一例胶质瘤术后复发进展的治疗探讨
胶质瘤是最常见的原发性脑肿瘤,该病发病机制不明,预后较差,手术切除后容易复发,是神经外科医师倍感棘手的疾病。MDT是脑胶质瘤标准的诊疗模式。
河南省人民医院脑肿瘤MDT团队核心科室包括神经外科、放疗科、肿瘤内科、影像科、病理科等科室,旨在通过多学科的交流和讨论为脑胶质瘤患者制定目前医疗条件所能提供的最佳治疗方案。
目前的疫情给医学交流及广大患友带来了诸多不便。河南省人民医院的脑肿瘤MDT专家团队利用河南省人民医院互联智慧平台定期为医疗同道举办学术讲座及交流,并且为患者朋友线上会诊病例,答疑解惑。本公众号将连续推送精彩讲座及MDT病例讨论图文整理版,供大家参考。
本期病例由三门峡中心医院神经外科卢国奇主任团队提供。

本期论坛由默沙东和罗氏制药提供学术支持平台。
患者现病史:
患者XX,男,29,农民;
因突发抽搐12小时入院;
12小时前患者无明显诱因突发左手抽搐,伴左侧肢体无力,无恶心、呕吐,无胸闷、气短,无心慌、心悸,无意识丧失,无口吐白沫,于当地医院行甘露醇治疗,抽搐好转但左侧肢体无力未见明显好转。
患者体格检查:
神志清,头颅大小正常,眼球运动正常,双侧瞳孔等大等圆,直径2.5mm,直接对光反应灵敏,间接对光反应灵敏,双肺呼吸音粗,心律齐,未闻及杂音,腹软,肝脾肋下未触及,左侧肢体肌张力可,肌力4级,右侧肢体肌张力可,肌力5级,巴氏征阴性。
入院以来精神、睡眠、饮食欠佳,大小便正常,体重无明显减轻。
既往史:
16年因外伤致左耻骨鹰嘴骨折行手术治疗,具体不详;1年前因胶质瘤在2019年10月01日在郑大一附院行“脑胶质瘤切除术”。
个人史:
出生地:原籍,外地久居史:无。无血吸虫病疫水接触史。毒物接触史:无。生活:规律,否认治游史。吸烟史:无。饮酒史:无。
家族史:
婚育史、家族史:无特殊
诊疗经过:
1年前因胶质瘤在2019年10月01日在郑大一附院行“脑胶质瘤切除术”,术后病理示胶质母细胞瘤(WHO IV级),免疫组化结果:PR(-)、CD34(-)、SSTR-2(-)、EMA(-)、GFAP(+)、S-100(+)、Oligo2(-)、KI-67(约30%)、Syn(-)、NSE(-)、STA-6(-)。术后到西京医院行放疗联合联合替莫唑胺治疗1周期(放射治疗剂量及替莫唑胺用量不详),后于我院于2020年3月及2020年4月口服替莫唑胺化疗,后在院外根据化疗方案口服替莫唑胺,入院1周前于郑州行伽马刀治疗。
本次住院后给予患者心电监护、吸氧,住院期间患者左侧肢体肌力下降,约为3级,病出现头晕、头痛,恶心、呕吐症状,考虑患者病情加重,给予患者甘露醇125ml q8h iv,症状未见明显好转后,加用甲泼尼龙500mg qd iv,应用后患者头晕、头痛、恶心、呕吐症状缓解,但患者左侧肢体肌力未见好转,并出现饮水及饮食呛咳,于2021年1月16日给予患者贝伐珠单抗注射液700mg st iv,目前患者自述较之前精神好转。
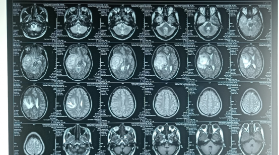
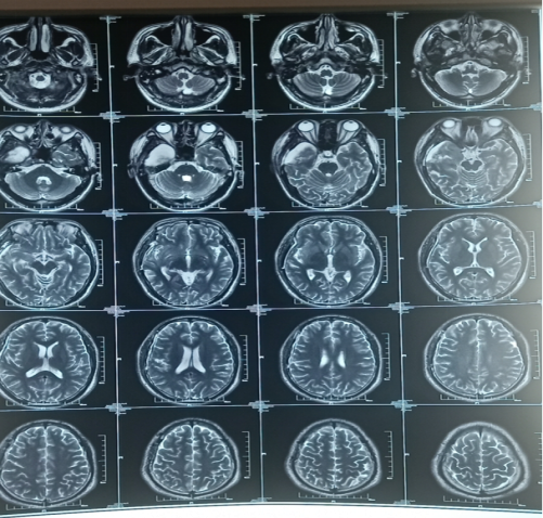
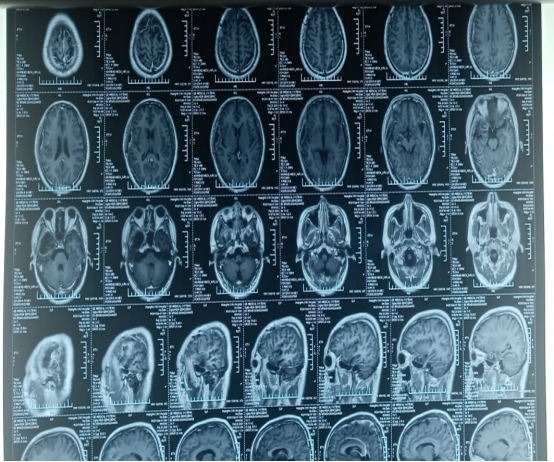
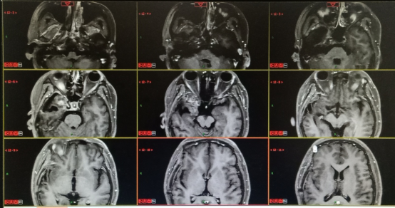
诊疗期间辅助检查:
20190927郑州金水医院

