低热、乏力、胸痛,你以为是结核?其实是肿瘤惹的祸!
病例介绍
患者女性,23 岁。
主诉:胸痛、发热 9 月,肢端增粗 7 月,关节肿痛 2 月 。
1病史
2014 年 12 月,出现左侧胸痛、胸闷;伴午后低热,乏力、盗汗。就诊于当地结核病医院:痰抗酸染色(-),ESR 58 mm/h;肺 CT:左肺斑片状高密度+左胸腔积液;胸水常规:细胞数 800,淋巴为主;生化:渗出;TBAb 及抗酸(-);考虑「结核性胸膜炎」。

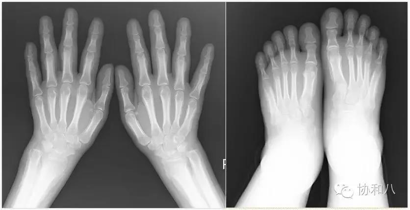
2015 年 3 月 10 日,就诊于 A 医院,左侧胸膜活检病理示纤维组织慢性炎,抗酸染色(-)。抗细菌+抗痨治疗无效。住院期间出现手足增粗及杵状指。出院后:脊柱持续左凹侧弯缓解疼痛,胸背部散在红色痤疮样皮疹。

2015 年 4 月,于 B 医院再行胸腔镜下胸膜活检术,见脏壁层胸膜表面广泛分布的不规则结节样增生。我院病理会诊:(胸膜)胸膜组织显慢性炎,其内见上皮样细胞肉芽肿结节,伴小灶可疑坏死,伴间皮增生及胸膜胶原纤维组织显著增生,考虑结核可能性大。
2015 年 5 月,就诊于 C 医院,纤维支气管镜细胞学未见瘤细胞;胸水(血性)病理:可疑肿瘤细胞。
2015 年 7 月,就诊于 D 医院,VATS 左侧胸膜活检术,病理示:(胸膜)纤维及脂肪组织,炎细胞浸润,间质出血,局部间皮细胞增生,有异型;(肺结节)肺纤维组织增生,肺泡上皮增生。
2015 年 9 月,出现多关节肿痛(双腕、肘、肩、髋、膝、踝,双手 MCP 及 PIP 关节),双手足皮肤非可凹性肿胀及活动受限。伴皮肤增厚,毛发增多,仍背痛及间断发热,Tmax 39.0℃。出现间断腹泻(3-4 次/天)。9 月 20 日起自行 HRZE 四联抗痨治疗至今。
2015 年 10 月,就诊于我院,双手及双足正斜位 X 线:双手足骨质改变,考虑为厚皮质骨病。胸部 HRCT 示脊柱侧弯,左侧少量胸水及胸膜增厚。疼痛明显,先后予乐松、依托考昔、双氯芬酸止痛治疗,效果欠佳。体重下降 15 kg。
既往无殊,2015 年 5 月至今无月经来潮。


2入院查体
T 38℃,P 124 次/分,R 26 次/分,BP 104/55 mmHg,SpO2: 99%@RA,BMI 17.7 kg/m2
营养不良,体型消瘦,强迫体位,痛苦面容。左侧胸壁压痛明显,拒按。胸廓不对称,左侧胸廓塌陷。左侧呼吸活动度减低。叩诊左肺浊音。左肺呼吸音减低,可闻及胸膜摩擦音。心腹(-)。脊柱右突性侧弯。双腕、双膝、双踝关节肿胀,全身多关节压痛。双手双足可凹性水肿。可见杵状指(趾)。双侧膝关节凉髌征消失、浮髌征(+)。
3入院检查
血常规:PLT(700-878)×109/L,HGB 73-88 g/L;RET% 2.02%↑;
生化:ALP 282U/L↑,余肝肾功、Ig3 项及补体(-);
凝血:APTT 37.3s、PT 14.6s,即刻及孵育 2 h 均可完全纠正;
ESR >140 mm/h,hsCRP 148.29 mg/L,Fer 66ng/ml;IL-6 149.0↑;
血 TB-SPOT A+B 548;血培养 *3(-);痰、大便及骨髓病原学(-);
免疫指标:ANA、ANCA、抗 ENA(4+7 项)、ACL、抗 &β;2 GP1 抗体、LA 、Coombs 试验(-);
内分泌方面:血总 F 33.03 μg/dl↑,24UFC↑,余垂体轴(-)。
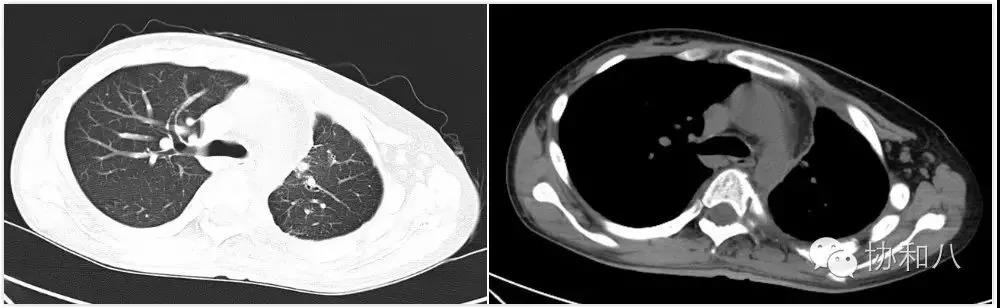
胸部 CT+肋骨重建:胸膜弥漫性增厚伴多发结节,肋骨骨膜反应明显,胸膜间皮瘤可能,脊柱侧弯。
腹部增强 CT+小肠重建:肝大、脾饱满,双侧髋关节积液,小肠未见异常。
全身骨显像:四肢长骨及左侧肋骨放射性摄取增高,四肢长骨骨皮质增厚。
胃镜、结肠镜未见异常。
骨髓涂片+活检未见异常。
Echo 正常。

