发现肺部磨玻璃结节怎么办?不怕,一根“针”搞定它!

随着胸部电子计算机断层扫描(CT)的广泛应用,肺部磨玻璃结节(GGO)的检出率越来越高,逐渐成为人们关注的健康问题。发现GGO,到底是该手术切除还是再观察?有什么更好的方法?
近年来,上海交通大学医学院附属仁济医院肿瘤介入科在翟博主任的带领下,按照疾病或介入技术类型倾力打造富有一定特色和创新的亚学科团队,尤其在肺脏GGO穿刺活检以及微波消融治疗领域进行了卓有成效的研究和探索,进一步提高了GGO诊治的有效性和安全性,提出了GGO活检及消融的新理念。
对此,医学界专门邀请了肺肿瘤消融团队核心专家池嘉昌副教授分享这项新技术改良和GGO治疗现状。
肺部磨玻璃结节是什么?
是不是得“一刀切”?
与肿瘤不同,GGO在CT上呈现为局部密度增高、同时可见其内血管和支气管纹理的病灶。
池嘉昌副教授指出,“现在胸外科很多早期肿瘤患者都是GGO,可见GGO检出率的增加也提高了临床治疗的需求。很多患者在发现GGO时都会着急第一时间寻求医治,而忽略了长期随访这个重要选择。我们在临床上遇到过GGO患者在第一时间进行手术,病理结果为炎症性病变。”
“每个患者的GGO恶性程度不一样,可根据病灶大小、密度,是否侵犯血管或胸膜,是否有纵膈淋巴结或支气管转移来判断其恶性程度。对于绝大部分GGO而言,尤其是具有均质、圆状的GGO,第一时间的手术其实并不合适,它往往需要随访的过程。对于密度高、形态不规则、中央实性成分>0.5cm等恶性程度明确的GGO患者,应该选择第一时间手术或其他微创治疗。另外,对于初发GGO患者我们一般建议进行随访,随访时间根据病灶性质可长可短,有助于医生去判断患者到底需不需要手术。”
GGO三大治疗方案——手术、放疗和消融的使用和难题
外科手术是GGO最经典的治疗方案,随着医学技术的发展,外科治疗已经从既往的肺大叶切除发展成现在的单孔胸腔镜手术,有效减少肺切除体积,更好地保留肺部功能。但是,近年GGO发病年龄越来越轻,发病率趋势也越来越明显,许多患者在GGO切除手术后又会复发多个GGO。
池嘉昌副教授表示,“这类患者的治疗非常麻烦,因为GGO复发后若反复进行手术,肺部功能储备是会明显下降的。由于每个患者肺功能储备有限,因此无法反复进行多次切除,这也是外科面临的最大问题。”
GGO的另一个治疗方式就是立体定向放疗(SBRT),这是对于恶性GGO的治疗手段,从疗效来看,SBRT治疗的局部控制率和5年生存率与消融手术非常接近。但是,SBRT的使用非常依赖于事先穿刺取样的病理诊断,来判断GGO的性质。
“近几年随着微波消融技术的提升和广泛应用,微波消融已经成为无条件手术肿瘤患者的备选方案,其治疗效果与外科手术很接近。”
除了肿瘤,消融还能用于GGO。GGO的第三种治疗方案就是消融手术,包括射频消融(用电热效应)和微波消融(用微波磁场加热效应)。两者治疗都能取得跟外科手术类似的局部控制效果,目前国内临床以微波消融的使用率和普及情况更佳。
池嘉昌副教授谈到:“目前消融手术已经广泛应用到多个领域,比如肝癌、甲状腺结节等的根治方案。在近3-4年间,我们开始聚焦于GGO的消融手术治疗,从我院的目前随访数据来看,结果还是比较满意的。不过,既往使用的微波针针尖是尖锐的,主要是被设计来治疗实体肿瘤。与实体肿瘤不同,GGO中有丰富的正常肺血管和周围血管,我们以前用尖锐针尖的微波针治疗时往往心惊胆战,害怕戳破大血管或一些重要组织,引起一系列的并发症。”
将针尖改良,做到安全有效,还延伸出三种新用法
1、将针尖改成钝性圆头,减少出血风险,用于GGO消融治疗
经过一番努力,池嘉昌副教授团队从国外文献中得出灵感。
池嘉昌副教授:“GGO只是一块变质的肺组织,并不是实体肿瘤,我们从国外文献中看到一些学者使用针尖为圆形的套管针来进行穿刺,避开了重要的血管或组织。于是,我们就尝试用钝性圆头微波针进行了许多离体和活体实验,得出圆头微波针真的可以在肺部中穿透,也发现该微波针能穿过GGO,并且在碰到血管时也不会引起出血。这给了我们很大的信心。”
这意味着,对于周边血管丰富或靠近大血管的GGO,我们有了安全且合适的消融器械。
“以往对于周围有大血管(2mm)的GGO微波消融相对是比较危险的,有了新的微波针,我们就能把微波消融的使用遍布到整个肺叶,哪怕是贴近心脏或肺动脉主干的危险位置,都能做到穿刺和消融的目的。”

