有诺有节——HR+晚期乳腺癌,口服节拍化疗为患者带来生存获益
对于激素受体阳性(HR+)晚期乳腺癌的治疗,内分泌治疗是非常重要的治疗手段,尽管如此,化疗在整个疾病管理中也不可或缺。口服节拍化疗采用低剂量、高频率、持续性的给药方式,兼具疗效和安全性双重优势,此外口服化疗可以居家使用,尤其是在疫情期间,给患者提供了重要的治疗手段。本文就口服长春瑞滨节拍化疗在一例HR+/HER2-晚期乳腺癌患者的应用经验作一分享。
病例介绍
孙晓莹 教授
患者基本情况
女性患者,72,以“右乳癌、多发转移2年,多程治疗后”为主诉入院。患者2018年3月出现右乳肿物就诊,乳腺肿物,无疼痛,无乳头溢液,无局部皮肤改变。既往健康状况一般,体力较差,乏力,饮食睡眠正常,大小便正常。既往高血压病病史20余年,现口服硝苯地平缓释片10mg QD,血压控制在正常范围。无糖尿病、冠心病病史,无肝炎、结核等传染病病史。无肿瘤家族史。
体格检查
右乳内上象限可触及肿物,直径约5 cm x 6 cm,质韧,活动度差。对侧乳房未触及结节。双侧腋窝未触及肿大淋巴结。
辅助检查
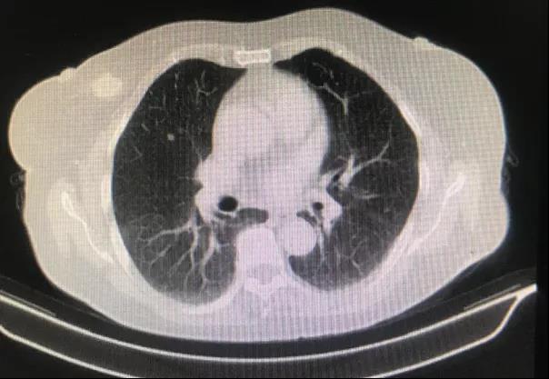
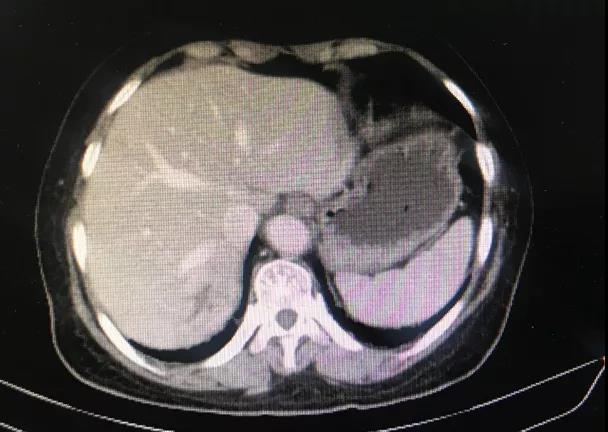
乳腺超声:右乳1-2点乳晕处探及低回声,大小约3.5 cm x 1.6 cm。肝脏超声:肝内转移瘤,最大位于肝右后叶,约5.0 cm x 3.8 cm。胸腹部CT:右乳内上象限结节,大小约2.0 cm x 1.8 cm,分叶状,边缘多发毛刺,考虑恶性。双肺多发结节,大者约0.5 cm x 0.5 cm,考虑转移。肝脏内多发结节,大者约4.5 cm x 3.9 cm,考虑转移。PET-CT检查:右乳恶性结节,约1.9 cm x 1.7 cm,双肺多发转移结节,大者约0.6 cm x 0.5 cm,肝脏多发转移结节,大者约5.0 cm x 4.6 cm。



手术/活检病理
右乳肿物核心针穿刺病理:乳腺浸润性癌,伴神经内分泌表达;免疫组化:ER(+,95%强阳),PR(-),HER2(-),Ki-67(密集区10%),AR(+,40%弱阳)。肝脏肿物核心针穿刺病理:肝组织中见恶性肿瘤,结合免疫组化,符合乳腺来源,伴神经内分泌化,免疫组化:ER(+,95%强阳),PR(-),HER2(2+,Fish检测基因无扩增),Ki-67(+,15%),AR(+,40%弱阳)。基因检测结果:无。
实验室检查
血常规:白细胞4.12x109/L、中性粒细胞计数2.17x109/L、血红蛋白137g/L、血小板238 x109/L。生化:ALT 14U/L,AST 19U/L,TBIL 13.83 umol/L,Crea 50 umol/L,Urea 7.8 umol/L。心肺功能:正常。肿瘤指标:CEA、CA125、CA153 正常范围。
临床诊断
乳腺浸润性癌cT2N0M1,Ⅳ期,多发肺转移、多发肝转移;分子分型:Luminal B型。