诊断结果
1该患者的诊断是什么?
首先,骨骼增厚、骨皮质增厚鉴别诊断:
骨硬化症;进行性骨干发育不良;厚皮性骨关节病(PHO、SHO)

本例患者筛查了原发 HO 的两个相关基因(HPDG 及 SLCO2A1),未见突变。
那么,是不是继发性厚皮性骨关节病呢?看看该病一般继发于哪些疾病:
心脏疾病:青紫型先心病、主/腋动脉移植排异
肺疾病:肺部肿瘤(80%)、鼻咽癌、支气管扩张、肺脓肿、肺气肿、间皮瘤、囊性纤维化
胃肠疾病:克罗恩病、溃疡性结肠炎、息肉、胆道闭锁、胆汁性肝硬化、胆道肿瘤、食管癌
Graves' 病

由此看来,为明确诊断,必须进一步寻找感染/肿瘤的证据。
入院继续予 HRZE 四联抗结核治疗,仍有间断高热及全身多处疼痛不适。后调整为利福喷丁+克拉霉素(11-2 起)+拜复乐(11-2 起)+阿米卡星(11-5 起)。
11-4 加用安康信(依托考昔片)60 mg qd 治疗。
11-5 起体温高峰下降 Tmax 37.5-38.0℃,但疼痛无缓解,双足肿胀一过性好转。
11-9 复查 ESR 105mm/h,hsCRP 127.42 mg/L。
外院病理会诊:
病理科会诊结果:慢性炎症,未见肉芽肿结节。
细菌室发现:涂片中可疑革兰氏染色(+)和 PAS 染色(+)杆菌。
结合本病例特点进行文献检索,发现一例 Whipple 病病例。
什么是 Whipple 病:
养障菌感染所致,可出现肉芽肿性病变,正规抗痨治疗无效;
可累及全身各个系统,出现骨关节病变、腹泻、贫血、体重下降等;
Whipple 病合并肥大性骨关节病,检索文献曾有相关报道,但极为罕见;
养障菌是一种革兰氏阳性的胞内杆菌,与分支杆菌亲缘很近,通过干扰脂质代谢来致病;
PCR 测序,PAS 染色阳性,WS 银染阳性;
大环内酯类药物、磺胺等脂溶性抗生素治疗。
考虑到本患者十二指肠粘膜 PAS 染色、关节液 PCR(-),进行多次会诊及内科大查房。
内分泌科:完善 PHO 相关基因评估(HPDG 及 SLCO2A1 回报未见突变);需进一步查找相应病变原因。
胸外科:再次行 VATS、困难及风险较大。
皮肤科:胸背部散在红色痤疮样皮疹为毛囊炎。
消化科:评估胃肠道,暂无器质性病变证据。
呼吸科:既往病理及 VATS 表现考虑 TB/NTM 可能,不除外耐药。
( 可上下滑动查看 )
2遇到诊治困境
患者已多次活检;疼痛、发热症状难以控制。
下一步如何处理?抗痨?覆盖少见感染?其他?能否加用激素?
嘉宾点评及讨论
曾学军:外院已行 4 次活检,细菌室找到 whipple 病可能,请大家讨论治疗方案。
阜外医院心内科教授:我有一个疑问:目前本患者诊断尚不清楚,如何治疗?
患者 2015 年 5 月之后没有月经来潮,之前是否有流产史?垂体功能是否应检查?卵巢的功能是否应检查?少见细菌感染可能是一个因素,但是应该不是主要的问题。
张昀:入院后对于患者的垂体等进行了排查,没有明显异常。患者消耗症状重,目前体重仅三十余公斤,贫血突出,闭经应该是营养因素造成的。
曾学军:本患者考虑抗感染,主要是因为感染是可治性因素。如果认为本患者不是感染,是否可以使用激素?
刘晓清:这是全场第三个涉及结核的病例。结核本身是超级细菌,复杂的病例鉴别诊断很难排除。
本患者年轻女性,表现为渗出性胸膜炎,应该考虑结核。T-SPOT,TB 结果高,这是结核免疫的检查,是使用结核抗原刺激体内单核细胞释放 &γ; 干扰素,目前只能说明患者体内感染过结核。
