如何用癌细胞做一份你吃不起的牛排?
那天晚上,最后一批拿来做研究工具的 HeLa 细胞完成了自己的使命,被我收集起来准备冻存。当我望着离心管里那一团离心沉淀得到的细胞,我出神了......

作者供图
满满十盘培养皿的细胞被收集起来,虽然数以千万计,但其实也只不过黄豆粒大小。
然而,为了养活并扩增出这一小团癌细胞,我耗费了差不多半瓶培养液和十几毫升胎牛血清,当然还有十几个培养皿、移液管。
实验操作环境也是正压层流细胞房,操作台是经过紫外消毒的超净实验台。不仅耗材和设备不便宜,伺候这些细胞还需要专人打理。如此高的资金和人力成本,我手里这一小团细胞怎么说也要大几百块钱了。

「身体被掏空」的培养皿(作者供图)
联想起之前看到的吃播,那些极尽炫富之能事的吃播博主,他们所能想到的最昂贵食材也无非是刺参、黑金鲍、澳龙、伊比利亚火腿、帝王蟹、顶级雪花牛肉,几百块钱 10 克的顶级欧洲鲟鳇鱼子酱已经是顶格。
但与我手中这一团癌细胞相比,这些珍馐美馔真的也只能算是臭弟弟而已。实不相瞒,癌细胞可能是世界上最昂贵的「食物」。
如何制作一块「癌细胞肉」?
要用癌细胞做一份美味的牛排,只靠眼前的这坨细胞肯定是不行的。
试管里的这坨细胞其貌不扬,松松散散如同烂泥,或许在味道上因为富含高浓度氨基酸的细胞质而鲜味十足,口感上目前确实乏善可陈,肯定无法提供海参的软糯、鲍鱼、澳龙的爽脆,更难以在烹饪时产生雪花牛肉那样的美拉德反应。

烧烤过程中肉类出现焦褐色,就是发生了美拉德反应(图源:soogif)
我们都知道,生物体的构成基本单位是细胞,但我们吃的肉绝不仅仅是细胞而已。
其实,一块肉的绝大多数部分是细胞外的基质,细胞仅仅是其中的小部分。
因此,培养的细胞要想做出丰富的口感、立体的风味,还必须有细胞外基质的加持!
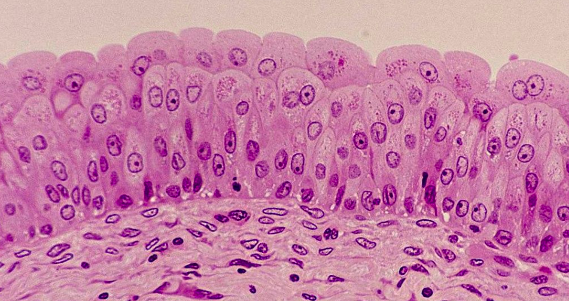
比如下面这张组织切片,我们不仅可以看到很多细胞,更能看到细胞外面颜色比较浅的细胞外基质。

细胞外颜色较浅的部分就是细胞外基质
(作者供图)
这些细胞外基质最常见的成分就是胶原蛋白,胶原蛋白又分为多种类型,最常见的是 I 型胶原。I 型胶原的口感,类似于猪蹄子和红烧肉的肉皮。热的时候软软糯糯,凉的时候 Q 弹有嚼劲。

红烧肉的肉皮里有丰富的胶原蛋白
(图源:soogif)
不过,如果指望培养皿里单层培养的细胞靠自己分泌细胞外基质,不仅效率太低,而且根本无法有效地把细胞和细胞外基质按照一定组织架构形成类似肉类的结构。
所以,高浓度胶原凝胶是一种可以尝试的路线。而在众多胶原蛋白中,提取方法最简单,综合成本最低的肯定是 I 型胶原。
我们可以用动物肌腱或者真皮层作为原料。通过酸性液体溶解或者高温熬煮的方法获得。但是高温熬煮获得的 I 型胶原就失去了生物活性,很难和活的癌细胞共同构成「癌细胞肉」,所以还是得用酸溶法。
我读硕士期间做的课题曾经做过提取动物肌腱胶原蛋白用于制造人造皮肤水凝胶的研究。当时就是用大鼠的尾巴切成段,然后抽出来里面的肌腱,然后用低浓度醋酸溶解其中的胶原蛋白。