一线内分泌治疗
患者于2018年6月至2019年2月期间接受一线内分泌治疗,方案为氟维司群500 mg im 每月1次(首次给药后两周时再给与500 mg im);使用时间:共9个月;治疗期间无明显毒副作用。疗效评价:最佳疗效SD(缩小17%,但乳腺病灶略增大);CT检查:乳腺病灶2.0 cm x 1.5 cm → 2.0 cm x 2.1 cm;肺转移灶0.5 cm x 0.4 cm → 0.5 cm x 0.4 cm;肝转移灶3.3 cm x 3.1 cm → 2.3 x 2.1 cm。
一线治疗过程中,鉴于患者乳腺病灶略增大,于2019年2月至2019年7月期间,在氟维司群基础上,加用阿那曲唑治疗,方案为氟维司群500 mg im 每月1次+阿那曲唑1 mg QD po,共用药6个月;治疗期间无明显毒副作用。最佳疗效SD(缩小12%),11个月后PD(增大43%),PFS11个月;,6个月后PD(增大50%);CT检查:乳腺病灶2.0 cm x 2.1 cm → 2.6 cm x 2.3 cm;肺转移灶0.5 cm x 0.4 cm → 0.7 cm x 0.3 cm;肝转移灶2.3 cm x 2.1 cm → 4.0 cm x 2.9 cm。
一线化疗
一线内分泌治疗进展后,换用化疗。于2019年7月至2020年5月期间接受口服长春瑞滨单药50mg 每周三次治疗,共用药11个月。毒副作用评估,表现为Ⅰ度骨髓抑制。疗效评价:最佳疗效SD,PFS 11个月;CT评估:乳腺病灶2.6 cm → 2.7 cm → 3.5 cm;肺转移灶0.7 cm → 0.7 cm → 1.3 cm;肝转移灶4.0 cm → 3.1 cm → 4.5 cm。
二线内分泌治疗
2020年5至今,接受二线内分泌治疗,方案为哌柏西利75 mg po qd d1-21+依西美坦片25 mg,po,qd。目前疗效稳定,持续该方案治疗。
专家点评
马飞 教授
患者为一例首诊Ⅳ期老年晚期乳腺癌,合并多发肺和肝脏转移,虽然合并多发脏器转移,但是没有内脏危象,可以选择一线内分泌治疗。患者一线接受氟维司群治疗9个月,最佳疗效为SD,考虑病灶缓慢增大,后续在氟维司群基础上加用阿那曲唑治疗,但疗效有限,病灶继续增大,用药6个月后评估进展。使用长春瑞滨一线口服节拍化疗,治疗过程中,病灶持续稳定,PFS达到11个月,且整个治疗过程中耐受性良好。后续患者疾病出现进展,但一般状态尚可,继续接受二线内分泌联合靶向治疗。从HR+/HER2-晚期乳腺癌患者的治疗过程来看,内分泌治疗和化疗都扮演着重要角色,对患者的整个疾病管理和生存期的延长同等重要。本例患者高龄,体质差,静脉化疗不能耐受,内分泌治疗后进展,口服长春瑞滨单药节拍口服化疗后获得近1年的PFS,非常难得。结合本病例,接下来将会从以下几个方面对口服长春瑞滨节拍化疗在晚期乳腺癌患者中的应用进行详细解读:
什么是节拍化疗?
