老大爷高烧、多关节炎,居然是淋巴瘤搞的鬼?
你知道吗,淋巴瘤也会导致关节炎!
近期,Lancet Rheumatology在线发表了一则颇有挑战的典型病例,让我们一起来学习一下~
患者主诉
一位64岁的老年男子,因高热(口腔温度38-39℃)、爆发性发作的严重关节痛及大幅的体重下降(1月内下降4kg)来医院就诊。
检查结果
经检查,这位患者双手背部水肿(图1),对称性关节肿痛(包括近节指间关节、掌指关节、腕关节、肘关节及膝关节)。此外还发现全身性淋巴结病(双侧上颈部、左侧下颈部、右侧锁骨上部,以及双侧腹股沟)和肝脾肿大。

实验室检查结果显示明显贫血(血红蛋白Hb=8g/dl);低白蛋白血症(2.8g/dl);高球蛋白血症(5.2g/dl);血沉增快(35mm/h);C反应蛋白(CRP)浓度升高(11/3mg/dl)。
抗核抗体(ANA)、类风湿因子(RF)及抗环瓜氨酸肽抗体(CCP)均为阴性。PET-CT显示膈肌两侧均有淋巴结肿大,两侧肩部及右腕部有显影(图2)。

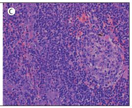
切除一个颈部淋巴结进行HE染色(图3),发现淋巴细胞结构消失,PD-1及CD3阳性,周围环绕着树枝状高内皮静脉网络,这些表现均提示血管免疫母细胞性T细胞淋巴瘤(angioimmunoblastic T-cell lymphoma)。

治疗过程及分析
患者被转到血液科病房并开始接受CHOP化疗(环磷酰胺、多柔比星、长春新碱、强的松),发热和关节炎的症状均得以缓解。
很多病因可引起伴发热的多关节炎、感染(病毒感染、感染性心内膜炎、莱姆病)、类感染(风湿热、反应性关节炎)、真正的关节炎(成人起病的斯蒂尔病)、结缔组织病(系统性红斑狼疮)、脉管炎(巨细胞动脉炎、ANCA相关脉管炎)以及类肾病性关节炎(para-neoplastic arthritis)等。
类肾病性关节炎是继发于实体器官(尤其是恶性肿瘤)或淋巴网状内皮细胞恶性疾病的关节炎,但并非肿瘤浸润直接导致。类肾病性关节炎的重要线索包括高龄、爆发性起病、与病理表现不成比例的严重疼痛、对改善病情的抗风湿药物(DMARDs)无反应、体重大幅下降、高度增加的急性期反应物,以及血清RF、抗CCP、ANA阴性等。
类肾病性关节炎的特定表现如对称性关节炎、下肢症状为主、不侵犯小关节、掌筋膜炎及对称性滑膜炎容易出坑的水肿,这些症状应使临床医生警醒并探寻潜在的恶性疾病。
在该患者的案例中,潜在的恶性疾病是血管免疫母细胞性T细胞淋巴瘤。尽管整体来看,这是一种不常见的非霍奇金淋巴瘤(占全球淋巴瘤患者的1%-2%),但在患有外周T细胞淋巴瘤的患者中,它还是蛮常见的(发生率18%),特别是对于老年人群(中位年龄65岁)。
血管免疫母细胞性T细胞淋巴瘤以其免疫活化特征而著称,如红疹、关节炎和血细胞减少、多发性软骨炎华和血丙种球蛋白过多、自身抗体阳性等。这些症状被认为继发于血清中使得促炎因子浓度增高,以及肿瘤细胞分泌的肿瘤坏死因子-α(TNF-α)和白介素-6(IL-6)显著增高。
这个案例强调了“线索”的重要性,例如老年起病、爆发性发作的关节痛和体重减轻。对于这样的患者,需要高度重视并进行全面检查,以便做出对类肾病性关节炎的准确诊断。
参考文献
[1] Sakshi Mittal et al. Fever and arthritis in a 64-year-old man. Lancet Rheumatol 2019; 1: e194.