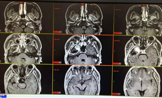
20190927郑大一附院:右侧颞叶巨大占位,考虑胶质瘤。

术后MRI:20191005郑大一附院:“右颞部占位切除术”后改变。

放化疗后MRI:20191020西安交大

20200220三门峡黄河医院:右侧颞叶胶质瘤术后,右侧局部脑膜增厚,术区未见明显异常强化。

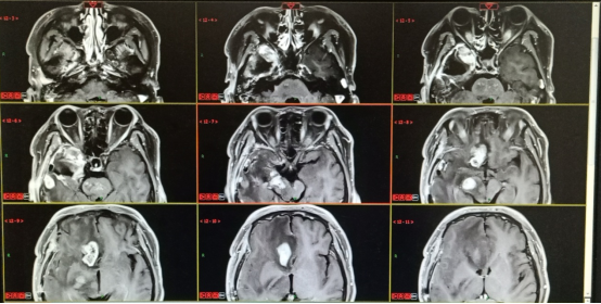
20200512三门峡市中心医院:右颞部胶质瘤术后改变,硬膜下积液。

2020.07.30三门峡市中心医院:右侧颞叶胶质瘤术后改变,右侧颞叶异常强化影,与0512日片对比强化灶较前明显,大小无明显变化。

2020.09.01右侧颞部胶质瘤术后改变,颞叶病灶强化程度较前减弱。左侧颞部结节状强化影,大致同前。

2020.12.08三门峡市中心医院:右侧颞叶胶质瘤术后改变,病变范围较前增大,新见脑桥、右侧额叶强化,考虑肿瘤复发可能。

2021.01.08三门峡市中心医院:右侧颞叶胶质瘤术后改变,右额叶病灶较前增多,原脑干、右侧额叶病灶较前体积增大,考虑肿瘤进展。

总结分析:
胶质母细胞瘤治疗以手术切除为主。手术的原则同星形细胞瘤,但胶质母细胞瘤不太可能作到真正完全切除,应尽量作到多切除肿瘤并同时作内外减压术。此肿瘤约有1/3边界比较清楚,手术可做到肉限全切除;另2/3呈明显浸润型,与正常脑组织分不出明显界限,如果位于额叶前部、颞叶前部或枕叶者,可将肿瘤连同脑叶一并切除,使术后有一个比较大的空间,这样效果较好。如果肿瘤位于重要功能区(语言中枢或运动中枢),为了不加重脑功能的障碍,多数仅能作部分切除,对位于脑干、基底神经节及丘脑的肿瘤可在显微镜下严格作到切除肿瘤,手术结束时可作外减压术。术后进行放疗,也可合并应用化疗或免疫治疗。因肿瘤恶性程度高,术后易复发,一般常在8个月之内,生存时间平均1年,个别可达2年,故患者需行辅助治疗。
目前标准化辅助治疗为2005年提出的Stupp方案,即术后28天开始60Gy/30Fx的局部放疗加75mg/m2的替莫唑胺同步化疗,放疗结束一个月后,辅以6个周期的150mg/m2或200mg/m2的替莫唑胺5/28方案。提前至术后14天应用替莫唑胺或者将6个周期延长到12个周期或更长,会使患者有额外的生存获益。在替莫唑胺的基础上加用干扰素可以进一步延长总生存期2.1-2.8个月,并且这种生存获益不受MGMT甲基化状态的影响。但干扰素往往产生较为明显的感冒样症状,很多患者无法耐受。
本次住院后患者症状较重,给予患者甲泼尼松治疗并给予患者贝伐单抗注射液靶向治疗,贝伐单抗(BEV)靶向治疗进展基于AVF3708g(BRAIN研究)和NCI 06-C-0064E两项Ⅱ期临床试验研究的结果,美国FDA于2009年首次批准BEV用于复发胶质母细胞瘤(rGBM)的治疗。2013年美国临床肿瘤学会(ASCO)年会上,公布的一项标准一线放化疗联合BEV来治疗新诊断胶质母细胞瘤(nGBM)的Ⅲ期随机临床试验结果显示,BEV能够适当延长患者的无进展生存期(PFS),但并不能改善rGBM的总生存期(OS)(Ⅰ级证据)。AVAglio临床研究的数据发现低表达MMP9的nGBM应用BEV可延长OS。