张琪博士团队成功开展 经皮静脉窦穿刺栓塞治疗复杂硬脑膜动静脉瘘 手术
硬脑膜动静脉瘘(DAVF) 是颅内少见而复杂的血管性疾病,其病因及发病机制尚不清楚。治疗方法主要包括手术治疗、经动脉血管内治疗,但由于硬脑膜动静脉瘘通常是多瘘口,供血动脉复杂,用单纯动脉栓塞难以治愈,将病变完全切除则风险较高,成为临床棘手难题。
近期,上海蓝十字脑科医院脑血管病病区张琪博士团队在长海医院方亦斌教授指导下,在复合手术室采用“经皮静脉窦直接穿刺栓塞治疗硬脑膜动静脉瘘”技术,为一位多次治疗未愈的复杂硬脑膜动静脉瘘患者成功进行了手术,解除其病痛,术后患者临床症状消除,现正在康复中。

▲ 张琪博士团队正在为患者手术
< h3>经静脉入路治疗硬脑膜动静脉瘘安全有效
硬脑膜动静脉瘘是指动脉与静脉直接交通在硬脑膜及其附属物大脑镰和小脑幕的一类血管性疾病,颅内外的供血动脉直接与颅内静脉窦沟通,也称为硬脑膜动静脉畸形。
该病约占颅内血管畸形的 5%~15% 左右,可发生在硬脑膜的任何部位,常见于成年人。发病机制不明,也可以是外伤、医源性、肿瘤、炎症等因素导致的颈内或颈外动脉的脑膜分支破入海绵窦。
其临床表现与瘘口的大小、静脉引流的方向密切相关,瘘口越大症状越重;经碟顶窦或基底静脉向颅内引流,静脉高压,可表现为头痛头晕,严重时可出现脑出血;向眼静脉引流,可表现为眼球突出或搏动、结膜充血水肿、眼球活动受限;向岩上窦或岩下窦引流,可表现为耳鸣,听诊器可在眼部、颞部、乳突部闻及吹风样杂音。压迫健侧,表现可加重。
血管内介入治疗是颅内硬脑膜动静脉瘘治疗的首选治疗方法。随着Onyx(新型栓塞剂)时代的到来,经血管内途径治疗硬脑膜动静脉瘘获得了突飞猛进的进展。血管内治疗硬脑膜动静脉瘘,大体上可分为经动脉途径和静脉途径。不管何种途径,患者必须存在适合微导管超选的路径,使得栓塞导管可以到达瘘口,从而确保 Onyx 胶可以弥散至引流静脉端,完全闭塞引流静脉,才能彻底治疗硬脑膜动静脉瘘。
有研究认为,静脉途径比动脉途径更安全,且具有更高的即刻完全栓塞率,近年来,经静脉端治疗取得较好效果。
《2015美国硬脑膜动静脉瘘指南》指出,经静脉入路治疗硬脑膜动静脉瘘安全有效,如海绵窦区动静脉瘘,常选择经岩下窦或眼上静脉入路作为首选入路。同样,经静脉入路还可以用于治疗许多颅底部瘘,如枕髁静脉,缘窦,乙状窦、横窦和岩上窦。
< h3>经皮静脉窦穿刺栓塞治疗解难题
今年 67 岁的黄老汉(化名)3年前因头部外伤在杭州一家医院就诊时发现硬脑膜动静脉瘘,行硬脑膜动静脉瘘栓塞术;出院半年后头痛胀痛复发,后行硬脑膜动静脉瘘切除术;2年前复查 DSA 发现仍有残余,再次行硬脑膜动静脉瘘栓塞术。近期再次出现头痛,后在家人陪伴下到上海求医,慕名来到上海蓝十字脑科医院就诊。

