真假睾丸(附:鞘膜积液的诊断及鉴别)

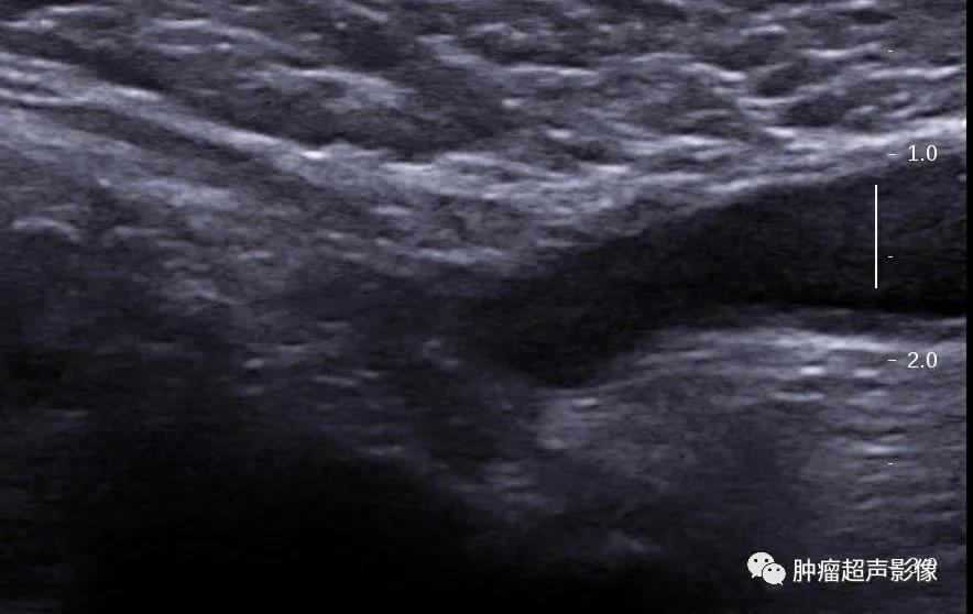
鞘膜积液术后,阴囊见中等回声,未见血流,这是一个发生病变的睾丸吗?

继续扫查可见睾丸(T)被压迫在一边,这其实是一个血性睾丸鞘膜腔积液
鞘膜积液的诊断及鉴别
在妊娠早期胎儿的睾丸位于腹膜后腰椎旁,随着孕周增大,逐渐下降,7~10个月时,睾丸经腹股沟管下降至阴囊, 同时附着于睾丸的腹膜也下移形成鞘状突 ,正常情况下,鞘状突在胎儿出生前闭合,精索部鞘状突形成纤维索,仅睾丸部鞘膜留有间隙,成为睾丸鞘膜腔,与腹腔不相通,胎儿出生后鞘状突在不同部位未闭合、闭合不全或因鞘膜的分泌吸收功能失衡,致使鞘膜腔内液体超过正常量即可形成各种类型的鞘膜积液,为阴囊增大的常见原因。引起鞘膜积液的原因较多,分为原发性和继发性,原发性的病因不明,病程缓慢,可能与鞘膜分泌吸收功能或先天性因素有关;继发性的原因较多,常见于阴囊脏器的炎症、损伤、肿瘤、全身性疾病等。鞘膜积液首选超声检查,明确其位置、分型、大小、积液量等,为临床提供正确的治疗方案。
鞘膜积液可分为睾丸鞘膜积液、精索鞘膜积液、睾丸精索鞘膜积液和交通性鞘膜积液 4 类:
1、睾丸鞘膜腔积液:鞘状突闭合正常,睾丸鞘膜腔内出现较多积液,是成人中最常见的一种类型;
2、精索鞘膜积液:鞘状突两端闭合,中间精索鞘膜囊未闭合且有积液,并与腹腔及睾丸鞘膜腔都不相通,也称精索鞘膜囊肿;
3、睾丸精索鞘膜积液:鞘状突在内环处闭合,精索部未闭合,并与睾丸鞘膜腔相通,但与腹腔不相通,也称婴儿型鞘膜积液,多见于婴儿期;
4、交通性鞘膜积液:鞘状突完全未闭合,鞘膜囊的积液可经一小管与腹腔相通,又称先天性鞘膜积液,如果通道宽大,肠管或/和网膜进入鞘膜腔,即合并先天性腹股沟疝。多发生在新生儿期,成人少见。

超声表现:
1、睾丸鞘膜腔积液:“三面环水”,阴囊内无回声区环绕睾丸三个面,只有一面靠岸。无回声区的大小取决于积液量,单纯性积液时其透声好,合并感染时内部可见点状回声、甚至分隔,外伤性积液无回声内部可见点状或团状回声,新鲜出血呈高回声(量大时呈椭圆形切勿认为是睾丸,需要仔细检查)。

睾丸鞘膜腔积液单纯性透声好,三面环绕睾丸

穿刺后睾丸鞘膜腔血性积液:充满密集点状回声
2、精索鞘膜积液:无回声位于睾丸上方或腹股沟区(一面靠水),呈圆形或梭形,边界清晰,光滑,位置可高可低,阴囊增大不明显。

精索鞘膜积液:一面靠水
3、睾丸精索鞘膜积液:阴囊内无回声区从三面包绕睾丸,纵切面呈梨形,并向上延伸至精索,其上端较窄。

睾丸精索鞘膜积液
图片来自文献(李荐德. 鞘膜积液的高频超声诊断及鉴别诊断[J]. 中国继续医学教育, 2017).
4、交通性鞘膜积液:无回声区与腹腔相通,阴囊内部无回声区大小随体位而改变 ,由于交通性鞘膜积液往往交通的管道腔隙比较小,超声很难发现,且儿童一般配合不佳,不易与婴儿型鞘膜积液鉴别,需结合病史和体征,或早晨刚起床与长时间站立后作对比检查,或用手或探头适当挤压阴囊前后作对比探测,方能作出鉴别。

交通性鞘膜积液:与腹腔相通