠单抗联合含铂双药化疗新辅助和辅助治疗可切除NSCLC的Ⅲ期临床研究(RATIONALE 315)也正在进行中,结果值得期待,未来或有望在肺癌领域全面开花,为我国晚期肺癌患者带来全面获益。
参考文献:
[1] 王洁等, RATIONALE 307: 替雷利珠单抗联合化疗对比单纯化疗一线治疗晚期鳞状非小细胞肺癌患者的3期研究. 2020 ASCO会议论文.
[2] Dahan R, et al. FcγRs Modulate the Anti-tumor Activity of Antibodies Targeting the PD-1/PD-L1 xis. Cancer Cell. 2015;28(3):285-95.
[3] Zhang T, et al. The binding of an anti-PD-1 antibody to FcγRΙ has a profound impact on its biological functions. Cancer Immunol Immunother. 2018;67(7):1079-1090.
[注1] KEYNOTE-407研究:中位随访7.8个月,帕博利珠单抗联合化疗组疾病进展风险降低44%。