原发中枢神经系统淋巴瘤,生存十年以上!
患者,男性,44岁。2009年7月3日,患者在饮酒后出现左侧口角歪斜,不伴有恶心呕吐,不伴有意识丧失,无肢体抽搐等,在当地医院按“中风”给予中医针灸治疗,症状好转。2009年11月患者在饮酒后再次出现口角歪斜(右侧),在当地医院按“面神经麻痹”治疗,具体用药不详,治疗后患者症状好转。
2010年5月,患者无明显诱因出现疲倦,睡眠增多,易疲劳,记忆力下降,且伴有头部发胀,不伴有头痛头晕,不伴有恶心呕吐,无癫痫发作等。在当地医院行头颅核磁示:双侧基底节区及岛叶占位(如图1)。

图1. 2010-06-01核磁,发现双侧基底节区及岛叶占位。
治疗与随访
2010年6月10日在局麻下行立体定向活检术,术后病理回报:非霍奇金恶性淋巴瘤(弥漫性大B细胞淋巴瘤)。
2010年6月15日开始在我科(首都医科大学三博脑科医院神经肿瘤化疗科)行大剂量甲氨蝶呤联合细胞毒药物化疗。
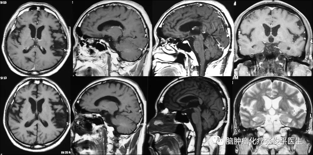
化疗2周期后复查头颅核磁(如图2)显示颅内肿瘤消失,未见异常强化,患者症状明显改善,疗效评价CR(完全缓解)。

图2. 2010-8-30核磁(上行为增强相,下行为平扫相),化疗2周期后,颅内未见明显强化,疗效评价CR。
患者共化疗6个周期,末次化疗日期为2010年11月30日。化疗结束后1个月复查核磁,未见肿瘤复发(如图3)。

图3. 2011-01-06核磁,6周期化疗结束后1个月,未见肿瘤复发征象。
2011-4-18,在化疗结束后3个月,患者接受全脑放疗19次。之后定期复查。最近一次复查是2020-8-7,距离发现肿瘤已10年余,复查核磁未见肿瘤复发(图4),患者正常上班,无任何不适症状;喜欢游泳,每次可游2千米;记忆力好,曾参加当地党员知识竞赛获得一等奖。

图4. 2020-8-7核磁,随访10年后,未见肿瘤复发。
专家点评
原发中枢神经系统淋巴瘤具有弥漫浸润的特点,手术仅起到诊断作用,无明显治疗价值。
大部分原发中枢神经系统淋巴瘤对化疗非常敏感,是少数几个能够获得长期生存的恶性脑肿瘤之一。小于60岁的淋巴瘤患者,超过一半以上(65%)生存超过5年,接近半数(43%)生存期超过10年。大于60岁的淋巴瘤患者也有接近四成(35%)可以生存超过5年。所以,原发中枢神经系统淋巴瘤患者应积极治疗。
该病的治疗模式是在立体定向活检明确病理后,首选以大剂量甲氨蝶呤为基础的方案化疗,甲氨蝶呤的剂量至少3g/m2。放疗要尽可能地推迟进行。
对于≥60岁的淋巴瘤患者,如果化疗后肿瘤完全消失则不需要放疗,因为放疗并不能增加≥60岁患者的生存期,而放疗后神经毒性不良反应的发生率(75%)较不放疗(3.8%)明显增加。
对于<60岁的淋巴瘤患者,如果化疗过程中肿瘤进展或肿瘤无明显缩小,应行全脑放疗;如果肿瘤缩小程度>50%,则应继续化疗,争取达到肿瘤完全消失;如果化疗后肿瘤完全消失,是否马上行放疗尚无定论,有研究表明<60岁肿瘤完全消失的患者减低放疗剂量生存期可能下降。