乳腺腺样囊性癌肝转移1例
病例简介
患者女性,46,因体检发现肝占位1周,于2019年2月就诊于浙江大学医学院附属第二医院。7年前因左乳腺肿物于外院行左乳腺癌改良根治术,术后未行放化疗。
病理诊断为乳腺腺样囊性癌,腋窝无淋巴结转移、无脉管侵犯(图 1),免疫组织化学法检测显示ER(-)、PR(-)、HER-2(-)、P63(+)、CK7(+)、CD117(+)、Ki-67指数为25%。

图 1 乳腺癌组织病理特征(H&E×100)
入本院后查体显示,左乳缺如呈术后改变,腹部平软、无压痛、未触及明显包块,血常规、血生化、肿瘤标志物检测均未见明显异常。
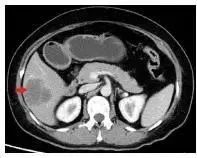
腹部增强CT检查显示肝VI段见边界清、低密度肿块影、环形强化(图 2),再行PET-CT检查显示肝Ⅵ段类圆形、低密度肿块影、糖代谢不高、延迟代谢略有减低。排除后,行经腹腔镜右肝肿瘤根治术,术中见肿物位于肝Ⅵ段,直径约6 cm,距肿瘤1 cm,完整切除。

图 2 CT检查肝VI段占位
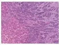
术后病理诊断为肝转移性腺样囊性癌(图 3)。

图 3 肝转移癌组织病理形态(H & E×100)
免疫组织化学法检测显示SOX10(+)、CD117(+)、ER(-)、PR(-)、HER-2(-)、P63(+)、CK7(+)、Ki-67指数为30%(图 4),结合病史及免疫组织化学法检测符合乳腺癌转移。随访11个月未见复发。

图 4 免疫组织化学法检测肝转移癌中CD117阳性(SP×100)
病例小结
乳腺腺样囊性癌(adenoid cystic carcinoma of the breast,ACC)是一种特殊类型的浸润性乳腺癌,低度恶性,临床上极为罕见,占乳腺癌比例 < 1%,多发于老年女性,平均发病年龄为60,组织学特征类似于涎腺ACC,预后良好[1]。
乳腺ACC患者多表现为外上象限明显可触及的肿块,无特异临床症状,极少发生腋窝淋巴结转移及远处转移,缺乏特征性影像学特征,乳腺X线检查显示不规则分叶状结节,乳腺MRI检查显示为囊实性边缘不清的肿块[2]。
目前乳腺ACC肝转移病例报道较为少见。乳腺ACC常见筛状形、腺管形、实性巢状形3种组织形态,肿瘤主要由腺上皮、肌上皮及基底样细胞构成。肌上皮细胞及基底样细胞形成筛状结构(假腺腔),腺腔内富含PAS阳性物质;小导管结构被覆腺上皮形成腺管样结构(真腺腔),肿瘤细胞异形性较小,间质常可见高密度纤维结缔组织及脂肪组织。基底样细胞实性巢团样分布形成实性结构,肿瘤细胞异形性相对较大,偶可见坏死。
乳腺ACC根据实性结构的比例分为Ⅰ级:几乎无实性成分;Ⅱ级:占比 < 30%;Ⅲ级:占比≥ 30%[1]。
乳腺ACC为预后良好的特殊类型三阴性乳腺癌,即ER、PR、HER-2均为阴性,基底细胞中的P63、CK5/6阳性,腺上皮细胞中的CD117、SOX10阳性[3]。乳腺ACC肝转移后仍可表现为较为惰性的临床进程,但复发及发生继发性恶性肿瘤的风险增加[1],因而需要进行长期随访。
参考文献
[1] Miyai K, Schwartz MR, Divatia MK, et al. Adenoid cystic carcinoma of breast:recent advances[J]. World J Clin Cases, 2014, 2(12): 732-741. DOI:10.12998/wjcc.v2.i12.732.
[2] Agafonoff S, Sobolewski A, Braverman TS. Adenoid cystic arcinoma of the breast-discordant size on imaging and pathology:a case report and review of literature[J]. Ann Med Surg(Lond), 2019, 43: 1-4. DOI:10.1016/j.amsu.2019.04.007.
[3] Yang C, Zhang L, Sanati S. SOX10 is a sensitive marker for breast and salivary gland adenoid cystic carcinoma:immunohistochemical characterization of adenoid cystic carcinomas[J]. ;Breast Cancer(Auckl), 2019, 13: 1178223419842185.