阿帕替尼联合传统化疗药物治疗复发胶质母细胞瘤的疗效和安全性
胶质母细胞瘤(glioblastoma,
GBM)是成人最常见的恶性脑肿瘤,约占所有胶质瘤的50%。GBM发病年龄多在壮年,对社会、家庭都是很大的打击。GBM生长迅速、侵袭性强,术后极易复发。新诊断GBM的标准治疗方案是Stupp方案,即术后先进行替莫唑胺同步放化疗,放疗结束后4周开始替莫唑胺5/28方案6~12个周期的维持化疗。然而,即使经过标准治疗,中位无进展生存期(PFS)只有6.9个月,肿瘤复发进展无法避免,超过70%的患者在1年内复发。抗肿瘤血管生成治疗是复发胶质瘤的重要治疗策略。血管内皮生长因子(VEGF)的抑制剂贝伐在2009年被美国FDA批准用于复发GBM,贝伐可以提高患者的无进展生存时间(6个月无进展生存率:30.2%
vs 16.9%),但是不能提高总生存期。而且,贝伐治疗失败后肿瘤生长更具有侵袭性,目前也没有有效的挽救治疗方案。亟需探索更有效的治疗方案。阿帕替尼是VEGFR-2的抑制剂,已被批准用于晚期胃癌。研究表明,阿帕替尼也能显著改善肝癌、卵巢癌、晚期非鳞状非小细胞肺癌患者的生存。本研究分析了阿帕替尼联合替莫唑胺治疗复发GBM的疗效和安全性。
研究方法
收集2016年4月至2019年8月在首都医科大学三博脑科医院接受阿帕替尼联合替莫唑胺治疗的复发GBM患者资料,回顾性分析该方案的疗效和安全性。
纳入标准:年龄18 ~ 70岁;KPS≥50;初次病理组织学证实为GBM,治疗前经组织学或影像学证实复发;既往未经过抗血管生成药物治疗。医疗记录不完整的患者被排除在外。
治疗方案:(1)阿帕替尼500 mg,每日1次(2)替莫唑胺:200mg / m2/d,5/28方案(既往未经替莫唑胺治疗的患者)或50mg /m2/d,每天方案(既往经替莫唑胺5/28方案治疗后复发的患者)。28天为一个周期。患者持续治疗,直到病情恶化或出现不可耐受的毒性反应。
研究结果
- 患者特点及肿瘤特征
共纳入31例患者。基线特征见表1。31例患者中有20例(64.5%)为男性,中位年龄为53岁(范围,21-70岁)。9例(29%)复发次数≥2次。7例患者仅接受替莫唑胺同步放化疗而未经替莫唑胺维持治疗。23例(74.2%)在替莫唑胺5/28方案维持治疗期间出现疾病进展,1例在停用替莫唑胺35.5个月后出现复发。17例(54.8%)肿瘤有播散。19例(61.3%)肿瘤最大直径大于30mm。5例患者在最后一次复发时接受肿瘤全切除,病变无法测量。19例(61.3%)患者的MGMT启动子未甲基化。20例(64.5%)患者为IDH1/2野生型。

表1. 入组患者的基线特征
- 治疗反应
31例患者经治疗后,肿瘤获得完全缓解(CR)3例,部分缓解(PR)5例,病情稳定(SD)17例,病情进展(PD)6例。客观有效率(ORR)为26.3%,疾病控制率(DCR)为84.2%。具体见图1所示。

图1. 31例患者经阿帕替尼联合替莫唑胺治疗后的肿瘤变化
在22例首次复发的患者中,CR 3例,PR 4例,SD 11例,PD 4例。ORR为31.8%,DCR为81.8%。
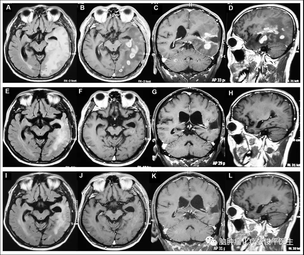
图2为1例CR患者治疗前后的核磁表现。经2个周期治疗后,强化肿瘤消失,非强化病变(Flair相)缩小(图2A-H)。经过3个周期的治疗后,核磁显示未复发,证实CR的疗效(图2I-L)。

图2. 一例获得CR的患者治疗前后的核磁表现:上行为化疗前;第2行为化疗2周期后,强化影消失;第3行为化疗3周期后,肿瘤无复发。
- 疗效
中位随访时间7.9个月。截止至2019年12月31日最后一次随访时,1例患者仍在接受治疗。
对于所有患者,6个月无进展生存率为44.6%。12月生存率为30.2%。中位无进展生存期为4.9个月。中位OS为8.2个月。图3显示了Kaplan-Meier生存曲线。

图3. 生存曲线,(A)PFS曲线;(B)OS曲线
进展后,28例患者中有9例接受了贝伐挽救治疗,他们的进展后的生存时间为5.1个月,而没有接受贝伐挽救治疗的患者进展后生存时间为1.2个月, Log-Rank P = 0.174, Breslow P = 0.031。这表明该方案不会影响肿瘤对贝伐的敏感性,在进展后使用贝伐有可能进一步延长患者的生存时间。
一项令人兴奋的发现是,两名患者在治疗2年后没有肿瘤进展,分别获得30.9和至少38.7个月的长期无进展生存,而他们之前的复发间隔分别只有12个月和14个月。这两例患者MGMT都没有甲基化、IDH没有突变。其中1例在最后一次复发时接受肿瘤全切除。
- 毒性
共有139个化疗周期可用于安全性评价。总体而言,联合化疗的毒副反应耐受性较好。没有患者因药物毒性而死亡。表2显示了所有患者在每个周期中获得的最高级别毒性的总和。
最常见的3或4级毒性是高血压(5.8%)、食欲下降(5.8%)、血小板减少(4.3%)和白细胞减少(3.6%)。大部分的3或4级毒性发生在治疗早期,且经过对症治疗、减量或暂停后可恢复至≤1级(非血液学毒性)或≤2(血液学毒性)。
在12例伴有疲劳的患者中,有7例出现甲状腺功能减退,在经过补充左旋甲状腺素钠和/或阿帕替尼减量后,疲劳症状减轻。

表2. 不良反应
结论
本研究初步表明,阿帕替尼与替莫唑胺联合治疗(1)疗效较好,可能优于单独使用替莫唑胺,特别是对于MGMT未甲基化的患者;(2)进展后再使用贝伐治疗不会降低肿瘤对贝伐的敏感性;(3)毒性可控;(4)两个药物均为口服给药,服用方便,减少住院时间。
参考文献
Ge J, Li C, Xue F, Qi S, Gao Z, Yu C, Zhang J*.(2021) Apatinib Plus Temozolomide: AnEffective Salvage Treatment forRecurrent Glioblastoma, Front Oncol,2021,10:601175.doi: 10.3389/fonc.2020.601175
作者: 张俊平