化疗目前仍是晚期恶性肿瘤治疗的基石,然而传统化疗采用最大耐受剂量,毒性大,作用不持久,容易产生耐药,限制了临床应用。节拍化疗是近年来兴起的一种新的治疗模式,通过相对低剂量、频繁的应用细胞毒性药物,使药物能够长时间维持在相对较低、但仍有抗肿瘤活性的血药浓度,并减轻药物毒副作用[1]。基于其应用模式,节拍化疗适用于肿瘤生长缓慢、考虑长期生存及生活质量要求高的患者,也适用于老年及PS评分差的患者。
长春瑞滨节拍化疗具有独特的作用机理,可作为长期治疗的首选药物之一
相比于传统化疗,节拍化疗有其独特的作用机理。一方面,节拍化疗通过缩短治疗间歇,降低肿瘤细胞在治疗间歇期的修复,实现直接抑制肿瘤细胞的作用。另一方面,节拍化疗还表现出抗肿瘤血管生成作用和免疫调节作用[2]。
长春瑞滨作为微管蛋白抑制剂,具有独特的抗血管生成作用。其可以通过作用于黏着斑、黏着连接,阻断VEGF受体及其它相关信号的传导通路,干扰细胞骨架的形成及细胞的去极化等多种途径作用于内皮细胞起到抗血管生成作用。长春瑞滨节拍化疗则可以通过以下几种机制抑制肿瘤血管生成:①长春瑞滨节拍化疗可以减少循环内皮祖细胞(CEPs)的数量和活性,从而抑制肿瘤血管生成。②长春瑞滨节拍化疗还可以显著下调促血管生成基因的表达,并上调抗血管生成基因的表达。长春瑞滨增加血小板反应蛋白(TSP-1,血管生成抑制剂)的血浆浓度。在长春瑞滨抑制人脐静脉内皮细胞增殖实验中显示,长春瑞滨节拍化疗相比于传统化疗,抗血管生成作用更凸显[3-6]。
此外,研究发现节拍化疗能够通过减少Treg细胞数量和抑制Treg功能,增加抗肿瘤免疫反应。一项探索性研究对服用长春瑞滨节拍化疗治疗的患者进行连续的外周血细胞检测,结果显示,至用药56天后,患者的Treg细胞数量持续下降,伴随细胞毒性T细胞数目的增多[7-9]。
多项临床研究证实长春瑞滨节拍化疗的疗效
在节拍化疗研究早期一项评估口服长春瑞滨单药节拍化疗一线治疗老年乳腺癌的研究中,共入组34例晚期乳腺癌患者,患者的中位年龄为74,长春瑞滨用药剂量为每周 70 mg/m2,给药方案为每周d1、3、5,连用3周,停药1周,4周为1周期,治疗持续时间最长为12个周期。研究发现,入组患者中位PFS和OS分别为7.7和15.9个月。就疗效而言,2例患者达到完全缓解(CR),11例部分缓解(PR),客观缓解率(ORR)为38%。治疗期间无患者死亡或治疗停止,治疗耐受性良好,多数毒性为1-2级。该研究首次证实了口服长春瑞滨节拍化疗的良好耐受性和可行性[10]。De Luliis等开展了另外一项针对经治老年晚期乳腺癌患者的II期临床研究,给药方案为长春瑞滨 30 mg隔天给药,中位PFS为9.2个月,ORR可以达到68.7%,临床获益率(CBR)为50%。并且没有3级或4级不良反应发生,再次证实了长春瑞滨节拍化疗的有效性及安全性[11]。
除单药以外,长春瑞滨节拍化疗联合其他化疗药物如卡培他滨的研究也取得较好的疗效[12]。此外,联合靶向或内分泌治疗的研究也正在进行当中,值得期待。在晚期乳腺癌患者中使用节拍化疗的欧洲专家会议共识中(THE PENELOPE PROJECT)指出,节拍长春瑞滨单药治疗的推荐剂量为50 mg 每周三次,在联合方案中的剂量为30-40 mg 每周三次[13]。总体而言,口服长春瑞滨节拍化疗兼具疗效和安全性双重优势,且可以居家服用,尤其是在疫情期间,给患者提供了重要的治疗手段。晚期乳腺癌已经进入“慢病化”管理,对于HR+/HER2-的晚期乳腺癌而言,虽然内分泌治疗具有重要地位,但是化疗也必不可少,可以给患者带来一更长的生存获益。