靶向CDK4/6抑制剂一线治疗HR+原发耐药内脏转移乳腺癌患者,假性进展后达到PR,且PFS已超过20个月
随着靶向治疗时代的开启,对于HR+/HER2-晚期乳腺癌,使用靶向CDK4/6抑制剂联合内分泌治疗可以有效延长患者的无进展生存期(PFS),甚至转化为总生存期(OS)获益,相比化疗显著提升患者的生活质量。因此,2020版CSCO BC指南I级推荐靶向CDK4/6抑制剂联合内分泌治疗作为一线优选。本文分享一例绝经后的HR+/HER2-的局部晚期乳腺癌患者,术后辅助治疗两年内复发,伴有肺、骨和胸壁转移,一线接受靶向CDK4/6抑制剂哌柏西利联合内分泌治疗,3个月后出现假性进展,继续应用靶向CDK4/6抑制剂哌柏西利联合治疗方案,疗效达到PR,截止2020.11无疾病进展生存(PFS)已超过20个月。

黄伟炜 教授
福建省肿瘤医院 乳腺内科 主任医师
福建省医学会乳腺病学分会 副主任委员
福建省医师协会肿瘤内科医师分会 常委
福建省抗癌协会肿瘤内科治疗专业委员会 委员
CSCO乳腺癌专家委员会 委员
CSCO药物安全管理委员会 委员
中国抗癌协会乳腺癌专业委员会 青年委员
中国医药教育协会乳腺疾病专业委员会 委员
中国医师协会乳腺疾病培训专家委员会 委员
病例介绍
一般情况
患者,女,62,2017.3“发现左乳肿物1月”就诊当地医院。
影像学检查及穿刺活检
乳腺B超:左乳腺外上肿物3*2厘米,左侧腋窝融合淋巴结3*3厘米。
外院左乳穿刺病理:浸润性癌,ER 95%+,PR 20%+,CerbB-2 +,Ki-67 25%+。左侧腋窝淋巴结细针穿刺:腺癌。分期cT2N2M0 ⅢA期 。
当地医院手术及辅助治疗
因患者拒绝新辅助治疗,2017-04-02行“左乳癌改良根治术”。病理:(左乳外上象限)浸润性导管癌II级(肿物大小2.5*2cm),脉管见癌栓,标本乳头未见癌。同侧腋窝LN11/16见转移癌。免疫组化示:ER 95%+,PR 10%+,CerbB-2 2+,Ki-67 35%+。FISH检测HER2基因扩增阴性。
术后于2017.5.23-2017.11.7予以EC-T方案化疗8周期。此后给予他莫昔芬内分泌治疗。
2018.1起予他莫昔芬内分泌治疗。2018.1-3期间予补充放疗,以左胸壁为CTV-T(4500cGy/25F)、左锁骨区淋巴引流区为CTV-N(5000cGy/25F)。
复发转移后我院治疗情况
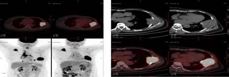
2019.3.13因胸壁疼痛,彩超复查发现胸壁转移。PET-CT:考虑右侧颈部、纵膈、双肺门、右肺下叶转移。右侧肩胛骨转移。左侧胸壁转移伴有肋骨病理性骨折(胸壁肿物5.8*4.5cm,SUV17.2)。DFS为1年11个月。

2019.3行左侧胸壁、右侧颈部活检,病理:(左胸壁)浸润性癌(右颈4区)转移性低分化癌。IHC:ER 90%+,PR 15%+,CerbB-2 2+,Ki-67 30%+,GATA3 +。FISH检测HER2基因扩增阴性。
一线治疗
因骨痛,放疗科会诊,考虑到肺转移灶可能放射受量大,所以放疗暂缓,骨痛经止痛处理好转。
2019.4.1起配合哌柏西利+AI治疗,给予双磷酸盐保骨。治疗期间有I度白细胞低下,无肝功能异常等,无需对症处理,白细胞低下可自行缓解,按计划完成治疗,哌柏西利无需减量。
