一个需要高度警惕的疝-腹股沟滑动性疝的超声表现
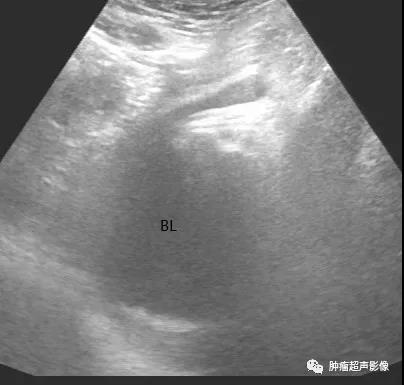
腹股沟滑动疝系指覆盖脏器的腹膜脏层随同脏器一同经疝环向腹股沟管脱出,故其疝囊壁的一部分由不完全被腹膜脏层所包绕的脏器构成,同时滑出的脏器又构成了疝内容物。腹股沟滑动疝属于腹股沟疝的一种特殊类型,可以是斜疝,也可以是直疝。最常见滑出的脏器依次为乙状结肠、盲肠、膀胱、子宫及附件等。临床上常以滑出的器官命名:如膀胱滑动疝、盲肠滑动疝等。此型疝不易或不能完全回纳(属于难复性疝的一种),一旦嵌顿容易导致器官缺血坏死,后果严重。此型疝临床常无特征性表现,术前能确定诊断者较少。部分可有便秘症状(由于滑出的结肠与腹壁粘连);部分可有排尿不尽症状(膀胱滑出);阑尾滑出时,可并发阑尾炎(易误诊为嵌顿疝),此时往往只考虑嵌顿疝的处理,而忽略了阑尾炎的处理。现在超声在疝的诊断中发挥了极大的价值,因此在检查疝的过程中需要仔细检查其内容物(如无回声的膀胱、有盲端的阑尾、有卵泡的卵巢等),发现滑动性疝,应提示外科医师,术中避免损伤和误扎滑出的脏器。

腹股沟滑动性疝(阑尾疝入):术前超声显示疝入阑尾正常(测量键),术中仔细探查阑尾正常,如果并发阑尾炎需要一并切除。

膀胱滑动性疝:超声显示膀胱部分滑入腹股沟,患者尿不尽容易误诊为前列腺问题。