晚期结肠癌患者化疗联合抗血管治疗进展后,下一步治疗何去何从?
实体瘤的发生和发展过程中,血管生成扮演着重要的角色。因此在抗肿瘤治疗过程中,抗血管生成治疗发挥了重要作用。随着贝伐珠单抗的临床普及,既往接受过抗VEGF药物的患者越来越多。那么疾病进展后还是否可以继续抗血管生成治疗?本次分享一例肠癌患者,术后辅助治疗后肺转移,前线使用化疗联合贝伐珠单抗进展后,呋喹替尼仍显示出良好的肿瘤控制作用。
病例介绍
基本信息
患者女性,38,于2019年4月主因“直乙交界肠癌术后4年余,肺转移8月余”入院。家族中父亲、姑姑为癌症患者。
诊疗经过
初始可手术,术后需辅助治疗
2015年1月患者因“排便困难,腹痛1月余”就诊于当地医院。查肠镜提示直乙交界处肠癌。CEA 16ng/ml。腹部CT示直乙交界肠癌可能性大,累及肠壁全层,周围小淋巴结转移待除外,结肠扩张梗阻(图1)。
于2015年2月10日行腹腔镜辅助高位直肠癌前切除+近侧结肠造瘘术。术后病理:(直乙交界结肠癌)镜下为中分化腺癌,浸润肠壁全层达外周纤维脂肪组织,神经纤维见癌累及,未见明确脉管内癌栓,两端切缘干净,淋巴结见转移癌(9/23)。免疫组化:MLH1(+),MSH2(+),MSH6(+),COX-2(+),PMS2(+),HER2(2+)。术后1月查CEA 3.14ng/ml(正常)。
于2015年3月至2015年4月行XELOX方案化疗2周期,具体用药为:奥沙利铂160mg ivdrip d1,卡培他滨 2.0口服d1~14;q3w。患者因呕吐反应较大,第2疗程自行停服卡培他滨。故于2015年5月至2015年6月行mFOLFOX6方案化疗3周期,具体用药为:奥沙利铂100mg d1 +亚叶酸钙 0.5g d1 + 5-Fu 0.5g IV、4g CIV 46h,q14d。3周期后(术后4月余)复查核磁未见复发转移。行同期放化疗,2015年7月6日至2015年8月7日行盆腔放疗(IMRT 6MV DT45Gy/25F),同步给予CF方案化疗2周期。放疗结束后继续mFOLFOX6方案化疗8周期,完成术后治疗。
2015年12月8日复查胸、腹CT术区未见明确异常,吻合口以下水平肠管壁增厚,考虑炎症改变;肝脏未见转移;胸部未见明确异常(图1)。

复查发现远处转移,更换治疗方案
2018年8月17日复查胸腹CT示术区未见占位;腹膜后多发淋巴结肿大,考虑转移。双肺多发结节影,考虑转移瘤可能(图2)。肝S4段结节影,不典型血管瘤,与转移瘤鉴别。CEA 128.6 ng/ml。2018年8月至12月行“贝伐珠单抗+FOLFIRI”方案化疗8周期,具体用药为伊立替康230mg d1,CF 0.5 d1,5-Fu 0.5 iv d1、5-Fu 3.0 CIV46h +贝伐珠单抗200mg d1;q2w。期间复查胸腹CT:双肺多发转移瘤缩小(图3)。CEA持续下降。


3月后疾病再进展,呋喹替尼显疗效
2019年3月25日复查胸部CT示双肺多发转移瘤,较前增大(图4)。CEA 36.6 ng/ml。4月就诊我院。查腹部MR:未见明确肿瘤残留或复发征象,肝脏未见转移。病理会诊:(直乙交界)结肠腺癌(中分化),侵犯全层及周围纤维脂肪组织,累及神经束,未见明确脉管癌栓,淋巴结转移癌(7/19),并见癌结节2个。免疫组化:MLH1(+),MSH2(+),MSH6(+),COX-2(+),PMS2(+),HER2(2+)。基因检测:MSS,KRAS突变型。CEA 51 ng/ml。

