从生命宣告仅剩3个月到人生大逆转,“杀癌前锋”TILs疗法对抗实体瘤究竟有多厉害?
近年来,被称为“第四种疗法”的免疫治疗是国内外肿瘤治疗研究领域的绝对热点,可以称之为一次革命性的突破。但是说到免疫治疗,大多数人可能首先想到的是PD-1/PD-L1抗体,K药、O药等,还有经常跟大家科普到的CAR-T疗法。但目前,大多数免疫治疗对非实体肿瘤更为有效。
今天,要跟大家分享的一种免疫疗法,竟然在实体瘤的治疗上表现出优秀的临床结果,这就是:肿瘤浸润淋巴细胞(TILs)疗法。因为它,更多癌症患者有了治愈的希望。
TILs疗法,简单点讲就是将手术切除的肿瘤组织中的淋巴细胞分离纯化,挑选出其中能特异性抗癌的淋巴细胞,扩增活化后回输。这类疗法拥有30多年的历史,最早用于恶性黑色素瘤,近年来在乳腺癌、结直肠癌、胆管癌、宫颈癌、肺癌等多种实体瘤中都体现出不俗的疗效。
乳腺癌:TILs疗法让生存期仅剩3个月的患者重获新生
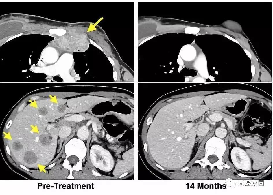
2015年,49岁的Judy Perkins 是一名ER+/HER-晚期乳腺癌患者,接受过化疗、内分泌等标准治疗,但是全部耐药,全身多处转移。
鉴于病情较严重,已经没有办法通过常规的方法治疗,所以医生预测,她最多只能活3个月。早在此前,她曾经也接受过免疫治疗的临床试验。
研究人员们在她的肿瘤里寻找到了肿瘤浸润性免疫细胞。在分离出这些免疫细胞后,科学家们决定对它们进行大量扩增,再输回到患者体内。
一周过后,Judy Perkins感觉自己的身体起了明显的变化。比如她长在胸部的肿瘤,感觉逐渐缩小。又过了一两周,胸腔内的肿瘤荡然无存。

左图黄色箭头是治疗前肿瘤位置;右图是治疗结束14个月后的复查:肿瘤完全消失
结直肠癌:1400亿个免疫细胞进入体内打败7个肿瘤病灶
2013年,席琳·瑞安(Celine Ryan)不幸患上结肠癌,在接受放疗与化疗之后癌症还是不断复发,并且癌细胞又结肠转移到肺部,长出了7个肿瘤。在走投无路的情况下,席琳参与到了美国国立癌症研究所的一项临床试验中,负责此次临床试验的,是全球知名的肿瘤学家Steven Rosenberg教授。
研究人员从她的体内选择了一组免疫活性较高的肿瘤浸润淋巴细胞进行培养。最后,研究人员将一千亿个体外培养好的肿瘤浸润淋巴细胞注射进了席琳体内,让这些肿瘤浸润淋巴细胞去对抗癌细胞。
在随后的9个月中,席琳肺部的7个肿瘤中,有6个明显缩小,并最终消失。最后一个对治疗没有反应的肿瘤则通过手术被医生切除。如今,她的体内已经检测不到任何癌细胞了。

胆管癌:首位接受TIL疗法的超级幸存者已成功跨过10年
2009年对于Melinda Bachini来说终生难忘,就在儿子14岁生日的当天,她竟被诊断出患有罕见的胆管癌。美国国家癌症研究所的Dr. Steven Rosenberg 博士很不幸地告诉她生存期只有几个月时,她的心情犹如掉进冰窟里。然而人生总是会经历大起大落,神奇的是,她现在不仅从6个孩子的母亲晋升为祖母,更是成为了晚期胆管癌超过十年的幸存者!
这一幸事全都得益于她参加了美国Dr. Steven Rosenberg团队研发的最新的免疫疗法的临床试验,在试验中研究团队采用高度个性化的肿瘤浸润淋巴细胞TILS疗法治愈了Melinda Bachini的肿瘤,这个重大突破被报道在《Science》杂志上,她的抗癌经历也给无数患者带来了信心。

