肿瘤填满她双肺的90%,仅因NTRK融合突变,神奇靶向药竟让她三年无癌!
2018年11月26日,整个医疗界和癌友圈都为一款FDA新批准上市的抗癌药物沸腾,这就是全球首个不区分肿瘤来源用于初始治疗的靶向药--Vitrakvi ®(拉罗替尼,larotrectinib),用于成人和小儿具有神经营养受体酪氨酸激酶(NTRK)基因融合的实体瘤治疗。
这在肿瘤治疗史上是一个振奋人心的里程碑。
而自从它出现,已经给一个又一个家庭带来了希望。而现在,这种新型药物每年可以帮助成千上万的人!
肿瘤填满她双肺的90%,生死在一线间
2014年的秋天,Nichol Miller被诊断出腿部患有高级别的软组织肉瘤之后,她在波特兰家附近的俄勒冈健康与科学大学医院接受了广谱化疗和手术。两种治疗都不能阻止快速扩散的癌症。
她的医生重新检查了对她的肿瘤样本进行的下一代基因组测试的结果。他们发现她的肿瘤有一个罕见的突变,称为NTRK基因融合-并告诉她在丹佛市进行针对该异常的药物的临床试验。2015年3月,米勒(Miller)是首位接受这种融合治疗的患者参加了该试验。那时,她坐在轮椅上,依靠补充氧气呼吸,因为肿瘤充满了90%的肺部。
检测到NTRK基因融合,才体验到生与死的不同
幸存者尼科尔·米勒(Nichol Miller)说:“检测到NTRK基因融合的测试才真正使生与死有所不同。”
在开始每天两次服用拉罗替尼的3天内,米勒可以坐起来并且完整地讲话;
一个月后,她呼吸完全正常了;
到了6个星期,她可以骑马了,情况一直都在不断地好转。
现在,她的随访扫描结果显示,在过去三年她都已经没有癌症的迹象!

图示分别为治疗前、治疗3周期第1天、治疗13周期第1天
目前她仍然使用这种药物,因为这个药没有引起很多副作用,米勒偶尔会出现轻度的身体疼痛-但是,只要它可以阻止癌症,她就可以继续服用该药物。
“检测到NTRK基因融合的测试真正改变了生与死之间的区别,”现年45岁的米勒(Miller)是三名少年的母亲,她现在在全国各地旅行,在癌症相关的会议上讲述抗癌故事。“这充分说明了拉罗替尼的神奇功效!

在NTRK基因扩增食管癌中,拉罗替尼具有抗肿瘤活性
除了上述谈到的米勒用拉罗替尼治疗软组织肉瘤的病例外,小编还要分享一则2020年4月份刊登在《The Oncologist》杂志上的NTRK基因扩增食管癌临床案例。

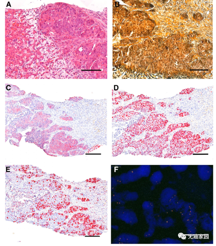
此名患者是一位71岁的男性,2018年12月感到吞咽障碍、伴有咳嗽、呼吸困难等症状,3个月内体重减轻20公斤,身体状况不佳,ECOG体力状况评分为3分(生活仅能部分自理,日间一半以上时间卧床或坐轮椅)。患者没有酗酒、吸烟史,也未得过肿瘤,食管胃十二指肠镜检查显示在食管中断有狭窄性食管癌,CT显示双侧肺转移,超声检查和CT显示多发性肝转移。食管肿瘤活检和经超声检查控制肝活检诊断确认。
经过FoundationOne CDx测试等常规组织学检查,确定患者为转移性鳞状细胞食管癌。测序结果中显示肿瘤组织中含有NTRK1基因突变,遂从2019年2月4日开始服用拉罗替尼治疗,患者接受2×100毫克的标准剂量,治疗期间未发生副作用。

患者常规组织学检查测序结果
患者治疗前于2019年1月4日完成螺旋CT扫描,起初显示出多处肺和肝转移。在治疗后评估ECOG体力状况评分为1,并且体重增加9公斤,能够离开医院且生活自理。2019年4月17日进行的随访活检检查(食管胃十二指肠镜检查)证实了患者的食管再无肿瘤。