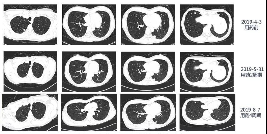
于2019年4月5日给予呋喹替尼5mg d1~21,每28天1个周期,共4周期。患者耐受良好,1级口腔黏膜炎,无高血压、蛋白尿、手足皮肤反应、肝肾功能异常等不良反应。2周期复查:CEA下降至17.4 ng/ml,胸部CT示肺转移灶较前明显缩小,疗效评价部分缓解(PR)。4周期复查:CEA降至11.8 ng/ml,胸部CT 较前无显著改变,疗效评价为维持PR(图5)。

专家点评
这是一例肠癌伴肠梗阻的患者,术后分期较晚且具有高危因素。术后辅助治疗对于减少复发风险,延长无病生存期(DFS)至关重要。本例患者术后给予氟尿嘧啶类药物联合奥沙利铂辅助化疗,同时由于淋巴结存在转移给予局部放疗,DFS达到42个月。2018年因肺转移再次进行治疗,选用了氟尿嘧啶联合伊立替康及贝伐珠单抗方案,用药期间肺转移灶有所缩小,但停药3个月后疾病再次进展。对于已经接受过氟尿嘧啶、奥沙利铂、伊立替康治疗的晚期肠癌患者,CSCO指南[1]以1A类证据级别Ⅰ级推荐呋喹替尼治疗。推荐的依据来源于FRESCO研究[2]。
FRESCO是一项中国的多中心、随机、双盲、安慰剂对照、Ⅲ期临床试验,是迄今为止中国最大规模的针对晚期结直肠癌的关键性临床研究,国内28家研究中心参与其中,旨在评估呋喹替尼在二线及以上标准治疗失败后的转移性结直肠癌患者中的疗效和安全性。416例经治患者按2∶1比例随机给予呋喹替尼(n=278)+最佳支持治疗或安慰剂+最佳支持治疗(n=138),主要终点是总生存(OS),次要终点包括无进展生存(PFS)、客观缓解率(ORR)、疾病控制率(DCR)。结果显示,呋喹替尼可显著延长患者的中位OS,两组的中位OS分别为9.3个月和6.57个月(HR 0.65,P<0.001),死亡风险下降35%。两组的中位PFS分别为3.71个月和1.84个月(HR 0.26,P<0.001),疾病复发风险降低74%。两组的ORR分别为4.7%和0(P=0.012), DCR分别为62.2%和12.3%(P<0.001)。PFS亚组分析显示,无论患者既往是否使用过抗VEGF治疗,呋喹替尼组PFS均能显著获益(接受抗VEGF治疗HR 0.24,P<0.001;未接受抗VEGF治疗HR 0.26,P<0.001)。本人认为其理论基础在于贝伐珠单抗分子量较大,无法穿透细胞膜进入胞内,其作用位点在细胞膜外的VEGF上。小分子的酪氨酸激酶抑制剂,因其分子小,可以在胞内与VEGFR位点结合,抑制同样的信号传导。呋喹替尼主要与VEGFR1、2、3结合,而这三个位点已在多个研究中被证实对肿瘤血管生成起重要作用。并且临床前研究显示,在所筛选的253个激酶中,呋喹替尼对VEGFRs表现出高度选择性[3]。
本例患者前线使用贝伐珠单抗,疾病进展后更换为呋喹替尼仍表现出良好的抗肿瘤作用,使用呋喹替尼2周期后,患者CT评价肺部转移灶达到PR,另外CEA下降明显,提示疾病得到控制,并且除1级口腔黏膜炎外,无高血压、蛋白尿、手足皮肤反应、肝肾功能异常等不良反应,患者生活质量也得以保证。
参考文献
[1] 中国临床肿瘤学会(CSCO)结直肠癌诊疗指南, 2019版.
[2] Li J, Qin S, Xu R, et al. Effect of Fruquintinib vs Placebo on Overall Survival in Patients With Previously Treated Metastatic Colorectal Cancer: The FRESCO Randomized Clinical Trial[J]. JAMA, 2018,319(24):2486–2496.
[3] Sun Q, Zhou J, Zhang Z, et al. Discovery of fruquintinib, a potent and highly selective small molecule inhibitor of VEGFR 1, 2, 3 tyrosine kinases for cancer therapy[J]. Cancer biology & therapy, 2014,15(12):1635-1645.