17类癌症有望一种药搞定?“治愈系”抗癌药拉罗替尼为更多患者带来福音!
靶向药给癌症患者带来新的希望,此类药物针对于癌细胞上特定的靶点,如某些特有的基因突变。尤其是一个“钻石”靶点基因——NTRK迅速地火遍了癌友圈,开启了泛癌种治疗的新纪元!这其中首当其冲的要属——Vitrakvi ®(拉罗替尼,larotrectinib)!
这是肿瘤治疗史上令人振奋人心的里程碑!作为全球首个不分肿瘤来源用于初始治疗的靶向药,拉罗替尼于2018年11月26日被FDA批准上市,用于成人和小儿具有神经营养受体酪氨酸激酶(NTRK)基因融合的实体瘤治疗。
今天无癌家园的小编就带领各位癌友们如何在各大癌种中显示出惊人效果的!
甲状腺癌:年仅5,抗癌3年,拉罗替尼让他“重获新生”
阿什顿5岁时被确诊为4期甲状腺癌,年幼的他接受过手术治疗、放射性碘治疗。但是不幸的是,2017年他用尽了所有的治疗方法,癌症还是扩散到他的肺部、颈部及胸部淋巴结,尽管经历了两轮积极的放射性碘治疗,癌症仍持续存在。他的肺功能受损,需要持续的氧气支持。
直到他的母亲接到电话通知阿什顿的肿瘤样本中含有NTRK基因融合体,能够与西雅图的临床试验相匹配。
他从7月份开始使用该药,就在2个月内,大部分的肿瘤已消失——影像学检查的结果还剩下一些很小的斑点,直到8个月后,阿什顿肺部的肿瘤几乎消失了。他不再需要氧气瓶,已经能够和朋友们一起跑步、一起踢足球。

图片阿什顿最后一次扫描
莫菲特癌症中心的儿科肿瘤学家达蒙·里德博士说:“当发现具有这种药物靶向突变的患者时,拉罗替尼几乎每次都会有神奇的疗效。这可以为像阿什顿这样的数千人提供新的希望。”

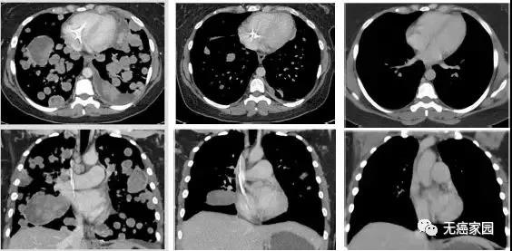
肺癌:肿瘤填满双肺的90%,使用拉罗替尼体验到生死的差距
2014年,Nichol Miller被诊断出腿部患有高级别的软组织肉瘤之后,进行了广谱化疗和手术,但却无法阻止快速扩散的癌症。
她的医生重新检查了对她的肿瘤样本进行的下一代基因组测试的结果。他们发现她的肿瘤有一个罕见的突变,称为NTRK基因融合。次年3月,米勒的病情严重到肿瘤充满90%的肺部,幸运的是她能够成为首位接受这种融合治疗的患者。
在开始每天两次服用拉罗替尼的3天内,米勒可以坐起来并且完整地讲话;
一个月后,她呼吸完全正常了;
到了6个星期,她可以骑马了,情况一直都在不断地好转。
现在,她的随访扫描结果显示,在过去三年她都已经没有癌症的迹象!

图示分别为治疗前、治疗3周期第1天、治疗13周期第1天
软组织肉瘤:天生患肿瘤,用药2个月后,惊人地缩小78%
5岁的康纳出生时右膝下方有一个6厘米的肿瘤,被带到医院后活检显示纺锤状细胞肿瘤,这种肿瘤具有肌纤维瘤病(一种罕见的良性肿瘤)和婴儿纤维肉瘤(一种罕见的癌性肿瘤)的特征。
医生在康纳7周大的时候就开始化学治疗,并且持续了一年。然而化疗仅仅只能缩小一点肿瘤,当停止后肿瘤又再次生长。医生不得已尽可能多地切除肿瘤,但是手术解决方案存在风险,因为血管直接穿过肿瘤。不幸的是,手术后不久肿瘤又长大了。
在化疗和手术未能阻止肿瘤生长后,霍金斯博士在一项临床试验中开始治疗康纳,该试验测试了Loxo Oncology的一种名为LOXO-101(拉罗替尼)的新药。2个月后,他的肿瘤惊人地缩小了78%,治疗4个月后的扫描显示肿瘤完全消失。

图中男孩为康纳
针对17种癌症有效!“传奇”抗癌药拉罗替尼招募来袭
拉罗替尼堪称“治愈系”的传奇抗癌药获批的临床数据的疗效让人印象深刻:在TRK融合癌患者的临床试验中,入组的55位患者,拉罗替尼的总缓解率高达ORR为75%,其中22%的患者完全缓解。基于此数据被批准用于成人和小儿具有神经营养受体酪氨酸激酶(治疗NTRK)基因融合的实体瘤治疗。
当然这个有效率还在后续的研究中不断刷新,并且这款药物是不区分肿瘤来源的,也就是说不管是肿瘤出现在什么难治的部位,也不管是不是出现了转移,只要存在NTRK(1/2/3)融合,都可以使用这款药物,临床数据已经证实对17种实体肿瘤有效,其中常见的肺癌的客观缓解率75%,甲状腺癌和纤维肉瘤高达100%!
拉罗替尼临床试验中各类癌症的有效率
和持续缓解时间