黑色素瘤:疾病控制率达80%,Lifileucel对抗肿瘤绝不手软!
【早年研究】
2011年,美国国家癌症研究所(NCI)外科主任Steven A. Rosenberg团队在国际顶级期刊《Clinical cancer research》上发表了关于TILs疗法治疗转移性黑色素瘤的2期临床研究数据。
结果显示,TILs治疗黑色素瘤患者的客观缓解率(ORR)为56%,完全缓解率(CR)高达24%。
此项研究表明,浸润肿瘤的免疫细胞数量与患者的生存机会成正比。黑色素瘤是具有相对高的突变负荷的癌症之一,肿瘤被这些免疫细胞润,参与早期试验的一些患者对这种疗法的反应持续了十多年。

【近期热点】
在今年的ASCO会议上,基于TILS细胞的创新型疗法LN-144(Lifileucel)更新了黑色素瘤的临床结果,再次引起了轰动。
何谓Lifileucel疗法?
Lifileucel(LN-144)是由Iovance公司研发的基于自体肿瘤浸润淋巴细胞(TIL)的专门针对黑色素瘤的免疫疗法,这是一种基于T细胞的过继性细胞疗法(ACT)。
C-144-01是一项2期临床试验,招募66例已被诊断患有IIIc期或IV期转移性黑色素瘤的患者。患者的特点均为至少接受3~4种全身性治疗失败后的患者,同时还接受过PD-1抑制剂治疗。其中80%的患者接受过CTLA-4抑制剂治疗,23%的患者接受过BRAF/MEK抑制剂组合治疗。
该临床试验旨在确定TIL治疗疗法LN-144是否安全有效地治疗转移性黑色素瘤(帮助患者延长寿命和/或减缓癌症进展)。
亮眼数据:
1.疾病控制率(DCR)高达80.3%;
2.客观缓解率(ORR)达到36.4%;
3.中位随访时间为8.8个月,未达到中位反应持续时间。
4.需要特别提出的是,患有PD-L1阴性的患者也有响应,这说明对免疫检查点抑制剂无效的患者仍能获益于TIL疗法。
无癌家园专家点评:
这些患者基本上是临床上用尽了治疗方案,步入极晚期的患者,还有44%的患者甚至存在肝或脑转移。
这款TILs疗法的效果真的令人惊喜,尤其适用于使用PD-1治疗后发生进展,且无更好的治疗选择的患者。

【典型病例】
一位晚期黑色素瘤患者肿瘤在治疗前出现广泛转移,在接受TILs疗法后一个月病灶明显缩小,治疗6个月达到完全缓解,治疗两年后仍然处于完全缓解状态,并且体内持续存在肿瘤反应性CD8+T细胞。

肺癌:开启长生存期,TIL疗法给PD-1耐药患者带来曙光
近些年来靶向治疗和免疫治疗的发展,让发病率和死亡率居于首位的肺癌日渐趋于慢病化。尤其是在PD-1发生耐药后,很多患者通常觉得恐慌和害怕。
在今年举行的AACR会议上,一项由美国知名癌症中心莫菲特癌症研究中心(H. Lee Moffitt )开展的基于TIL细胞治疗的Ⅰ期临床结果公布:
这项试验共有32名患者参加,最终有16名患者接受TILS治疗,其中12名患者可以评估。在平均随访1.4年时,3名患者病情缓解,其中两名完全患者,并且已超过一年。另一名患者的缓解即将得到确认。

大部分患者在接受TILs治疗后,肿瘤病灶都有所缩小,在接受治疗后的第一次CT扫描时,肿瘤病灶直径平均缩小38%!
因此,在PD-1治疗后,TILs疗法仍具有令晚期转移性非小细胞肺癌达到持久缓解的能力,这是非常了不起的,期待这款疗法能加大研究,早日获批上市,为晚期患者的生命持续续航!
宫颈癌:疾病控制率89%!LN-145疗法获FDA突破性疗法称号!
2019年6月,FDA批准肿瘤浸润淋巴细胞(TIL)治疗方法LN-145为突破性的治疗指定,这是用于实体瘤的细胞免疫疗法首次获此殊荣,相信距离上市也仅是时间问题,一旦FDA批准,这将是首款用于实体瘤的细胞免疫疗法,将给癌症患者带来巨大的生存获益。
FDA此次授予是基于正在进行的第二阶段innovaTIL-04(C-145-04)积极的试验的数据,摘要数据显示,晚期宫颈癌患者的TIL治疗总体反应率(ORR)为44%。
在2019年2月4日的数据截止时,有27名可评估的患者。
结果显示:
1、44%(12名)的患者有效果,包括1名完全应答,9名部分应答和2个未确认的部分应答;
2、疾病控制率为89%;
3、中位随访时间为3.5个月,12例患者中有11例持续应答;
4、没有任何严重的副作用发生。
5、疾病控制率89%!首个迎战实体瘤的细胞免疫疗法获FDA突破性疗法称号!

