一个病理和超声皆易误诊的肿瘤-乳腺腺肌上皮瘤的超声表现
腺肌上皮腺病为乳腺腺病的一种特殊类型,非常少见,其特征为病变由增生的腺上皮和肌上皮组成,以肌上皮增生为主。如果病变形成境界明显的肿块,一般称之为腺肌上皮瘤,腺肌上皮瘤和腺肌上皮腺病经常混合存在。腺肌上皮瘤一般肿块无包膜,并有推进性边缘,其病变结构复杂,呈浸润图像容易误诊为恶性,特别是在术中冷冻切片检查时,在一定程度上与导管内乳头状瘤、导管腺瘤及微腺管型腺病等的局部区域(伴肌上皮增生)难以区分。腺肌上皮瘤则主要发生于中老年女性,肿块境界较清楚(可有纤维假包膜),生长缓慢,但恶变后可在短期内迅速增大,可恶变为肌上皮癌、腺上皮癌、腺上皮与肌上皮同时恶变,也可发生肉瘤及癌肉瘤等,在作恶性诊断时除肿瘤出现转移灶外并无明确标准。虽是良性肿瘤,如果切除不彻底则易复发,因此部分学者把此瘤认为是一种低度恶性潜能的肿瘤(因为有较明显的复发倾向),肿瘤多次复发后可转变为恶性,需密切随访,腺肌上皮瘤不会发生转移,但恶变后可转移。
超声表现:无明显特征性,可单发或多发的低回声病灶,大小不等,良性肿瘤多表现为边界清,形态规则,回声欠均匀,后方回声无衰减,CDFI:血流稀少,无腋下淋巴结转移;恶性者可表现为边界不清,形态不规则,回声不均,后方回声衰减,CDFI:线状血流。
治疗:少数学者认为局部完整切除肿瘤即可治愈;但由于局部切除后易复发,故多数学者建议行局部广泛切除。肿瘤恶变后,可能发生转移,需行根治术,发生远处转移的恶性腺肌上皮瘤预后很差。


女33,病理证实腺肌上皮瘤,肿块边界清楚,形态规则,低回声,回声欠均匀,后方回声增强,无血流信号,呈现良性肿块特征。

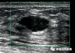
(图片由余杭区第一人民医院超声科陈晓冰医师提供并授权)女62,左乳低回声,边界尚清,内回声欠均,形态欠规则,CDFI:内血流信号不明显。此例由于年龄较大且肿块形态欠规则,容易考虑恶性,但是此肿块边界尚清,周围无高回声晕,后方回声无衰减,呈平行位生长,无血流及腋下淋巴结肿大,这些均提示良性征象。