疏通卵巢癌患者梗阻肠道病例分享
张某某,女,59,“卵巢癌减瘤术后3年余,复发1年余”2019-7-24就诊我科。
2016-9-26日,患者因"发现盆腔包块1周"在我院接受“经腹全子宫双附件切除+大网膜+阑尾切除+盆腔淋巴结清扫术”,术后病理:双侧卵巢高级别浆液性腺癌,左侧11.0cm×8.0cm×5.0cm,右侧19.0cm×17.0cm×10.0cm,癌组织累及右侧宫旁软组织及盆底。腹膜脉管内可见小灶性癌巢。免疫组化标记:CK7(+),CA125(+),P53(+),WT1(-),ER(+),PR(少量+),CEA(-),Napsin A(-),CD10(-),Vim(-),P16(+),Ki-67(+,约40%)。10-15至2017-03-16日,我院妇瘤科“紫杉醇+卡铂”化疗6周期。按期复查均未见明显肿瘤负荷。
2019-7月,患者因“腹胀纳差伴通气通便减少1周”CT扫描:腹盆腔腹膜及系膜增厚、腹水,横膈组多发肿大淋巴结,考虑复发转移瘤。7-13日,我院妇瘤科再次行“紫杉醇+卡铂”化疗1周期,期间患者出现腹胀加重,7-22日腹部立位平片:腹腔部分肠管扩张积气,提示不全性肠梗阻,腹盆腔积液。行小肠减压管置入后无明显好转,腹胀并未缓解,仍有恶心、呕吐,遂转至我科。
入科时,患者营养状态PG-SGA法评估为C级,双侧小腿腓肠肌弹性明显下降体积萎缩,显著的肠道功能障碍症状和体征:腹胀、恶心、呕吐,几乎不能经口进食。经积极采用减轻肠壁水肿、减少肠液分泌等机械性肠梗阻内科常规处置方法,同时联合肠外营养支持和代谢调理治疗、腹腔穿刺置管引流腹水等治疗方法,患者腹胀迅速得以明显好转,肛门开始通气通便,进食也明显改善,8-5日拔出了先前放置的小肠减压管。期间,基因检测示BRCA1突变型。在营养支持和代谢调理治疗的护驾下,8-19至11-13患者顺利完成“紫杉醇+卡铂”方案化疗共计5周期。期间,9-30日、11-11日的CT评估均显示腹腔腹膜病灶较前进一步缩小。由于患者已行6周期TC化疗,同时患者BRCA1基因突变,后予奥拉帕利 300mg bid口服靶向维持治疗至今,目前CA125正常,期间于2020-5-27、2020-7-14 CT扫描评效,均显示SD缩小。
(点击图片可放大观看)
肿瘤标志物:

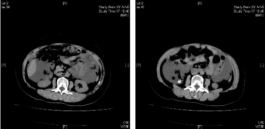
影像学:

治疗前(2019.07.09)

治疗后(2020.05.27)
营养评估:PG-SGA评分由C级变为A级 ,人体成分分析显示肌肉组织恢复正常范围。

医者自评:该卵巢癌患者因“癌性肠梗阻”和“重度营养不良”入住我科,面对肠道发生多处梗阻的临床局面,外科手术是无能为力的。问题的焦点就集中在了靠抗肿瘤化疗打退肿瘤组织的“侵犯”,而患者机体却无法耐受化疗这对矛盾上,常规的抗肿瘤化疗显然不适合应用。我们运用肠梗阻内科处置方法,联合营养代谢治疗和该患者最初应用的抗肿瘤化疗方案行积极的综合性药物治疗,妥当地解决了该矛盾。患者现在肿瘤标志物CA125正常,腹水已经控制,腹膜病灶较前显著改善,肠梗阻解除,营养状况完全恢复正常(PG-SGA评分由C级变为A级),生活质量明显提高。
癌性肠梗阻多见于晚期卵巢癌、胃癌和结直肠癌,多见肠道的多部位梗阻,且几乎全部患者伴发中重度营养不良。因此,癌性肠梗阻的治疗应是“以肿瘤内科为主的综合治疗”,不排除外科手术和肠道支架植入等局部治疗方法。