内科诊治癌性肠梗阻病例分享
内科诊治癌性肠梗阻
病例分享
吴 丹 主治医师
肿瘤营养与代谢治疗科
中国科学技术大学附属第一医院
患者王×,男,42岁。胃癌术后14月余,发现腹腔转移6月余,合并癌性肠梗阻、重度营养不良伴代谢紊乱入院。
2019.05.30因“胃窦部占位,侵犯幽门前区及十二指肠球部、水平部”接受“全胃切除伴食管空肠Y型吻合术+腹腔淋巴结清扫术+剖腹探查术”。术后病理:胃窦小弯侧低黏附性癌,溃疡型,lauren分型:弥漫型,大小:5.5cm×4.5cm×1.8cm,癌组织侵及浆膜下脂肪组织内;两端切缘均未见癌累及。未检及淋巴结转移。免疫组化标记:CK(pan)(+),HER2(-),Syn(-),Ki-67(+,约30%)。2019-07-17、08-21、09-26、10-30接受“奥沙利铂200mg d1+替吉奥40mg bid d1-14”化疗4周期。
2019-11月起,患者无诱因下出现腹胀,伴肛门排气排便减少。2019-12-04胸腹部CT:发现腹盆腔小肠肠管明显积液扩张。予补液支持治疗无改善,因患者出现肛门停止排气排便,2019-12-20上海徐汇区中心医院腹部CT:胃癌术后,不完全性肠梗阻,腹膜后及肠系膜间隙淋巴结,部分增大。置入鼻肠梗阻引流管,冲洗引流通畅,腹胀稍减轻,通气通便无明显改善。
2020-01-15入住我科,营养师采用PG-SGA方法评估营养状态为C级,予通便灌肠、抑酸、脱水消肿、补液及营养支持和代谢调理治疗,后肛门少许排气排便,腹胀明显好转。2020-02中旬再次肛门停止排气排便,2-27日我院急诊外科行“剖腹探查+末端回肠造口术”,术中探查见上腹部肠管与腹壁呈肿瘤性侵润,遂取右下腹小切口,分层进腹,行末端回肠造口术,术后造口排稀水样便,无明显排气,时有恶心、呕吐胆汁样液体。
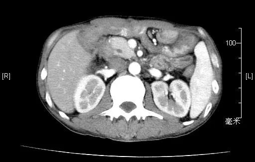
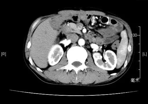
2020-03-09因腹胀、造瘘口无排气排便再次入住我科,予禁食水、止吐、脱水消肿、抑制消化液分泌、补液及营养支持和代谢调理治疗。胸部CT示肺部感染,予哌拉西林他唑巴坦抗感染。3-18,04.07日行“紫杉醇+氟尿嘧啶”小剂量生化修饰化疗2周期,化疗后Ⅱ°白细胞及粒细胞减少、转氨酶升高,予升白细胞、保肝后恢复正常。4.30日起患者可进流质饮食。05-6日再次行“紫杉醇+氟尿嘧啶”化疗1周期同时联合“阿帕替尼0.25g qd”治疗,5.15日出现粒细胞缺乏伴发热,抗感染等对症治疗后基本恢复正常。05-26CT评估肿瘤病灶稳定,患者腹部造口排气排便基本恢复正常,能进食半流饮食。5-27、6-16、7-02日再次行原方案化疗3周期,同时口服阿帕替尼0.25g qd治疗至今。
患者目前进食量明显增加,营养状况改善,05月26日至今:体重由41.6kg增加至46.8kg,肌肉组织由37.7kg增加至39.4kg,白蛋白及前白蛋白上升至正常水平。7-18日CT示腹膜污垢征较前明显改善。目前按期治疗中,患者生活质量明显提高。
医者自评:
该患者家人治疗意愿强烈,依从性较高,医护配合良好。
癌性肠梗阻系肿瘤浸润引起,疏通梗阻最终需要化疗,需要积极审慎应用抗肿瘤化学药物,推测肿瘤化疗药物敏感性存在可能性,确定可选择药物范围是切入点。化疗药物尽量细胞周期特异性化疗药物,呈疗效时相依赖而非疗效剂量依赖,保证总体剂量不减少,在减少单次给药剂量同时,增加药物暴露机会是化疗给药的主要方式,方可达到“低毒高效”目的。重度营养不良胃癌患者的化疗尽量选择细胞周期特异性化疗药物,适当联合抗血管生成药物增加疗效。营养不良癌症患者的化疗随患者营养状况的改善而逐渐过渡到标准剂量的化疗。营养不良癌症患者的化疗需要综合评估以下因素:患者营养状况,肿瘤因素如瘤种、肿瘤治疗史,脏器功能,骨髓 心 肝 肾 肠 免疫力情况,年龄及药物因素,治疗意愿,费用,心理因素等。该患者开始肠梗阻症状明显,但影像学包括PET/CT不能明确肿瘤转移,肿瘤标志物也完全正常,做手术探查才明确转移做了化疗才改善了梗阻症状,临床上内科治疗疗效不佳的肠梗阻做手术探查可能有一定意义。
2020.03.10术后基线腹部CT

2020.05.26腹部CT(化疗3周期后)

2020.07.18腹部CT(化疗6周期后)