患者食管支架治疗前用拉罗替尼及治疗后6周食管胃十二指肠镜检查结果
堪称天价的“治愈系”抗癌药拉罗替尼国内招募来袭
1 NEW:客观缓解率达71%,拉罗替尼迎战TRK融合肺癌
拉罗替尼(Larotrectinib)是一种具有中枢神经系统(CNS)活性且高度选择性的EMA和FDA批准的TRK抑制剂,在多种癌症中显示出79%的客观缓解率(ORR)和35.2个月的中位反应持续时间(DoR)。本次报告了接受拉罗替尼治疗肺癌患者的最新数据。
招募了14例转移性TRK融合肺癌患者:13例非小细胞肺癌和1例小细胞肺癌。11例NTRK1 融合,3例 NTRK3融合。7名患者发生了基线中枢神经系统CNS转移。患者平均接受了三种先前的治疗(范围1-5)。
结果显示:拉罗替尼的客观缓解率为71%:其中1例患者为完全缓解,9例患者为部分缓解,3例为疾病稳定,1例疾病进展。中枢神经系统转移患者的客观缓解率为57%。估计12个月的无进展生存PFS率为69%。
由此可见,拉罗替尼的耐受性良好,治疗中出现的不良事件主要为1~2级。
2 有效率达79%,不限癌种拉罗替尼攻克NTRK实体瘤
除了上述临床研究外,其实早在2020年美国癌症研究协会(AACR)虚拟年会上就更新了广谱抗癌药拉罗替尼治疗NTRK实体瘤的最新数据。
其中,NTRK融合组的中位缓解持续时间(DOR)为35.2个月,非融合组的DOR为3.7个月。融合组的中位无进展生存期(PFS)为28.3个月,非融合组的中位PFS为1.8个月。融合组的中位总生存期(OS)为44.4个月,非融合组的中位OS为10.7个月。融合组在中位DOR、中位PFS以及中位OS表现方面都优于非融合组。
治疗反应:NTRK融合组中64%的患者仍在继续治疗。
在肿瘤尺寸改变方面,融合组相比非融合组体现了较大的肿瘤大小的缩小。在ORR方面,融合组的ORR为79%,非融合组的ORR为1%,融合组的疗效显著优于非融合组。在最佳反应方面,融合组中CR率为24%,而在非融合组,CR率为0。从而可以看出融合组在疗效和最佳反应方面的表现都显著优于非融合组。
无癌家园临床招募
去年7月,拉罗替尼将在国内开展临床招募的信息公布后,引起了广泛的关注,经过半年多的审批流程,近日,广谱天价抗癌药拉罗替尼针对成人实体瘤和儿童实体瘤的两项试验终于正式在国内开始招募患者了!这意味着,国内的患者也终于有机会免费用上这款美国的抗癌“特药”!
适合患者:
通过分子学方法检测出NTRK1、NTRK2或NTRK3融合基因的局部晚期或转移性恶性肿瘤,必须接受过 适合其肿瘤类型和疾病分期的既往标准疗法失败后的患者(即将招满,想申请的火速联系医学部400-626-9916)
小编有话说
除了上述提到的拉罗替尼的惊艳治疗效果外,还有多种对抗癌症的新药、新技术已经被挖掘!若想了解更多国内外前沿癌症研究请持续关注无癌家园。
近年来,科学家们已经做出了相当大的努力来开发新药物、新免疫疗法攻克不同的癌症。我们期待着,越来越多的临床前/临床试验数据能够拼凑出一幅完整的拼图,充分展示出靶向药、PD-1/PD-L1治疗众多癌种的真正实力。
相关链接:最新数据公布!癌种罕见?病情缠绵难愈?NTRK融合患者试试拉罗替尼!
九月新药公布!覆盖五大癌症,十六款重磅抗癌新药免费用的机会来了!
抗癌奇兵!征服晚期实体瘤不是梦!五大泛癌种新药新技术开启长生存之路!
参考文献
https://www.curetoday.com/view/blowing-a-fuse-fighting-ntrk-gene-fusions-in-cancer