漫漫求医路,“Castleman病”的诊断为何那么难?
Castleman病,又称巨大淋巴结增生症或血管滤泡性淋巴组织增生,是一类罕见的、具有特征性病理改变、高临床异质性的淋巴增生性疾病。由于Castleman病的罕见性和复杂性,其诊断和鉴别诊断十分困难。本文概括了目前国际共识的Castleman病临床、病理特征和诊断标准。
Castleman病是一类罕见的淋巴增生性疾病,其特征是淋巴结肿大和受累淋巴结组织特有的组织病理学特征。1956年,Benjamin Castleman报道了第一例孤立性纵隔淋巴结肿大Castleman病患者1。后续研究发现Castleman病是一种具有高度异质性的疾病,临床表现多样。上篇文章中已经介绍了Castleman病的分型:根据淋巴结分布与器官受累部位,Castleman病可分为UCD(单中心Castleman病)和MCD(多中心Castleman病)。根据病因和临床特点,MCD进一步分为HHV-8相关MCD,POEMS相关MCD和iMCD(特发性MCD)。Castleman病的分型、确诊需要包括淋巴结活检、实验室检查、影像学检查在内的一整套临床评估。由于Castleman病症状表现多样,极易与其他疾病混淆,诊断极其困难。一项回顾了212名Castleman病患者数据的研究表明,近55%患者曾被误诊,35%患者经历了1年以上才被确诊2。本文总结了目前已知的Castleman病临床及病理表现和国际共识的诊断标准。
01 临床表现
Castleman病的临床表现多种多样。UCD患者通常无症状,其确诊多数是因为偶然检测到淋巴结肿大。极少数UCD患者会出现全身症状,或出现因淋巴结肿大压迫器官引起的症状。另一方面,MCD患者通常表现为发热、盗汗、体重减轻或乏力。iMCD患者的临床表现可能有肝或脾肿大、积液蓄积、爆发性樱桃样血管瘤、紫罗兰皮疹和淋巴细胞性间质性肺炎。
02 组织病理学检查
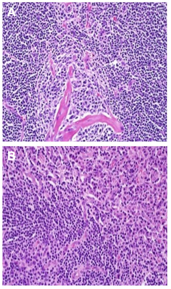
根据淋巴结病理检查,可以将Castleman病区分为三种不同亚型:透明血管型、浆细胞型和混合型(图1)。其中透明血管型是UCD最常见的亚型(75%),其病理特征比较明显,表现为淋巴滤泡中生发中心萎缩,小淋巴细胞围绕生发中心排列形成“洋葱皮外观”。而浆细胞型是 MCD的最常见亚型(75%),透明血管和浆细胞共存的混合亚型在HHV8相关MCD中最为常见,iMCD中也较为常见3。浆细胞型和混合型的特征不明显,极易与其他疾病混淆,很难诊断(图2)。

图1: Castleman病常见组织病理学改变。A:透明血管型;B:浆细胞型。

图2. iMCD的病理特征与多种疾病存在交叉,并且常与多疾病共存
03 检验科和放射科检查
一旦淋巴结活检提示Castleman病,首先应当对淋巴结进行放射学检查,以区分UCD和MCD。通常使用氟脱氧葡萄糖-计算机断层扫描(PET-CT)或颈部、胸部、腹部和骨盆CT。首选PET-CT,因为PET-CT还可以识别淋巴结的相对代谢活性。Castleman病患者的标准摄取值(SUV)通常低于淋巴瘤患者,这也是Castleman病重要的鉴别诊断之一。另外,其他影像学检查有助于检测肝脾肿大、胸腔积液和腹水等可能出现的Castleman病相关症状。
进一步的实验室检查应侧重于造血和免疫系统。血清C反应蛋白(CRP)、铁蛋白,血小板等实验室指标。

图3:根据临床表现与病理特征 ,可对CD进行分类/分型。注:三角形和菱形代表每种病理特征在CD不同亚型中发生的相对频率;红色和蓝色阴影的深浅反映了每种病理分型中血管增生或浆细胞浸润的程度。

