癌症细胞外囊泡通过诱导癌症相关成纤维细胞中的趋化因子而促进基质异质性

一、研究背景
癌症相关成纤维细胞(CAF)是肿瘤微环境的主要成分之一,同时还是参与组成肿瘤进展的异质群体。然而,CAF异质性如何由癌细胞控制仍然是未解之谜。
在这里,我们得出癌细胞外囊泡(EVs)在活化的成纤维细胞中诱导一系列趋化因子,并有助于形成异质性。在弥漫型胃癌的异种移植模型中,我们研究了两种不同的成纤维细胞亚群,其具有α-平滑肌肌节蛋白(α-SMA)表达或趋化因子表达。EV的miRNA分析和转染实验表明,几种miRNA在成纤维细胞中诱导趋化因子。
临床上,CAF中CXCL1和CXCL8的异常激活与胃癌患者的较差存活相关。因此,CAF中趋化因子表达与肿瘤进展之间的这种联系可为抗癌治疗提供新的方法。
二、研究内容
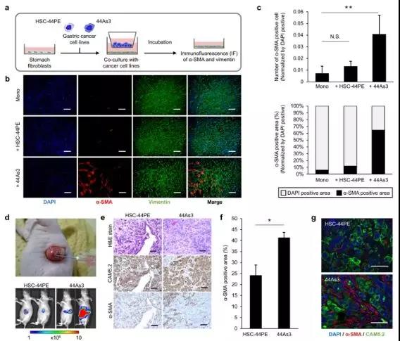
Part1 高转移性胃癌细胞强烈影响基质成纤维细胞活化
我们建立了两种类型的DGC细胞系,HSC-44PE具有低转移潜能;44As3是高转移细胞系。

在transwell培养系统下,用DGC细胞系培养永生化胃成纤维细胞系,并通过免疫荧光染色α-SMA评估成纤维细胞活化。
波形蛋白与44As3共培养的成纤维细胞中,α-SMA的表达显着增加。但只有一小部分波形蛋白阳性成纤维细胞表达α-SMA。
将这些DGC细胞系原位植入裸鼠中。44As3迅速扩散到小鼠腹腔,但HSC-44PE的肿瘤生长局限于植入细胞的区域。
在两种原位原发性肿瘤中,具有广泛间质纤维化的CAM5.2阳性癌细胞增殖活跃。在44As3的原位原发性肿瘤中观察到,基质成纤维细胞中α-SMA表达的显着增加。
Part2 高转移性DGC细胞诱导成纤维细胞中的促炎基因以及肌成纤维细胞表型
我们在单培养和与两种类型的癌细胞系共培养中进行成纤维细胞的全转录组分析。与HSC-44PE相比,44As3影响成纤维细胞中大量基因的表达。主要成分分析(PCA)与全转录组数据的比较反映了iNF-58和iNF-60之间起源的差异。

使用262个选择的基因进行基因本体论(GO)分析,所述基因的表达在与44As3共培养的成纤维细胞中显着增加。在CXCL家族基因的热图中所示,44As3显着增强了这些趋化因子基因在成纤维细胞中的表达。
Part3 高转移性DGC细胞系44As3产生不同的α-SMA阳性和趋化因子阳性成纤维细胞亚群

我们在共培养系统中进行了α-SMA和CXCL8的免疫荧光分析,并检测了每种蛋白质标记物的细胞定位。得出有两个CAF亚群,一个肌纤维母细胞和另一个促炎性成纤维细胞。
Part4 来自高转移性DGC细胞的EV,选择性地调节成纤维细胞中趋化因子的表达
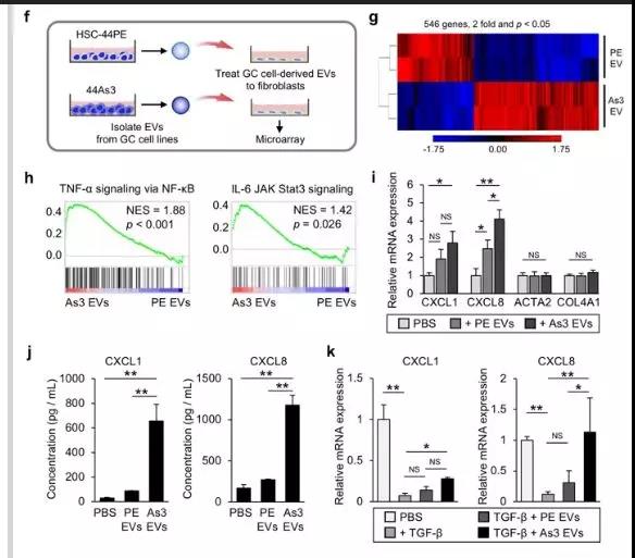
EV是了解肿瘤微环境中细胞间通讯的分子基础的重要线索,我们通过超速离心从HSC-44PE和44As3的条件培养基中分离出EV,并将它们加入到iNF-58中。