治疗半个月,体表肿物变平,疼痛缓解,无需止痛处理。
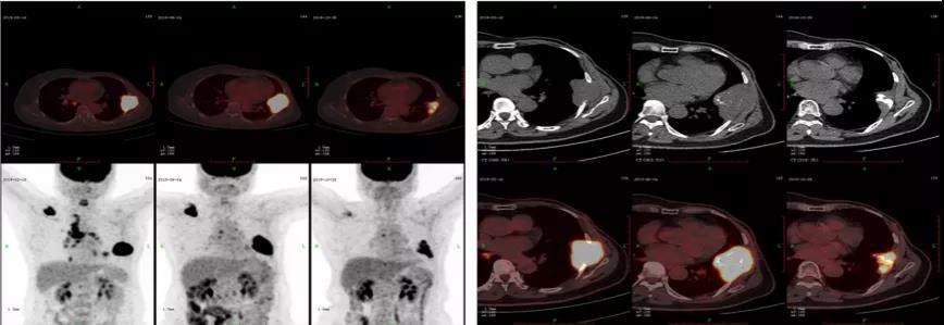
治疗接近3个月的复查:2019.6.24 PET-CT首次复查评估,考虑右侧颈部、纵膈、双肺门、右肺下叶转移灶退缩,SUV值下降。右侧肩胛骨转移、左侧胸壁转移伴有肋骨病理性骨折病灶变大,SUV值下降(胸壁肿物7.7*4.6cm,SUV12.4)(原胸壁肿物5.8*4.5cm,SUV17.2)。

2019.6左侧胸壁活检:见腺癌浸润。IHC:ER 75% 强+,PR 60% 弱+,CerbB-2 2+,Ki-67 1%+。FISH检测HER2基因扩增阴性。
因穿刺病理活检未见淋巴细胞浸润,未见坏死组织,继续哌柏西利+AI治疗,给予二磷酸盐保骨。
患者治疗后全身其余病灶退缩良好,胸壁转移的肿物体表退缩明显,但是向内部增大,鉴于Ki67数值极低,肿瘤增殖活性明显受到抑制,肿瘤影像学增大与增殖活性受抑制有不一致的地方,无法给予明确的肿瘤进展结论。与患者沟通后在密切观察基础上审慎继续使用哌柏西利+AI治疗,此后密切定期CT平扫,胸壁肿物逐渐缩小。2019.4肿物5.8*4.5cm;2019.6肿物7.7*4.6cm;2019.7肿物5.2*3.5cm;2019.9肿物4.3*2.8cm。
2019.10.28 PET-CT复查评估,右侧颈部、纵膈、双肺门、右肺下叶转移灶基本都退缩,SUV值接近正常。右侧肩胛骨转移、左侧胸壁转移伴有肋骨病理性骨折病灶变小,SUV值下降(胸壁肿物3.9*2.5cm,SUV3.1)。
截止2020.11最后一次复查,疗效持续PR,PFS已超过20个月。

病例小结
患者为绝经后女性,首诊局部晚期,luminal A HER2阴性乳腺癌,术后接受规范辅助治疗,他莫昔芬维持治疗,DFS 1年11个月。患者复发表现为肺转移、骨转移及左侧胸壁转移(5.8*4.5cm)。胸壁肿物的穿刺活检免疫组化提示为HR+/HER2-,考虑到患者无内脏危象,内分泌治疗不敏感(DFS不足两年,ER/PR高表达),一线治疗优选靶向CDK4/6抑制剂哌柏西利+AI。治疗半个月后,胸壁体表肿物明显缩小,疼痛缓解,仅有轻度的白细胞计数下降。治疗三个月后,PET-CT复查见胸壁肿物向胸腔内增大,但未见淋巴细胞浸润和坏死组织,继续予以靶向CDK4/6抑制剂哌柏西利+AI,胸部肿物逐渐缩小,考虑为肿瘤假性进展(闪耀现象),截止最后一次复查,患者病灶持续缓解状态中,PFS达到20个月,疗效为PR。
专家点评

刘健 教授
福建省人大常委、民进福建省委副主委
福建省肿瘤医院乳腺肿瘤内科行政主任、主任医师、硕导、省保健委专家
福建省医学会乳腺病学分会 主任委员
福建省医师协会肿瘤内科医师分会 主任委员
中国医师协会乳腺疾病专家培训委员会 副主任委员
中国初级保健智慧与健康基金会乳腺疾病分会 副主任委员
福建省红十字会大病救助基金监委会 副主任委员
中国抗癌协会乳腺癌专业委员会 常务委员
中国临床肿瘤学会(CSCO)乳腺癌专业委员会 常务委员
中国临床肿瘤学会肿瘤心脏病学专家委员会 常务委员
《医学参考(乳腺频道)》 常务编委
国家卫生计生委合理用药专家委员会乳腺肿瘤组 委员兼秘书