图4: Castleman病诊断流程图
04 UCD诊断
仅有同一淋巴结区域内的一个或多个淋巴结受累的CD被定义为UCD,大多数情况下没有全身症状。UCD的主要临床表现通常与肿大的淋巴结压迫器官导致的局部并发症有关,如肾阻塞、呼吸困难、咳嗽、腹痛等。病理学检查显示70%的UCD为透明血管型,10%到20%为浆细胞型,少见混合型。透明血管型UCD患者通常没有全身症状,而浆细胞型UCD患者更常出现胸外病变和全身症状,并伴有贫血和高球蛋白血症。其他的少见临床表现包括周围神经病变和自身免疫性血细胞减少症等。CT扫描有助于确认病变的位置,MRI和PET扫描可用于评估病变程度并识别以代谢增强为特征的小病变。两种组织学类型的UCD均首选通过手术切除。UCD需注意的鉴别诊断主要包括淋巴瘤、实体瘤、滤泡增生性疾病和弓形虫引起的淋巴结炎。
与UCD相反,MCD的特征是较为严重的全身症状,主要与多种细胞因子(包括IL-6和IL-10)的释放有关。本文总结了两种常见MCD:HHV8相关MCD和iMCD的诊断。
05 HHV8相关MCD诊断
HHV8相关MCD患者通常为HIV阳性。90%以上患者临床表现为高烧、乏力、脾肿大、周围淋巴结肿大、水肿和咳嗽。实验室检查表现为贫血、血小板减少、低白蛋白血症和CRP水平升高。淋巴结活检的常见表现为:HHV8感染细胞和潜伏核抗原-1(LANA-1)阳性的受累淋巴结套区中存在大型浆母细胞,病理学特征可表现为浆细胞型或混合型,浆细胞型更为多见。受累淋巴结中活跃的HHV8感染始终存在,病毒载量可用于监测疾病进展。此外,HHV8相关MCD患者通常具有更高的浆母细胞淋巴瘤风险。卡波西肉瘤也常与HHV8相关MCD并存,这种情况可见于40%患者中4。
06 iMCD诊断
iMCD的特征是系统性症状、多区域淋巴结受累和Castleman病的典型组织病理学表现。与HHV8相关MCD和UCD相比,iMCD中更常观察到自身免疫相关症状,主要包括关节炎和肾功能不全伴蛋白尿。与UCD患者相比,iMCD患者淋巴结中CD3 +淋巴细胞数量较高,CD19 + / CD5 +淋巴细胞出现频率较低。此外,不同于HHV8相关MCD,iMCD与浆母细胞淋巴瘤和卡波西肉瘤没有相关性。PET / CT扫描有助于识别iMCD患者受累淋巴结并监测疾病进展。
由于iMCD的临床表现可能与其他疾病重叠,因此其鉴别诊断极为重要。主要鉴别诊断包括淋巴瘤、自身免疫性淋巴增生性综合征、类风湿关节炎、系统性狼疮和活动性感染(包括HIV、结核、爱泼斯坦-巴尔病毒感染等)(图5)。2017年,iMCD的国际共识诊断标准发布(图6)5。

图5: iMCD常见鉴别诊断

图6: 2017年CDCN发布的iMCD诊断标准国际共识。注:a. 推荐的实验室界值仅供参考;b. CRP水平是必备检测指标,同时强烈推荐动态监测CRP变化,如无法行CRP检测时可检测血沉;c. POEMS综合征与Castleman病有关,如有单克隆性浆细胞驱动产生细胞因子风暴,则诊断为POEMS相关MCD而不诊断iMCD。

图7: iMCD诊断流程
总 结
与UCD相比,iMCD的临床表现多样,诊断更加困难,诊断流程通常包括PET/CT扫描发现淋巴结异常,淋巴结病理学活检判断是否符合iMCD病理学特征,以及排除其他疾病的可能。淋巴结病理是诊断的金标准,但是感染、自身免疫疾病和恶性肿瘤等也可能伴发“Castleman病样”病理改变,诊断Castleman病需要首先排除这些疾病的可能性,同时诊断标准中需要满足实验室检查和临床标准,所以诊断往往需要临床医生与病理医生的密切合作。
如您在临床中遇到有两个及以上淋巴结肿大且没有明确诊断的病人,可以考虑iMCD的可能性,提高这种罕见病的诊断率。
图片
下期预告
Castleman病的诊断和病理分型主要依赖于淋巴结活检,其显著的组织病理学特征为淋巴滤泡、血管及浆细胞不同程度的增生。各亚型的Castleman病也有其独特的组织病理学特征,对于诊断有着重要意义。请继续关注下期【探秘Castleman病】Castleman病的组织病理学特征
参考文献
1.Castleman B, Towne VW. Case records of the Massachusetts General Hospital: case no. 40231. N Engl J Med 1954;250:1001–5. 2.中国Castleman 病患者调研数据 3.Talat N, Belgaumkar AP, Schulte KM. Surgery in Castleman’s disease: a systematic review of 404 published cases. Ann Surg 2012;255(4):677–84. 4.Bower M, Newsom-Davis T, Naresh K, et al. Clinical features and outcome in HIV-associated multicentric Castleman’s disease. J Clin Oncol 2011;29(18):2481–6. 5.Fajgenbaum DC, et al. International, evidence-based consensus diagnostic criteria for HHV-8-negative/idiopathic multicentric Castleman disease. Blood. 2017 Mar 23;129(12):1646-1657.