重度营养不良晚期胃癌治疗病例分享
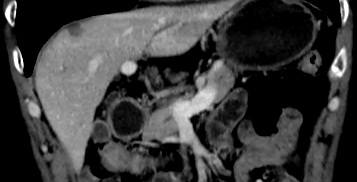
患者 李某某,男,65岁。2019-08外院胃镜提示:贲门巨大溃疡性病变。08-29我院病理会诊(H191689):贲门中分化腺癌。免疫组化:HER2(3+),Ki-67(+,约30%)。08-30胸腹部CT扫描:示胃贲门及小弯病灶伴肝脏、肝门区、肝胃间隙多发淋巴结转移,CEA、CA199明显升高。08-29就诊我科,确定发生了重度营养不良(PG-SGA评级C级)。诊断:贲门癌复发,肝脏、腹腔淋巴结多发转移( IV期, HER2阳性);重度营养不良PG-SGA C级。
一线化疗:
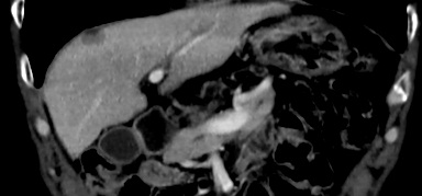
09-01行“奥沙利铂+替吉奥”化疗1周期,10-03至11-25行“曲妥珠单抗+奥沙利铂+替吉奥”治疗3周期。10-24复查胸腹部CT扫描:多处病灶均缩小,CEA、CA199均下降,评估SD缩小,体重增加5%,营养状况改善,PG-SGA评级为B级。
二线化疗:
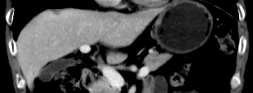
12-20胸腹部CT扫描:肝脏病灶增大。12-21至2020-01-15“曲妥珠单抗+甲磺酸阿帕替尼+白蛋白结合型紫杉醇+替吉奥”治疗2周期,期间出现II°口腔溃疡,停药后好转。01-15日复查CEA、CA199下降明显,后患者口服“甲磺酸阿帕替尼”出现纳差、口腔溃疡,乏力明显,不能耐受,逐渐停药。2月份因故暂停1周期治疗。
03-03复查CEA、CA199降至正常范围,胸腹部CT提示胃壁变薄,肝脏病灶及多发淋巴结较前均明显缩小,营养状况改善,3月内体重增加7.5%,PG-SGA评级再次恢复为B级。
03-04至08-11 “曲妥珠单抗+白蛋白结合型紫杉醇+替吉奥”方案治疗7周期。05-06胸腹部CT扫描:肝脏病灶较03-03老片缩小,评估病情SD。期间出现I°白细胞减少,低钾血症,一过性心功能下降,对症处理后好转。目前一般状况评分0-1分,近3月体重较3月前增加7%。
基线评估

一线治疗有效

一线治疗进展

二线治疗再次有效

医者自评: 该患者系HER2阳性晚期胃癌伴重度营养不良。据2019年CSCO胃癌诊疗指南,一线治疗首选抗HER2单克隆抗体联合化疗,因患者年龄大和营养状况不佳,无法耐受高强度的三药联合化疗,在营养代谢治疗同时,选择II级推荐的“奥沙利铂+替吉奥”两药联合方案化疗,并得以顺利实施,然而PFS持续时间不足4个月。对于难治性HER2阳性晚期转移性胃癌伴营养不良的患者,我们做好肿瘤学和营养学的充分评估后,保留抗驱动基因治疗药物,选择二线化疗方案,采用”曲妥珠单抗+白蛋白紫杉醇+替吉奥”联合化疗方案,同时运用营养代谢治疗“保驾护航”,再次获得8个月的持续缓解,患者生活质量明显提高。