因为本患者正规四联抗痨时间很长,而效果不佳。患者血小板 700-800,继发性因素最常见的是结核,另外肿瘤也是一个原因。我的想法是彻底排查肿瘤,在没找到肿瘤证据的情况下继续抗痨治疗。
范洪伟:我认为不是结核,主要有以下三个原因:其一,胸膜活检没有证据;其二,抗痨无效;第三,胸膜增厚,但并非结核性胸膜炎的表现。
关于 whipple,如果患者没有相关临床表现,只是检查出来的病原,没有意义。主要还是应该筛查肿瘤。
曾学军:目前大家觉得不是感染,而是肿瘤、免疫可能,本患者能否用激素?
第四军医大学呼吸科医生:总的来看,本病例像是原发性肺癌的副肿瘤综合征。如果最开始从肺上已经找到病灶,应该在病灶上活检,而本患者一直在胸膜活检,未行肺活检。
个人认为长期抗结核无效,继续抗结核可能产生较大副作用。关于 whipple 病,我认为大环内酯类和磺胺可以用。目前就是经验性治疗,为患者争取时间。如果治疗无效,应继续取活检。
沈悌:患者血小板高,这值得考虑。原发性血小板高属于血液病,继发性血小板高首先应该考虑缺铁性贫血,这种情况下血小板可能到 650-680,;第二考虑慢性感染,也包括结核。
我认为本病例不像肿瘤或转移瘤。结核发生骨病较少。关于 whipple 病,若无其他诊断,患者症状较重,可以先经验治疗,副作用较小。
朱元珏:我见过肺癌诱发的厚皮病,但是胸痛不会很明显。间皮瘤会导致严重的胸痛。结核性胸膜炎胸痛也不会很重。肺癌不会导致炎症指标如此高。
陈丽萌:原发病目前不清,一波三折。从原发病到骨膜增生,可能其中有一些免疫反应,激素可以用,抑制免疫炎症反应。
沈敏:我赞成使用激素。患者发热、关节痛严重,需要抑制免疫反应。
山重水复,一波三折,终于找到疾病的真相。
鉴于患者全身严重状态极重,消耗症状明显,重度贫血、明显低白蛋白血症,遂加用了 40 mg 甲强龙抗炎治疗。患者体温、炎症指标有所下降。
两周后激素减量,体温再次升高,胸背痛加重,复查炎症指标再次升高。复查胸部 CT:胸膜较前有所增厚。
与患者及家属充分沟通,在介入科协助下再行胸膜活检,最终获得了病理诊断。
病理:可见条索状增生异型细胞,免疫组化示 AE1/AE3(部分+),CD31、F8-R 及 Vimentin(+),D2-40(+),CD34(—),CK5/6(-),Calretinin(-),Desmin(-),Ki-67(index 10%),S-100(-),SMA、TTF-1、CD56(NK-1)(-),CgA(-),GATA3(-),MC(-),P63(-),PAX-8(-),Syn(-),WT-1(-),EMA(-)。
最终诊断,胸膜上皮样血管内皮瘤。
上皮样血管内皮瘤的临床特点:
为罕见病,Dail 和 Liebow 于 1975 年首次报道。可发生于任何器官,肝和肺为最常见受累器官,累及胸膜者极为罕见。临床表现不特异,易漏诊或误诊。
累及胸膜者:间质纤维组织增生伴胶原化钙化,以致胸膜肥厚,纤维板性粘连,胸腔消失。
病理:肿瘤以血管为中心,呈短索状或巢状分布,间质可见各种纤维细胞增生,亦可见肉芽组织增生。
免疫组化:多种血管内皮源性抗原阳性(CD31、CD34、 F8-R、Vimentin)。
为惰性肿瘤,但复发和转移,预后较差。无标准治疗方案。胸膜局部受累者考虑手术切除,广泛转移者,考虑化疗,效果不确切。文献报道生存期最长为 2 年。