小肝癌术后快速复发 索拉非尼序贯瑞戈非尼全程管理 患者迄今已生存36月余
任何病期的肝癌,实施任何治疗,都有复发转移的可能。小肝癌也不例外。本文介绍的这例小肝癌,消融术后短期复发,最终发展至肺转移。给予经导管动脉栓塞化疗(TACE),联合索拉非尼-瑞戈非尼全程管理模式,患者目前已生存36月余。

基本信息
患者男性,44,于2017年7月13日主因“间断肝区疼痛1年余”入院。患者1年余前间断出现肝区疼痛不适,伴乏力、腹胀,5个月前门诊确诊乙肝肝硬化、2型糖尿病,给予恩替卡韦抗病毒、复方鳖甲软肝片抗纤维化治疗。既往饮酒史20余年;吸烟20余年,10支/日;均已戒断5个月。
初始小肝癌,予消融治疗
入院查HBsAg 2736 IU/ml,HBeAg 17.47 IU/ml,hsHBV-DNA 53 IU/ml,AFP 7.55 ng/ml,肝功、凝血功能无异常,腹部增强核磁肝S7段结节灶,1.7 cm×1.2 cm,增强扫描呈快进快出,考虑小肝癌,肝硬化,门静脉高压,少量腹水。入院诊断:1. 乙肝肝硬化,3期;2. 原发性肝癌,Ⅰa期;3. 2型糖尿病。继续给予恩替卡韦抗病毒。
经肝胆外科会诊,建议行肝癌微波消融术。2017年7月21日行“B超引导肝右叶占位取活检并微波消融术”。术中见:肝右前叶2.1cm×2.0cm低回声,边界清,内部回声不均匀,60W烧灼3分钟,进针2次,直至瘤体完全炭化。术后再次B超探查未见瘤体残留。术后第3天B超造影消融灶未见造影剂充填。术后病理:肝S7段病灶,高分化肝细胞癌,周围呈结节性肝硬化改变,HE:GPC-3(+)、CD34(+)、CK8/18(+)、 CK19(-)、Ki-67约2%(+)。
术后短期复发,TACE联合索拉非尼
2017年10月10日(消融术后3月)复查肝功、凝血正常。HBsAg 3647 IU/ml,HBeAg 18.24 IU/ml,hsHBV-DNA 61 IU/ml,AFP 5.95 ng/ml。上腹部MR增强提示肝S8段结节灶,3.1 cm×1.9 cm,增强动脉血供,考虑肝癌,S7段1.6 cm×1.3 cm,无强化,肝硬化,门静脉高压。建议优化抗病毒治疗,患者拒绝。局部行TACE治疗。
2018年1月12日(TACE术后3月)复查肝功、肾功、电解质、血凝均正常,hsHBV-DNA 90 IU/ml,给予恩替卡韦+替诺福韦抗升级抗病毒治疗。考虑疾病进展较快,加用索拉非尼靶向治疗。
疾病进展,TACE联合瑞戈非尼
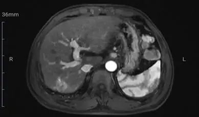
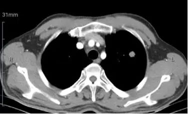
2019年9月6日复查肝功、肾功、血凝均正常;HBsAg 1786 IU/ml,HBeAg 7.74 IU/ml,hsHBV-DNA 10 IU/ml,AFP 15.97ng/ml。ECT:右侧第4、6、7肋骨及左侧第6肋骨代谢异常,建议随诊。上腹部MR增强:肝S7段可见动脉期明显结节样强化,门脉期及延迟期呈轻度强化灶(图1)。胸部增强CT: 左肺上叶1.5cm结节样高密度影,形态欠规则,边界清,增强扫描呈不均匀轻度强化。考虑肿瘤性病变:1. 原发支气管肺癌(小细胞肺癌)?2. 转移?(图2)。建议行肺穿刺活检或胸外科手术明确病灶性质,患者拒绝。