2、先凝固后活检,大大提高GGO活检的准确性和安全性,巧妙做到集诊断和治疗于一体
此外,基于钝性圆头微波针安全性良好的特征,池嘉昌副教授提出了消融后同步活检的新诊疗模式。
“与实体肿瘤相比,GGO的结构更倾向于肺组织,富含支气管和血管,因此取活检组织的难度也更高。以往的经验告诉我们,小的GGO病灶活检都容易出现很多出血,病人往往直接在台上就出现咯血,取得的组织有限,没办法进行后续的取样。国内对GGO的活检要求也并不多,大部分都选择直接手术,几乎没有人会做术前活检。”
有了钝性圆头微波针,池嘉昌副教授团队开始摸索GGO的安全活检方式。
“我们发现,GGO在受到微波加热时会出现明显的收缩。1个1cm的GGO在微波凝固后会慢慢变成3-4mm的实性结节。经微波凝固后的病灶组织密度更高,有利于我们取出更多的标本给病理科做诊断。此外,微波加热后GGO周围血管也会凝固,在取样时就不会有明显的出血。经微波凝固后的GGO,我们可以做4-5次的穿刺活检来取出足够的样本,特别是对于部位较深的、外科手术治疗难度较大的GGO,这种活检方式对之后的治疗显得格外重要。”


在临床使用过程中,池嘉昌副教授使用这种新模式对GGO进行先凝固、后取样、再消融治疗“三部曲”,同时间做到了GGO的取样和治疗。
3、将消融和手术结合成“杂交手术”,有效治疗多发GGO
此外,池嘉昌副教授将微波消融和外科手术完美结合形成多发GGO的“杂交手术”。根据病灶位置和性质,选择最合适的治疗方式,以往一些深部的需要切除肺叶的病灶可以通过微波消融来根治并取到满意病理,表浅病灶则可以通过损伤较小的楔形切除来根治。
“对于多发的GGO,我们可以通过多种治疗方式的结合来灵活制定治疗方案。深部的GGO外科手术的创伤性较大,我们可以通过微波消融来取病理和治疗;对于较表浅、消融难度较大的胸膜下病灶,我们可以用胸外科手术来治疗。我认为可以根据患者的个别GGO病灶大小和位置来选择最合适的治疗方式,让病人取得最大程度的获益。”
因此,“杂交手术”的思路给GGO患者开创了新治疗模式,也体现出精准治疗时代下GGO的个体化治疗。
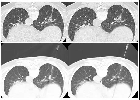
真实案例展示:钝性圆头微波针给复发GGO患者提供诊断和治疗手段
一61岁女性患者,于2018年底因体检胸部CT发现双肺GGO,2019年2月遂于仁济医院胸外科行胸腔镜下左肺上叶舌段切除术,术后病理提示原位腺癌。
2019年5月复查胸部CT提示左肺近肺门部GGO,最大径约10mm,提示病情复发。此时,患者因考虑再次手术可能要切术肺叶而不愿意再次手术,经医生团队讨论,遂行微波消融治疗。该患者在消融后即刻行穿刺活检,病理显示为原位腺癌。在2020年的术后1年复查中,患者肺部的消融灶吸收良好。



展望:将消融与外科相结合,更好地造福患者
微波消融技术给GGO患者带来新治疗选择,钝性圆头微波针更是提供了更多的诊疗思路。未来,我们十分期待微波消融治疗GGO的更多数据出炉,为它的使用提供临床证据。
池嘉昌副教授表示,“我个人做的消融手术较多,我认为微波消融既然能在肝癌、肾癌、甲状腺癌、甲状腺良性结节等疾病上逐步脱颖而出,成为一线标准治疗手段,在肺部疾病治疗中肯定也有它的重要地位,疗效、穿刺活检操作和安全性是今后要探讨的重点。我相信时间会证明一切,90年代没有人会相信一根射频针可以搞定肝癌,这是一个论证和接受的过程,需要我们介入科医生来做出更好的结果。”
“我们将针尖改成钝性圆头是希望日后能更安全地将微波消融运用到GGO病人。对于将来的研究方向而言,我们会和外科医生联手,进一步把‘杂交手术’做好、做精,让多发GGO患者能够更好地一次性解决肺部病灶。这样做除了能提升临床疗效,还能减轻病人心理上的担忧,这对于家庭和社会来说都是很重要的一件事情。