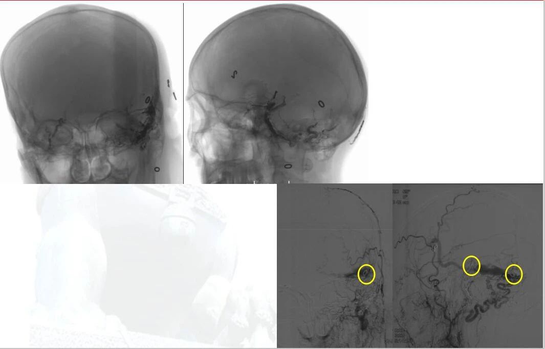
▲ DSA检查显示,左侧窦区动静脉瘘
DSA 检查显示,左侧窦区动静脉瘘,静脉瘘术后改变,供血动脉为枕动脉,通过皮层静脉引流至横窦,左侧椎动脉通过肌支供血汇入枕动脉。
张琪博士指出,该患者在外院多次治疗,常规动静脉穿刺已无合适入路,遂决定在复合手术室下直接穿刺静脉窦治疗硬脑膜动静脉瘘。
上海蓝十字脑科医院全指趾化 Hybrid-OR 复合手术室又称杂交手术室,它采用百级层流净化系统,悬吊式机架系统,4.5米超长纵向移动,将目前世界先进的飞利浦血管造影系统(DSA) 直接安装在手术室内,同时还配备了全球先进的德国蔡司手术显微镜(双荧光)OPMI-PENTERO-900,德国 Drager 多功能麻醉机,术中神经监护系统,Maqute 全自动手术床等一系列先进设备。
利用复合手术室条件,将外科手术和介入治疗很好地结合起来,能够同时避免单纯介入手术和直接开颅手术的缺陷,最大程度地降低手术风险。


▲ 术前定位
< h3>历时1小时 瘘口栓塞成功
8月23日,在复合手术室,在长海医院方亦斌教授指导下,张琪博士根据之前造影手术标记点确定平行左侧外耳道手术切口约 8cm,切开头皮各层至颅骨,剥离骨膜,牵开,以咬骨钳咬开一约 3cm 缺口,充分暴露横窦。

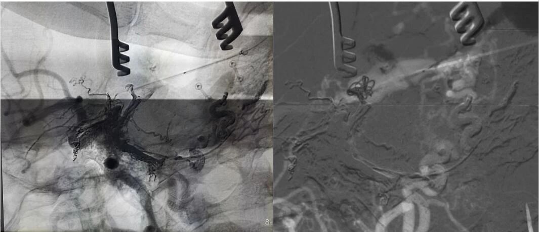
▲ 造影确认位置后,穿刺左侧横窦,置入 Echelon10 微导管

▲ 再次造影确认位置后,填入 HELIX 6/20弹簧圈

▲ 微导管造影确认后,注入 Onyx 18胶 5ml
经左侧股动脉以单弯造影管超选至左侧颈总动脉造影明确静脉穿刺点入路,予以穿刺针穿刺成功后造影明确在位,随后 Echelon 10微导管到位横窦,填入一枚弹簧圈做塞子,造影明确位置后,缓慢注入 Onxy18胶 5毫升,铸胶弥散良好,通过静脉逆向弥散至部分供血动脉内。复查造影,见瘘口完全被栓塞,引流静脉消失,手术成功。
术后患者临床症状消除,精神矍铄,现正在康复中。

▲ 术后影像
张琪博士介绍,硬脑膜动静脉瘘在临床上极不易被发现,一是因其致病原因比较轻微,一次感冒、一次几乎没太在意的头部碰撞、有时甚至没什么原因就可能引起;二是其初期症状轻微,头晕、头痛、耳鸣等,多数人往往认为是由耳朵或神经性等原因引起的而未进行进 一步检查;三是因为硬脑膜静脉瘘需要做全脑血管造影 DSA 检查才能确诊。所以,如患有头晕、偏头痛、耳鸣等症状的患者,经多方面检查未查出病因的,应注意 DSA 筛查硬脑膜动静脉瘘。