图1. 2019年9月5日腹部MR示肝S7段动脉期明显强化结节

图2. 2019年9月6日胸部强化CT示左肺上叶结节样高密度影
2019年9月18日再次行介入治疗。术后1月复查HBsAg 2410 IU/ml,HBeAg 6.37 IU/ml,hsHBV-DNA<10 IU/ml,AFP 21.56ng/ml。腹部增强CT:S6\S7\S8段可见散在斑片状高密度影及类圆形低密度影,增强未见明显强化影。胸部增强CT:左肺上叶1.3 cm结节样高密度影,边界清楚,增强扫描呈不均匀逐渐明显强化,较前变化不著,建议随诊除外转移。10月16日在气管插管全麻下行“胸腔镜下左肺叶包块楔形切除术+术中病理检查(备左肺癌根治术)。术中冰冻符合肝细胞癌肺转移。病理结果:(肺)左肺上叶包块,转移性中-低分化肝细胞癌,免疫组化结果Hep(+)、GPC-3(+)、CK19灶(+)、TTF-1(-)、NapsinA(-)、P63(-)、CD10(-)、Ki-67约90%(+)。肺转移明确,二线换用瑞戈非尼进行全身治疗。
2019年12月19日复查hsHBV-DNA 11 IU/ml,AFP 4.99 ng/ml。升级为恩替卡韦+丙酚替诺福韦抗病毒治疗。
2020年3月11日复查hsHBV-DNA<10 IU/ml,AFP 2.63 ng/ml。腹部增强CT:肝脏S5、S8段椭圆形稍低密度影,直径分别约0.5 cm、2.3 cm,但增强未见强化。胸部增强CT:左肺上叶1.7 cm×1.0 cm的不规则高密影,边界清楚,周围见斑片状磨玻璃影,范围较2019年10月19日变小,增强未见明显强化,考虑术后改变。
2020年6月30日复查,AFP正常,hsHBV-DNA检测不到。胸部+上腹部增强CT示左肺上叶斑片状级条状高密度灶,较前片(2020年3月10日)无明显变化;肝右叶异常低密度灶,未见明显动脉血供,较前面变化不著。
2020年7月24日最近一次随访,肝功、上腹部B超、AFP正常,hsHBV DNA 检测不到,结果正常。

专家点评
患者乙肝、肝硬化,AFP升高进一步检查发现小肝癌。初诊时病灶1枚且<5 cm,中国肝癌分期Ⅰa期,依据《原发性肝癌诊疗规范》(2017年版)[1]可行根手术或消融治疗。患者病灶位于S7段,消融治疗安全、耐受性好。消融术后3个月,患者AFP下降不明显,hsHBV-DNA增高,S8再发新病灶。此时中国肝癌分期为Ⅰb期,可以给予局部TACE治疗。TACE治疗可以快速降低局部肿瘤负荷,但是会引起VEGF升高,促进新生血管形成, 可能导致肿瘤转移复发。而靶向抗血管生成药物索拉非尼能够抑制新生血管生成,进而抑制肿瘤细胞增殖。因此早在《原发性肝癌诊疗规范(2017版)》[1]开始主张综合TACE治疗,即TACE联合其他治疗方法,目的是控制肿瘤、提高患者生存质量。本例患者TACE后联合索拉非尼治疗后无进展生存期(PFS)约2年,有效降低了短期复发转移风险。本例患者合并乙肝背景,抗肿瘤治疗同时优化抗病毒治疗,有效控制病毒复制,在整体治疗中也是至关重要的。
患者2019年9月复查肝脏S7段结节再显强化,左肺上叶结节影。左肺上叶楔形切除对于明确病灶性质、指导下一步治疗起到决定性作用。术后病理证实肺部结节为肝细胞癌转移。此时可以明确患者疾病进展至Ⅲb期,系统治疗成为主要治疗方式。NCCN指南[2]推荐肝癌索拉非尼-瑞戈非尼全程管理。这是基于国际、多中心、随机、双盲、Ⅲ期RESORCE研究[3]循证医学证据。该研究入组573例能耐受索拉非尼且索拉非尼治疗后进展的肝细胞癌患者,肝功能Child-Pugh A级,按照2∶1比例随机分配给予瑞戈非尼(160mg/d, n=379)或安慰剂(n=194)治疗。研究的主要终点总生存期(OS)瑞戈非尼组为10.6个月,较对照组延长2.8个月,死亡风险显著降低37%。事后探索性分析显示[4],与对照组患者总生存期19.2个月相比,一线索拉非尼序贯二线瑞戈非尼全程治疗模式患者中位OS长达26.0个月。该研究中我国贡献了156例患者(包括大陆及台湾地区),亚组分析数据与总体数据一致,因此2017年12月瑞戈非尼在我国获批晚期肝癌二线治疗适应证。CSCO指南[5]也以Ⅰ级推荐索拉非尼进展后二线换用瑞戈非尼。本例患者更换瑞戈非尼后,随访至今未再出现新发活化病灶,目前无症状生存期已超过36个月,凸显了索拉非尼-瑞戈非尼全程管理模式为患者带来的持久生存获益。
值得一提的是本例患者的抗HBV治疗依从性有待增强,迄今HBV-DNA 载量<12 IU/ml或检测不到的应答效果,仅零星出现,多有LLV应答欠佳的检测结果呈现,所以如果能达到MVR程度,上述靶向序贯疗法的效果可能会更好。
参考文献
[1] 中华人民共和国国家卫生健康委员会. 原发性肝癌诊疗规范(2017 年版).
[2] NCCN肝胆肿瘤临床实践指南, 2019.V2.
[3] Bruix J, Qin S K, Merle P, et al, et al. Regorafenib for patients with hepatocellular carcinoma who progressed on sorafenib treatment(RESORCE): a randomised, double-blind, placebo-controlled, phase 3 trial[J]. Lancet, 389(10064):56-66.
[4] Finn R S, Merle P, Granito A, et al. Outcomes of sequential treatment with sorafenib followed by regorafenib for HCC: Additional analyses from the phase III RESORCE trial[J]. J Hepatol, 2018,69(2):353-358.
[5] 中国临床肿瘤学会. 中国临床肿瘤学会(CSCO)原发性肝癌诊疗指南, 2018.V1.