重组人血管内皮抑制素联合化疗治疗晚期鳞状NSCLC,带来完全缓解和长期疾病控制

重组人血管内皮抑制素联合化疗的长疗程治疗,可能是更适合中国晚期非小细胞肺癌(NSCLC)患者的一线治疗方案。
抗血管生成药物自诞生以来,已在多种实体瘤中占据了举足轻重的地位。在发病率和死亡率均占首位的肺癌领域,抗血管生成药物与化疗、免疫治疗等手段联合应用,已经被证明能够改善患者预后,带来远期生存获益。
本期“例例声辉”分享一例晚期鳞状NSCLC患者,一线应用重组人血管内皮抑制素联合化疗治疗后达到完全缓解(CR),后接受重组人血管内皮抑制素单药维持治疗,无进展生存期(PFS)达到28个月。
基本病史
患者男性,54,吸烟36年,40支/天。
2017年7月行胸部CT检查提示右肺占位,直径5.3cm;纤支镜活检病理示局灶原位癌形成。
2017年7月31日行VATS(电视辅助胸腔镜手术)右上肺切除术+淋巴结清扫术,术后病理诊断示:鳞状细胞癌。2、4、7、8、9、10、11、12组淋巴结均未查见转移。术后诊断为:右肺上叶支气管鳞癌(pT2bN0M0,IIA期)。
2017年9月至我院就诊,诊断为右肺上叶支气管鳞癌(pT2bN0M0,IIA期)。行吉西他滨+顺铂(GP)方案辅助化疗4周期。
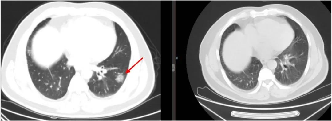
2018年3月13日门诊复查CT证实疾病复发(双肺下叶多发结节影,左肺下叶病灶较大,直径约1.7cm)。
诊断为右肺上叶支气管鳞癌术后肺内多发转移(IV期)。
结合指南推荐与患者实际情况,一线治疗方案选择重组人血管内皮抑制素联合长春瑞滨+顺铂(NP)方案化疗4周期,疗效评价为CR。后续使用重组人血管内皮抑制素单药维持治疗29个周期。
治疗中发生的不良事件主要为血压升高,但仅评定为2级,经饮食调节后恢复正常,治疗过程中整体安全性好。


2020年07月21日复查胸部CT提示疾病进展,患者PFS超过28个月。
从该患者诊疗过程可见,化疗联合重组人血管内皮抑制素一线治疗鳞状NSCLC疗效显著,且未明显增加不良反应,患者生活质量得以保障。
葛俊教授点评
晚期NSCLC的一线治疗虽然已经进入免疫治疗时代,但由于免疫治疗的安全性和治疗费用等问题,使其并未完全取代化疗联合抗血管生成药物这一治疗模式。重组人血管内皮抑制素联合化疗目前仍是CSCO原发性肺癌诊疗指南、《晚期非小细胞肺癌抗血管生成药物治疗中国专家共识》等推荐的晚期NSCLC一线用药,且重组人血管内皮抑制素被推荐用于维持治疗。多项临床研究发现,该治疗方案用于NSCLC的一线治疗,患者的中位生存期(OS)为13-17个月[1-2];其中重组人血管内皮抑制素治疗超过4个周期的患者,中位OS接近两年[3]。该治疗方案同时兼具较好的安全性,且鳞癌患者同样适用。
本例鳞癌患者一线应用重组人血管内皮抑制素联合化疗实现了疾病完全缓解,此后以重组人血管内皮抑制素单药维持治疗获得了28个月的PFS,这一疗效远远超过了目前所有晚期鳞状NSCLC免疫治疗研究的中位PFS结果。
在晚期鳞状NSCLC的一线治疗中,重组人血管内皮抑制素联合含铂化疗仍占据一席之地,且有望通过定位特殊人群、寻找潜在biomarker等方式进一步实现精准化,不断提高患者的获益。
参考文献
[1]Han B, Xiu Q, Wang H, et al. A multicenter, randomized, double-blind, placebo-controlled study to evaluate the efficacy of paclitaxel-carboplatin alone or with endostar for advanced non-small cell lung cancer[J]. Journal of Thoracic Oncology, 2011, 6(6): 1104-1109.
[2]Wang J, Sun Y, Qin S. Results of phase IV clinical trial of combining endostar with chemotherapy for treatment of advanced non-small cell lung cancer(NSCLC) [J]. Journal of Clinical Oncology, 2010, 28(15_suppl): 7598.
[3]Hu W, Fang J, Nie J, et al. Efficacy and safety of extended use of platinum-based doublet chemotherapy plus endostatin in patients with advanced nonsmall cell lung cancer[J]. Medicine, 2016, 95(28).