12岁少女突发瘫痪为哪般?中肿团队接力“拆弹”逆转人生
突发瘫痪为哪般?骨科团队急诊手术极限挑战
少女小李(化名)家住广东廉江,12岁的她正处于花一般的年纪,今年受疫情影响始终在家线上学习。6月的一个傍晚,小李在运动后突然感到一阵下肢麻木,身体持续乏力。

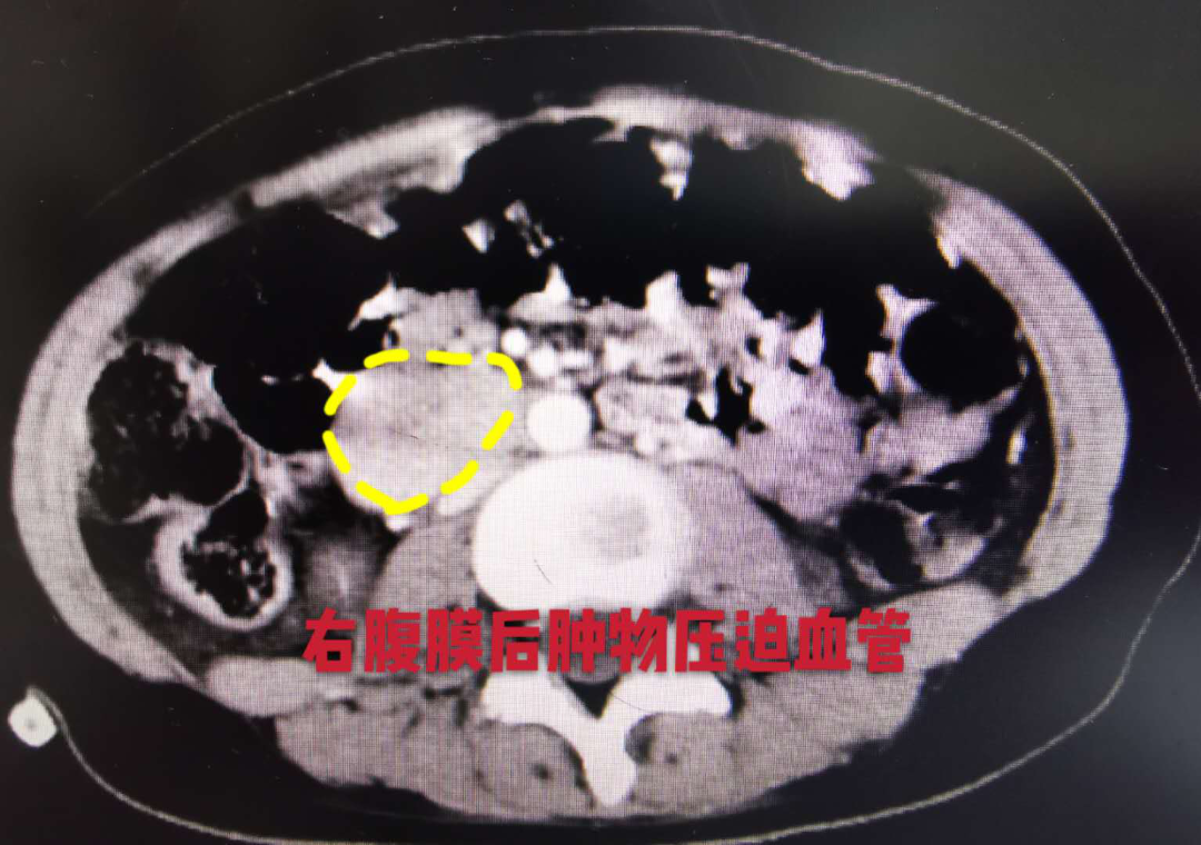
最初小李以为是自己猛然加强运动身体不适应,没想到短短数天内,情况竟然迅速进展为全下肢无力,走路疼痛不稳,感觉和运动功能部分丧失。家人马上将小李送到当地医院进行检查,检查结果着实把全家人吓了一跳,小李的第8胸椎和第8后肋存在不规则肿块!为进一步确诊治疗,家人带小李来到中山大学肿瘤防治中心就诊,进一步检查发现小李全身上下竟然有两处“炸弹”!小李的胸8椎体及左侧第8后肋骨肿物达68mm×67mm×37mm,由于肿物压迫脊髓,导致小李下肢神经功能丧失;同时合并右侧腹膜后肾下级血管旁肿物约39mm×28mm,压迫后方的下腔静脉和内侧的腹主动脉。
情况更为严重的是,入院体检结果显示小李血压异常升高,最高时达200/130mmHg, 结合尿VMA检查异常升高,考虑为异位嗜铬细胞瘤(副神经节瘤)。全身上下两处“炸弹”导致小李的脊髓压迫情况严重,血压异常升高,如果48小时无法解除压迫,将会对神经功能造成不可逆的损伤。