国家肿瘤质控中心乳腺癌专家委员会 委员
国家抗肿瘤药物临床应用监测专家委员会 委员
中华医学会肿瘤学分会乳腺学组 委员
中华预防医学会妇幼保健分会乳腺学组 委员
《JCO中文版乳腺肿瘤专刊》《中华内分泌外科杂志》《肿瘤学杂志》《欧洲肿瘤年鉴中文版(乳腺癌)》《中华肿瘤杂志》《临床肿瘤学杂志》《中国肿瘤》 编委
这是一例首诊局部晚期的绝经后女性患者,在手术和术后辅助治疗后复发,DFS 1年11个月。患者胸壁肿物穿刺活检病理呈激素受体阳性,因患者是在术后辅助治疗2年内复发,属于原发性内分泌耐药,且合并有内脏转移,因此一线使用内分泌联合CDK4/6抑制剂治疗获益会更大。患者接受哌柏西尼联合依西美坦治疗后半个月,内转移灶取得明显缓解,但治疗3个月后复查提示胸壁肿物增大,再次空心针病理活检示转移灶未见淋巴细胞浸润和坏死组织,Ki-67仅 1%阳性,考虑假性进展,遂继续应用哌柏西利联合依西美坦治疗,1个月后胸壁肿物逐渐缩小,疗效评价PR,迄今PFS已超过20个月。在本例患者的治疗过程中,有以下几点体会:
1. 对于既往接受过他莫昔芬辅助治疗失败的HR+乳腺癌患者,一线优选靶向CDK4/6抑制剂联合AI
CDK4/6抑制剂是治疗HR+/HER2-晚期乳腺癌领域的又一个里程碑。CDK4/6抑制剂联合内分泌治疗使得几乎所有HR+/HER2-晚期乳腺癌的临床亚组获益,这种疗法已成为HR+/HER2-晚期乳腺癌的一线标准治疗。PALOMA-2研究表明,CDK4/6抑制剂联合来曲唑相比单药来曲唑显著提高了无进展生存(PFS),联合组PFS为24.8个月,内分泌单药组PFS为14.5个月(HR=0.58,P<0.001),其中43%的患者未接受过内分泌治疗,47%的患者接受过辅助TAM治疗。另外,PALOMA-2研究中内脏转移亚组分析显示,CDK4/6抑制剂联合内分泌治疗较单纯内分泌治疗能够显著延长内脏转移亚组患者的PFS。在内脏转移亚组中,哌柏西利联合AI一线治疗内脏转移患者的PFS为19.3个月,AI单药组的PFS为12.9个月,联合组疾病进展风险下降37%(P<0.01),而在肺转移亚组中,联合治疗组的PFS为22.2个月,AI单药组的PFS为13.6个月,联合组疾病进展风险下降41%(P<0.01)。本例患者在接受术后TAM辅助治疗2年内复发,为原发内分泌耐药且伴有内脏转移和骨转移的HR+HER2-晚期乳腺癌患者,转移灶包括胸壁转移、骨转移和肺转移,无内脏危象,一线首选CDK4/6抑制剂联合AI治疗半个月后胸壁体表转移灶明显缩小。
2. 靶向CDK4/6抑制剂哌柏西利的安全性良好,不良反应可耐受
在PALOMA-2研究中,90.3%使用靶向CDK4/6抑制剂哌柏西利联合来曲唑治疗的患者能够坚持使用联合治疗方案。哌柏西利治疗过程中的最常见不良反应为中性粒细胞减少和白细胞减少,与化疗对造血系统的影响不同,哌柏西利造成的中性粒细胞和白细胞减少的发生时间短暂且可逆,患者能够自行恢复,相关并发症比如发热性中性粒细胞减少的发生率很低(1.8%)。另外,在2020年ASCO公布的一项MADELINE真实世界研究中,评估了靶向CDK4/6抑制剂哌柏西利联合内分泌治疗HR+/HER2-晚期乳腺癌患者后中性粒细胞减少对患者QoL的影响。结果显示,在整个治疗过程中,相比于未出现中性粒细胞减少的患者,并没有表现出QoL的下降。此外,中性粒细胞减少的发生率也随治疗时间延长下降。无论患者是否出现中性粒细胞减少,疼痛和疲劳的症状均较轻,且整个治疗过程中没有太大的变化。本例患者接受治疗期间仅出现了I度的白细胞下降,无肝功能异常,哌柏西利无减量,白细胞低下自行缓解,按时完成治疗疗程。
