局部晚期食管癌患者应用新辅助免疫联合化疗2周期,术后病理即达pCR!
对于有手术切除机会的局部晚期食管癌患者来说,指南推荐术前应用新辅助治疗,目的是为后续的手术创造更佳的操作条件、减少手术创伤等,从而使患者获益。在新辅助更优方案的探索上,免疫检查点抑制剂不断为医患双方带来惊喜。本期我们将分享一例局部晚期食管癌患者接受新辅助免疫联合化疗2周期、术后病理即达pCR的病例,为局部晚期食管癌新辅助治疗带来更多启发!

张积广 教授 医学博士
福建省立医院胸外科 副主任医师
福建省卫生计生中青年骨干人才
从事肺部肿瘤的临床和科研相关工作
临床专注单孔胸腔镜肺叶切除、肺段切除等相关肺部肿瘤疾病诊治
科研主要从事肺癌发病机制的研究
主持省厅级科研项目3项
以第一作者发表sci论文4篇
基本情况
一般资料:患者男性,56岁。
主诉:进行性吞咽困难1个月余伴呕吐、声嘶。
病史:患者一个月前无明显诱因出现进食阻塞、吞咽困难,伴呕吐、声嘶,并逐渐加重,无畏冷、发热,无胸闷气促,无头晕、头痛,无心悸、胸痛,无腹痛、腹胀等不适。外院CT:食管中上段恶性肿瘤;胃镜:食管距门齿24-30cm,鳞癌。
查体:心肺未见异常,双侧锁骨上未触及明显肿大淋巴结。
个人/家族史:无特殊。
辅助检查:
颈部淋巴结超声:未见肿大淋巴结。
腹部超声:未见转移灶。
颅脑MRI:未见转移灶。
鳞状细胞癌相关抗原(SCC):8.44 ng/mL 、癌胚抗原(CEA) :9.66 ng/mL 。
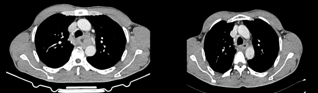
胸部CT:食管中上段部分管壁不规则增厚,考虑食管癌;邻近周围多发肿大淋巴结,与气管、左主支气管及主动脉分界不清。

诊断
1.食管中段溃疡型鳞状细胞癌(pT4bNXM0 IVA期)
治疗经过及疗效评价
新辅助免疫联合化疗:
替雷利珠单抗200mg,d1+白蛋白紫杉醇400mg,d1+卡铂0.6g,d1,2周期。
复查CT:食管中上段部分管壁不规则增厚,较前缩小,邻近周围多发小至稍大淋巴结,较前缩小。邻近气管及左主支气管受压已基本缓解,病灶向后与主动脉前壁分界不清。

手术治疗:
手术方案:右进胸翻身三切口胸腔镜下食管上段癌切除+食管胃底左颈部吻合+胸腹二野淋巴结清扫术。
手术中见:肿瘤位于食管上段,直径约4cm,长约7cm,局部周围组织水肿粘连明显,界限欠清,呈化疗后改变,侵及外膜,累及奇静脉及气管、左右主支气管,降主动脉外膜,食管旁多发淋巴结肿大。
术后病理:pCR。
病理结果:(食管及胃底)见一巨型瘢痕收缩区,见纤维组织增生伴玻璃粘液样变,少量慢性炎症炎症细胞浸润及多核巨细胞反应,结合临床病史,符合化疗后改变。手术标本上、下切端及另送(上切端)均未见癌浸润。找到(颈部左喉返神经旁)淋巴结2个,(左喉返神经旁)淋巴结3个,(右喉返神经旁)淋巴结4个,(胃左动脉旁)淋巴结6个,(贲门旁)淋巴结3个,(隆突下)7个,呈反应性增生。
术后食管造影:

病例总结
本例患者为56岁男性,诊断为食管鳞状细胞癌(pT4bNXM0,IVA期),采用新辅助替雷利珠单抗联合化疗2周期后肿瘤退缩明显,顺利接受手术治疗,术后病理pCR。

林兴 副教授 主任医师
福建医科大学研究生导师
福建中医药大学研究生导师
福建省中西医整合肿瘤专业委员会常委
福建省抗癌协会科普分会常委
福建省抗癌协会肿瘤转移专业委员会委员
长期从事临床、教学和科研工作。在临床医疗中,擅长食管癌、肺癌、贲门癌、纵隔肿瘤、肺大疱、手汗症等胸外科疾病的诊治,积极开展多项新技术,开展的胸腔镜等微创手术在省内保持领先地位;科研方面,主持多项省自然科学基金研究项目,参与的科研项目多次获得省科技进步奖(含一等奖),参与《肺癌治疗学》等专著的编写;发表多篇SCI论文,担任 《Journal of International Medical Research》、《IEEE Transactions on Medical Imaging》等SCI杂志审稿人。
专家点评
对于可切除的局部晚期食管癌患者而言,新辅助以同步放化疗为主,临床医生可选择的药物仅为紫杉醇、顺铂、氟尿嘧啶等传统化疗药物,但其所带来的生存获益远不能满足临床需求。免疫检查点抑制剂的出现正在逐渐改变这一治疗格局。尤其是替雷利珠单抗在食管癌一线治疗中的探索已经崭露头角。
RATIONALE 205研究[1]结果已经在今年6月率先发表于国际权威杂志Clinical Cancer Research。这一优异的表现主要得益于替雷利珠单抗优化的结构,通过对Fc段改造,去除了与FcγR的结合,避免了抗体依赖性细胞吞噬(ADCP)效应导致的T细胞消耗,始终保持T细胞杀伤作用,显著增强抗肿瘤活性,具有更持久杀伤肿瘤效应[2-3]。
而作为新辅助治疗,本例局部晚期食管癌患者成功的治疗经验也为临床医生和患者双方都带来了很大的信心和鼓舞。相信通过在临床取得越来越多的优异成绩,未来免疫检查点抑制剂作为新辅助方案可以造福更多食管癌患者!
参考文献:
[1]Xu JM,et al.Clin Cancer Res.2020 Sep 1;26(17):4542-4550.
[2]Lee A, Keam SJ. Drugs. 2020;80:617-624.
[3]Dahan R, Cancer Cell. 2015;28(3):285-295.