食管癌术后淋巴结转移 替雷利珠单抗联合化疗击退疾病进展 2周期实现PR
食管癌为常见的恶性消化道肿瘤,手术切除为治疗主要手段之一,但术后患者如果没能规范足疗程完成术后辅助治疗,亦可出现锁骨上淋巴结转移。对于此类患者,临床可以采用免疫检查点抑制剂联合化疗的方案进行治疗,正如本例患者在食管鳞癌术后1年出现右锁骨上淋巴结转移,随后采用替雷利珠单抗联合化疗的治疗方式,在2周期后即取得了PR的疗效,令人鼓舞。下面具体介绍本病例内容,期待这一成功的实践能为临床治疗食管癌术后淋巴结转移患者的选择带来更多启示。

基本情况
一般资料:患者男性,47岁。
主诉:食管癌术后1年余,发现右锁骨上淋巴结肿大2天。
病史:患者2019年4月13日因“进食梗阻感2月,进食后胸骨后疼痛2周”就诊山东大学齐鲁医院,入院完善检查,明确为“食管胸中下段鳞癌”,排除手术禁忌,2019年4月17日在全麻下行食管癌切除+胃食管主动脉弓上吻合术,诊断为(食管)中-低分化鳞状细胞癌(pT2N1M0 ⅢA期)。2019年6~7月治疗方案为:替吉奥早75mg、晚50mg po,d1~d14+顺铂30mg d1~d4,q21。由于自感耐受性差,中断治疗,定期复查,2020年3月17日行CT发现右侧锁骨区淋巴结增大。为进一步诊治收治我科。
体格检查:右锁骨上区可及一约2*1.5cm肿大淋巴结,质硬,活动度差,边界清,无触痛,心肺未及明显异常,腹平软。
既往史:既往体健。
个人史及家族史:饮酒史10余年,约半斤/天,已戒,无家族遗传病史及肿瘤病史。
右锁骨上淋巴结穿刺病理示:鳞状细胞癌。鳞癌抗原及细胞角质蛋白均正常。
2020年3月17日胸+上腹CT:食管术后所见。肺内微小结节。右侧锁骨区淋巴结增大。上腹部CT未见异常。


诊断
病理诊断分类:鳞癌
TNM分期:pT2N1M0 ⅢA期→cT2N1M1 Ⅳ期
ECOG PS评分:1分
治疗经过及疗效评价
2020年3月26日、2020年4月18日:第1、2周期免疫+化疗。
方案:替雷利珠单抗200mg d1+紫杉醇脂质体240mg d1+顺铂30mg d1-d4,q21。
2020年5月8日:疗效评价PR。

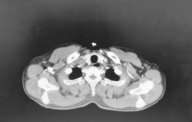
5月8日CT结果
2020年5月9日、2020年5月30日:第3、4周期免疫+化疗。
方案:替雷利珠单抗200mg d1+紫杉醇脂质体240mg d1+顺铂30mg d1-d4,q21。后续替雷利珠单抗200mg d1 ,q21,同时局部放疗1疗程。
2020年7月8日:疗效评价PR。

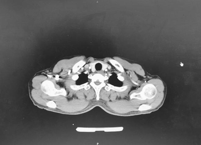
7月8日CT结果
不良反应
患者在第1、2周期治疗期间出现胃肠道反应1级,骨髓抑制2级;第3、4周期治疗期间出现胃肠道反应1级,骨髓抑制1级。
病例总结
该患者为食管癌术后ⅢA期,未能规范足疗程完成术后辅助放化疗,后出现右锁骨上淋巴结转移,给予替雷利珠单抗联合化疗2周期后转移淋巴结迅速消退,疗效评估为PR,续行应用2周期后肿大淋巴结几乎消退不见,患者替雷利珠单抗维持治疗,整体状况良好。

专家点评
食管癌患者术后如果辅助治疗不到位,也有可能会出现远处淋巴结转移的情况,部位可累及胸部、腹腔、甚至颈部,其中锁骨上淋巴结转移是常见的转移部位。出现锁骨上淋巴结转移后,既往主要的治疗手段是同步放、化疗以及序贯的化疗。
近年来,免疫治疗在多个瘤种的治疗实践中都取得了一定成果,其应用不仅涉及多线治疗,也用于辅助治疗和新辅助治疗中。替雷利珠单抗是近几年倍受关注的免疫检查点抑制剂;相较于其他PD-1抗体,替雷利珠单抗对Fc段进行创新改造,减少因抗体依赖性细胞介导的吞噬作用(ADCP)而导致的T细胞减少,从而使T细胞有效杀伤肿瘤细胞。且替雷利珠单抗Fab段与PD-1解离速率更慢,亲和力更强,从而能够发挥更大的抗肿瘤作用。本例患者食管癌术后发生右锁骨上淋巴结转移,给予替雷利珠单抗联合化疗2周期后即评效PR,续行应用2周期后肿大淋巴结几乎消退不见,由此可见替雷利珠单抗联合化疗在食管癌术后发生锁骨上淋巴结转移患者中疗效显著。
此外在免疫治疗期间,临床医生也需要关注患者的不良反应。本例中患者在免疫联合化疗治疗期间出现了胃肠道反应和骨髓抑制,但整体可控,并不影响治疗的连续性,患者耐受性较好,有利于坚持治疗,避免出现之前因患者自行停药而发生的疾病进展。