3. 靶向CDK4/6抑制剂治疗过程中,特殊情况下可能出现假性进展,应仔细鉴别,避免匆忙停药
假性进展是使用免疫治疗患者的常见现象,是指原发肿瘤体积增大后肿瘤消退。假性进展的一个重要特征是肿瘤组织中各种免疫细胞的浸润和募集。靶向CDK4/6抑制剂可能通过增强肿瘤抗原呈递和抑制调节性T细胞的增殖引发抗肿瘤免疫。这些效应可能促进细胞毒性T细胞介导的肿瘤细胞清除,并引起假进展。
本例患者在接受CDK4/6抑制剂联合内分泌治疗后首次复查时,影像学显示左胸壁转移灶一过性扩大,病理结果显示肿瘤增殖指数降低,继续CDK4/6抑制剂联合内分泌治疗一个月后影像学复查显示转移灶缩小,临床表现改善,这些现象表明患者可能为肿瘤假性进展,机理不明,目前尚此类报告,因此本病例报告极具临床参考价值,且于2020年8月正式发表于OncoTargets and Therapy。本病例给我们带来的启示是,对于哌柏西利联合内分泌治疗后局部病灶与全身其他部位病灶退缩不一致时,应进一步进行病理活检以排除假性进展,避免匆忙变更治疗方案。
参考文献
1. Finn RS, Crown JP, Ettl J, et al. Efficacy and safety of palbociclib in combination with letrozole as first-line treatment of ER-positive, HER2-negative, advanced breast cancer: expanded analyses of subgroups from the randomized pivotal trial PALOMA-1/TRIO-18. Breast Cancer Res. 2016 Jun 28;18(1):67.
2. Finn RS, Martin M, Rugo HS, et al. Palbociclib and Letrozole in Advanced Breast Cancer. N Engl J Med. 2016 Nov 17;375(20):1925-1936.
3. The effect of neutropenia on patient-reported functioning and quality of life(QOL) among palbociclib participants of the MADELINE study. 2020 ASCO, abs 149.
4. Huang W, Li C, Chen M, Lin D, Wu F, Chen X, Li N, Wang L, Liu J. Pseudoprogression After Palbociclib with Aromatase Inhibitors Treatment in Metastatic Breast Cancer. Onco Targets Ther. 2020 Aug 5;13:7785-7792.