在44As3 EV处理的iNF-58中,“通过NF-κB的TNF-α信号传导”和“IL-6JAK Stat3信号传导”途径显着富集。
出乎意料的是,44As3 EV和HSC-44PE EV都未能在iNF-58细胞中诱导ACTA2和COL4A1表达。
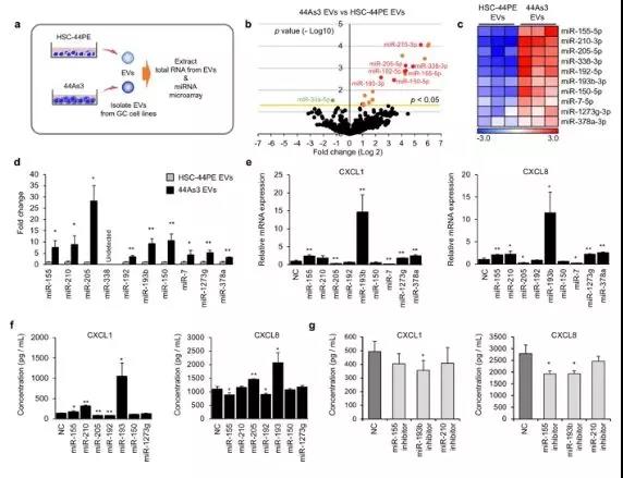
Part5 高转移性DGC细胞的EV传递各种miRNA来诱导成纤维细胞中趋化因子的表达
我们对这些癌症来源的EV进行了miRNA微阵列分析,在其中检测到756个miRNA的信号。与HSC-44PE EV相比,44As3 EV中仅有19种miRNA显着差异检测,我们从它们中选择了10个miRNA并进行了qRT-PCR以验证miRNA微阵列数据。

在通过qRT-PCR验证的7种miRNA中,miR-155和miR-210被报道为促炎基因表达的调节剂。用miR-155,miR-193b和miR-210模拟物转染诱导iNF-58细胞中的CXCL1和CXCL8基因表达和蛋白质产生。
Part6 CAF中趋化因子的表达与GC进展密切相关
我们使用86个GC组织样本进行了IHC, 在GC组织样品中,基质成纤维细胞以及恶性上皮细胞和炎性细胞中检测到CXCL8, 我们通过计数CXCL8阳性基质成纤维细胞评估CXCL8阳性和CXCL8阴性病例,并测试与临床病理学参数的相关性。


CXCL8阳性病例与性别、T级,N级,M级和肿瘤分期呈正相关。
组织学上,在DGC病例中更频繁地观察到基质成纤维细胞中的CXCL8表达。对CAF中CXCL8染色的分析显示,CAF中CXCL8阳性与GC患者预后不良显着相关。
三、总结与思考
CAF中,多细胞来源性和蛋白标志物的非均匀性被认为有助于CAF的异质性,并且导致CAF难以被研究。
在本研究中,我们发现了高度恶性的癌细胞迫使周围的成纤维细胞产生适当的CAF亚群用于其进展和转移。以及,来自CAF亚群的趋化因子协调适当的肿瘤微环境以影响癌症进展和转移。
最后,控制CAF亚群的分子机制可能在器官之间不同,应进一步检查以完成阐明组织中CAF异质性的分子机制和功能。