量身定制,TILs疗法精准杀灭肿瘤细胞
除了上述提到的重要癌种外,TILs疗法还在头颈鳞状细胞癌、肺癌等实体瘤方面取得了显著的疗效!虽然这款新型的免疫疗法暂未上市,但在全球范围内开展了多项针对各类实体肿瘤(非小细胞肺癌,结直肠癌,卵巢癌,黑色素瘤...)的临床试验,想参加的患者可以致电无癌家园咨询入组信息(400-626-9916)。
其实,TILs疗法尤其独特之处,与一般的细胞免疫疗法有很大的差别,被认为是为患者“量身定制”。
1
免疫细胞来源不同
TIL的免疫细胞来自于肿瘤组织,而其他细胞免疫疗法大部分来取自血液。这直接决定了免疫细胞识别肿瘤的能力。据估计,肿瘤里分离出的免疫细胞,有60%以上能识别肿瘤,而血液里面分离的免疫细胞,不到0.5%。
2
利用突变精准识别癌细胞
这种新型的疗法不是简单的扩增回输,而是要确定患者病例中特定的突变,之后利用突变信息找到能够最有效瞄准这些突变的T细胞,最后提取出专门患者肿瘤中细胞突变的T细胞,这些细胞具有精准识别癌细胞的能力。
3
联合PD-1抑制剂效果更佳
这些免疫细胞经过体外培养后,重新注入到患者体内。同时,研究团队联合使用了免疫增强药物白细胞介素2和另一种“明星抗癌药”PD-1抑制剂Keytruda,Keytruda即属于另一种免疫疗法免疫检查点阻断,在某些癌症中有显著的效果。
TILs新疗法独特的制备方式
(1)得到患者的肿瘤组织块,其中混杂着体积较大的肿瘤细胞以及体积小而圆的T淋巴细胞;
(2)将不同种类的T淋巴细胞在细胞板上克隆化,并加入高浓度的IL-2来选择培养;
(3)在IL-2的刺激下不同种类的T淋巴细胞都得到了克隆扩增,形成了细胞群;
(4)用患者的肿瘤细胞和扩增后的T淋巴细胞反应,凡是能够发生杀瘤效应的T淋巴细胞群作为阳性TIL群留下(红色),其余的丢弃;
(5)用负载了肿瘤特异性抗原的树突状细胞(DC)进一步扩增培养肿瘤特异性的TIL;最后,回输给预先做了清髓的肿瘤患者。

目前,这款新型的免疫疗法暂未上市,但在全球范围内开展了多项针对各类实体肿瘤(非小细胞肺癌,结直肠癌,卵巢癌,黑色素瘤...)的临床研究,若想了解更多请持续关注无癌家园位点(400-626-9916)。
小编有话说
近年来,科学家们已经做出了相当大的努力来开发新的细胞免疫疗法攻克实体瘤的障碍。我们期待着,越来越多的临床前/临床试验数据能够拼凑出一幅完整的拼图,充分展示TILs细胞疗法治疗众多实体瘤的真正实力。
相关文章:再为生命续航!新型“定制款”TIL疗法显著延长晚期肺癌生存期!
向死而生,跨越10年的超级幸存者凭借新型免疫疗法TIL完成生存期大逆转!
参考文献
1.https://meetinglibrary.asco.org/record/186915/abstract
2.https://www.iovance.com/wp-content/uploads/ASCO2019_Poster_C-145-04_cervical_FINAL.pdf
3.https://www.onclive.com/web-exclusives/autologous-til-therapy-elicits-durable-responses-in-pd-1-treated-metastatic-melanoma?p=4
4.https://clincancerres.aacrjournals.org/content/17/13/4550