复旦中山抗肿瘤免疫药物不良反应多学科讨论会顺利举办
复旦大学附属中山医院抗肿瘤免疫药物不良反应(irAEs)MDT门诊自2019年12月成立及开诊以来,获得了患者一致好评,引起了国内同道的极大兴趣及广泛关注。因此,本次多学科讨论会于8月初借助互联网首次以线上线下结合的方式召开,实现多医院多学科多团队交流碰撞“智慧的火花”, 圆满地完成了一次远程病例分享及学术交流。
会议由复旦大学附属中山医院irAEs MDT负责人、肿瘤内科刘天舒教授开场致辞,来自复旦大学附属中山医院放射科的金航教授首先就《免疫治疗相关性心肌炎的MR诊断》作了专题报告,随后由杭州市萧山区第一人民医院曹建华教授团队及复旦大学附属中山医院irAEs MDT分别带来2个具体病例进行讨论,会议还特别邀请到北京大学肿瘤医院消化肿瘤内科彭智教授参与讨论,现场专家各抒己见、气氛热烈。

免疫治疗相关性
心肌炎的MR诊断
复旦中山irAEs MDT团队的放射科金航教授着重介绍了心脏MR常用技术以及心肌炎MR具体表现与诊断。心脏MR常用技术有:定位相(SCOUT)、形态评估(TSE\T1W1、T2W1、T2W1-FS)等;心肌炎MR诊断依据是美国心脏病学会2009年路易斯湖标准。对于免疫相关性心肌炎诊断较为困难、相关的危险因素尚不明确,心内膜活检是诊断的金标准但属于有创检查,临床难以执行。心脏MR是诊断的参考标准,同时需要结合临床、实验室指标等综合诊断与鉴别。最后金航教授结合了常见心肌炎的具体病例展开对心肌炎诊断的介绍。

典型免疫相关性心肌炎的心电图、MR及病理表现
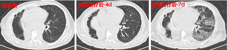
一例
重度免疫治疗相关性
肺炎处理的病例分享
杭州市萧山区第一人民医院曹建华教授团队介绍了一例Ⅳ期肺癌患者在免疫治疗过程中发生免疫相关性重度肺炎的诊疗经过。来自复旦中山irAEs MDT团队的呼吸与危重医学科胡洁教授对该病例免疫治疗相关不良反应的鉴别、诊断、治疗、疗效评估等多方面进行剖析,并提出irAEs处理过程中需实施边治疗边诊断边修正的策略,且糖皮质激素的减量过程需要缓慢,同时需要警惕随着病情的发展是否有其他系统或器官的免疫相关不良反应发生。

北京大学肿瘤医院消化肿瘤内科彭智教授指出免疫相关不良反应如免疫相关性心肌炎、肺炎等,严重时可致死,在免疫治疗过程中需要密切关注,同时需要多学科多专业的参与来提高对irAEs的认识和诊治水平。

患者肺部影像的变化过程
一例
肺癌患者免疫治疗后出现甲减
心脏标志物升高的常见病例讨论
复旦中山irAEs MDT团队由肿瘤内科余一祎教授介绍了一例肺鳞癌的老年患者在PD-L1抑制剂用药9周期后出现乏力,fT3、fT4降低、TSH升高,CK-MB及cTnT轻度的升高。余一祎教授认为根据目前甲状腺功能的情况,需继续补充甲状腺素治疗,并需动态观察。复旦中山irAEs MDT团队、心内科林瑾仪教授提出从现有的临床资料来看,对于心脏标志物的异常只需对症处理,并建议完善心超、心电图及影像学检查等。最终irAEs MDT团队专家一致认为目前该患者属于一级免疫治疗相关不良反应,可继续进行肿瘤免疫治疗,但后续要密切监测相关指标。
最后刘天舒教授总结到“我们irAEs MDT门诊成立及开诊以来,各科室通力合作,不断积累免疫治疗不良反应管理的经验。今天线上会诊讨论更是有声有色,大家都受益匪浅。复旦大学附属中山医院抗肿瘤免疫药物不良反应多学科团队也热烈欢迎各位同道提供相关病例,相互讨论与交流,共同进步,以期为肿瘤患者带来最大获益。”