白色的丝状物就是大鼠的肌腱(作者供图)
溶解产物经过提纯,然后用 BCA 法测定其中的蛋白质含量,最后平均下来一条体重 200g 的大鼠尾巴能提取出约 800mg 的 I 型胶原。
这时的胶原蛋白是溶于水的液态,通过混合细胞、中和有机酸,胶原凝固,就可以在体外构建出含有细胞和细胞外基质的「人造肉」。

作者供图
虽然刚造出来的人造肉像果冻一样一碰就碎,但不用着急。
随着时间推移,凝胶内的细胞会通过拉扯胶原纤维,「拧干」这块肉中的水分,并逐渐接近于正常组织的柔韧度。用这种办法,把成纤维细胞换成癌细胞就能产生类似于动物肉一样的「癌细胞肉」。
造一块「癌细胞肉」需要多少钱?
那么,通过批量扩增癌细胞,提取鼠尾胶原,体外制备「癌细胞肉」的成本有多高呢?我们来算一下。
首先是培养细胞所需要的成本。
① 血清:一般现在市面上卖的胎牛血清质量高的(如 Gibico 澳洲进口高级胎牛血清)可以达到 8000 元每 500ml,我现在用的一款比较便宜(毕竟癌细胞不挑剔),也要 2800 元每 500ml。
② 培养基:DMEM 培养基无论高糖低糖,都是 60~80 块钱每 500 ml,我们取个平均数 70 元好了。
③ 抗生素:为了防止细胞污染,还要准备青链霉素,最便宜的国产货也要 100 元每 100 ml。
④ 胰酶:给细胞传代必然需要这个,用于把细胞从培养皿上消化下来,从而转移到新的培养皿中。最便宜的国产货要 200 元每 100 ml。
所以,培养细胞的混合培养基构成:DMEM 培养基 445ml +胎牛血清 50ml + 青链霉素 5ml=62.3+280+5=347.3 元。
500ml 的培养基大概能培养出多少细胞呢?我个人的经验是,养 Hela 细胞的话满打满算 50 盘细胞,每一盘最多 300 万个细胞。
每 500ml 的完全培养基能生产 1.5 亿个细胞就是「直呼内行」级别的了不起了。此外,这 10 亿个细胞的生产过程还至少要消耗胰酶 60ml,价值 120 元。
购买细胞株要花钱、细胞培养需要无菌环境、特定的温度湿度培养箱、有经验的人工(比如我)、培养皿、移液管、离心管、水电费等等,最少最少也得算他个 300 块钱。
综合算下来,1.5 亿个细胞光生产成本,最低就要 347.3+120+300=767.3 元。每培养一亿个细胞,就需要差不多 500 块。
人体约有 40~60 万亿个细胞,取个平均数 50 万亿,按一个人 120 斤算,一斤肉有 4200 亿个细胞。
要想造 1 斤的「癌细胞肉」,咱光是造细胞就得花 4200*500=210 万元。

图源:soogif
算完了细胞,咱们再算算细胞外基质。
一只大鼠才能获得 0.8g 胶原蛋白。一斤人造「癌细胞肉」怎么说也要有 150g(以瘦猪肉中胶原蛋白含量计算),那么就得杀 188 只大鼠,大鼠的花销就又要接近 1 万块钱。当然了,这相比养细胞所需要的花销几乎可以忽略不计。
综上所述,如果我们用 HeLa 细胞和鼠尾胶原制造人造肉,一斤的成本差不多要两百多万。绝对不是任谁都能消费得起。
当然了,考虑到海拉细胞可能具有遗传人乳头瘤病毒的可能,这块「癌肉」的烹饪请务必选择全熟。
为了让这块肉口感不要太柴,我们还可以在制造过程中用脂肪干细胞诱导一些脂肪组织,填充在肉肉的间隙里,形成类似于雪花和牛的口感。
想到这里,深夜做实验的疲惫一扫而空,饥饿却突然袭来。
把细胞妥善冻好,我走出实验楼。街角路灯下,炒饭炒粉的老哥叼着烟问我:「老样子,一个鸡蛋?」
「不,今天放俩。」(策划:gyouza)

看饿了吗?(图源:soogif)
本文作者:菲利普医生(知乎 ID)
致谢:本文经 天津医科大学总医院肿瘤内科副主任医师 邵宜 专业审核