山东省肿瘤医院妇科一病区完成一例卵巢癌肾动静脉下(异位右肾动脉)多发融合淋巴结切除
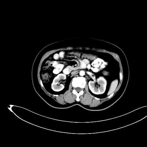
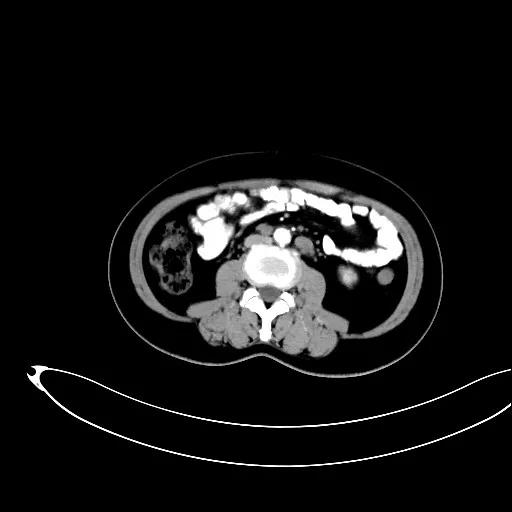
某患者因为“腹痛1周”而入院,外院B超提示子宫上方囊实性肿物,CT提示:左侧附件区占位,并盆腔及腹主动脉旁淋巴结转移。右肾动脉有右肾动脉及异位右肾动脉,其下均有肿大淋巴结。
肾血管总体变异率为35%左右,左侧型发生率为7.5%-23.5%,右侧型发生率为10%-25.3%,双侧型发生率为5.7%。肾动脉一般走行于肾静脉后方。本例异位右肾动脉由腹主动脉发出,经肾静脉前方走行进入右侧肾门,因此称为异位右肾动脉。不论哪个肾动脉分支,均为肾脏相应区域的终末供血动脉,如果发生病变或手术损伤,即可造成相应区域的缺血坏死,因此肾动静脉下淋巴结切除术过程中需警惕异位肾动脉或副肾动脉的存在。














排除禁忌后,在全麻下行“次广泛子宫切除+双附件切除+大网膜切除+阑尾切除术+盆腔淋巴结及腹主动脉旁淋巴结切除术”。术中切除腹主动脉左旁、右旁及后方淋巴结,达左右肾动静脉水平。多个淋巴结呈融合状态,长径约3-5cm。手术由陈亮副主任医师和宋趣清主治医师完成。



术后病理区域淋巴结状态如下:盆腔淋巴结(10/12)见转移;骶前淋巴结(2/2)见转移;腹主动脉左旁淋巴结(13/13)、下腔静脉前淋巴结(6/6)、肾静脉下淋巴结(5/5)、左、右肾动脉下淋巴结(6/6、1/1)见转移。
讨论
根据LION试验,术前影像学及术中探查均阴性的晚期卵巢癌患者可不行淋巴结清扫术,但影像学或术中探查可疑受累的淋巴结仍建议切除。卵巢癌淋巴结转移途径多变,前哨淋巴结的应用存在争议,存在腹主动脉旁淋巴结孤立转移[1]。卵巢癌患者转移的危险性取决于分期和组织学分型,早期黏液性或低度子宫内膜样病变患者发生腹膜后淋巴结转移的风险较低,淋巴结再分期手术仅应慎重[2]。而高级别浆液性癌和双侧卵巢累及是腹主动脉旁淋巴结累及的高危因素[3]。年龄和BMI影响清除淋巴结的数量;腹主动脉左上段淋巴结,即左肾静脉与肠系膜下动脉之间的区域清出的淋巴结中位数在腹主动脉旁淋巴结中最多[4]。
妇科一病区严格遵循指南推荐,在影像学或探查淋巴结阳性的晚期卵巢癌中,若能达到满意减瘤,仍常规行盆腔及腹主动脉旁肿大淋巴结切除/清扫术(如下图举例)。通过前期初步统计分析,肠系膜下动脉至肾静脉下淋巴结转移阳性率为25%左右,在全部腹主动脉旁淋巴结转移患者中约占30%,显示了肾静脉下腹主动脉旁淋巴结清扫的价值。其对生存的影响有待进一步观察。


参考文献:
1. Del Carmen MG, Pareja R, Melamed A, Rodriguez J, Greer A, Clark RM, et al. Isolated para-aortic lymph node metastasis in FIGO stage IA2-IB2 carcinoma of the cervix: Revisiting the role of surgical assessment.(1095-6859(Electronic)).
2. Heitz F, Harter P, Ataseven B, Heikaus S, Schneider S, Prader S, et al. Stage- and Histologic Subtype-Dependent Frequency of Lymph Node Metastases in Patients with Epithelial Ovarian Cancer Undergoing Systematic Pelvic and Paraaortic Lymphadenectomy.(1534-4681(Electronic)).
3. Bogani G, Tagliabue E, Ditto A, Signorelli M, Martinelli F, Casarin J, et al. Assessing the risk of pelvic and para-aortic nodal involvement in apparent early-stage ovarian cancer: A predictors- and nomogram-based analyses.(1095-6859(Electronic)).
4. Hareyama H, Ito K Fau - Watanabe S, Watanabe S Fau - Hakoyama M, Hakoyama M Fau - Uchida A, Uchida A Fau - Oku K, Oku K Fau - Watanabe Y, et al. Factors influencing the number of pelvic and para-aortic lymph nodes removed in surgical treatment of endometrial and ovarian cancer.(1525-1438(Electronic)).