为帮助小李尽快“拆弹”,中肿骨与软组织科王晋教授团队立刻安排了紧急MDT会诊,决定为小李进行急诊骨科手术,尽快解除神经压迫症状。骨科团队实施第八胸椎和肋骨的旋转整块切除+钉棒系统内固定术,术中患者血压一过性升高到220/140mmHg,及时给与控制降压后顺利完成“拆弹”。术后病理检查确诊小李的肿物性质确为嗜铬细胞瘤。
泌尿外科团队“拆弹”再接再厉,中肿多学科团队接力守护
胸椎肿瘤成功“拆弹”后小李的下肢活动功能显著改善,可自主抬高下肢,神经感觉功能也基本恢复正常。然而,脊髓压迫的情况虽已解除,仍有一“弹”在身的小李血压、心率还是居高不下,基本维持在180/110mmH、130次/分左右,需持续泵入药物降压。

中肿泌尿外科MDT团队紧急接力会诊,认为小李目前血压升高因腹膜后副神经节瘤引起,目前需要持续静脉给药才能勉强控制血压,如果血压控制不理想,有可能会发生严重的心血管并发症,只有手术切除肿物才有可能让血压降至正常!然而,12岁的小李刚经历了一场骨科大手术,术中出血约1500ml,她的体质是否可以再次承受一次大手术?

多学科团队针对小李的病例反复开展讨论,并与小李家人充分沟通,决定由泌尿外科团队采取对患者机体损伤较小的腹腔镜辅助的腹膜后肿物切除术,手术麻醉科、重症医学科倾力配合。
小李的手术由曾维安教授带领欧超鹏医师全程做好麻醉管理,在泌尿外科周芳坚教授团队指导下,由董培副主任医师主刀。虽然小李的肿物血供非常丰富,并与腔静脉粘连紧密,术中血压一过性升高达180/120mmHg,但在多学科手术团队的默契配合下,小李右腹膜后的“炸弹”终于拆除成功!肿物切除后,小李的血压、心率即刻降至正常。
术后正值周末,转入ICU的小李出现一过性肾上腺皮质功能不全及发热表现,主管医生汪道峰副主任医师当机立断,及时予以补充肾上腺皮质激素并进行对症处理,情况稳定转回泌尿外科病房。在泌尿外科护理负责人卢惠明的带领下,护理团队时刻关注小李血压、心率等生命体征,并帮助小李进行系统性的术后快速功能康复训练。在多学科团队的接力守护下,术后3天小李已经开始下床活动,术后5天,12岁的少女小李顺利出院了!从下肢瘫痪到重新站起,历经一个月的中肿“拆弹”之旅,小李表示将努力复健,期待尽快回到学校。新学期将至,相信不久后12岁的少女小李又可以回归快乐的校园生活了。

小can话你知:嗜铬细胞瘤是什么?
嗜铬细胞瘤起源于肾上腺髓质、交感神经节或其他部位的嗜铬组织,高发于20-50岁人群。80%~90%的嗜铬细胞瘤都是长在肾上腺上,且多为一侧性;长在肾上腺外嗜铬细胞瘤称为副神经节瘤,主要位于腹膜外、腹主动脉旁。肿瘤分泌过量的儿茶酚胺,引起血管收缩,导致高血压、头痛、心悸、高代谢状态、高血糖、多汗等,大部分患者因为长期高血压导致心脑肾损害,因为突发严重高血压,导致高血压危象,危及生命。年轻人出现异常的血压升高需要警惕肾上腺嗜铬细胞瘤可能,需要去专科医院进一步检查哦!