替雷利珠单抗联合化疗一线实战 IVA期食管鳞癌患者6周期后实现PR
在免疫治疗出现之前,晚期食管癌的治疗以全身化疗为主,疗效有限,存在极大的未被满足的临床需求。免疫检查点抑制剂改变了晚期食管癌的治疗格局。目前免疫治疗食管癌二线适应症已经获批,一线方面,替雷利珠单抗RATIONALE 205研究结果在去年ESMO Asia公布并于今年6月在Clinical Cancer Research上正式发表,这一研究也是全球首个公布的免疫联合化疗在食管鳞癌一线治疗的探索性研究。同时据了解,已有III期研究结果证实免疫联合化疗治疗晚期食管鳞癌可达到OS和PFS的双重主要终点。在此背景下,本期我们将分享一则替雷利珠单抗联合化疗助力晚期食管鳞癌患者实现PR的病例,充分展示了替雷利珠单抗联合化疗在晚期食管癌一线治疗中的疗效,期待为临床诊疗提供新思路!

基本情况
一般资料:患者男性,60岁。
主诉:进行性吞咽困难3月余。
现病史:2020年4月,因“进行性吞咽困难3月余”就诊我院。患者入院前在福建省平潭协和医院分院行胃镜:(距门齿约35-40cm)管腔狭窄,僵硬;病理(S20201900):鳞状细胞癌。我院病理会诊:(食管活检)鳞癌。2020-4-18胸部CT示:1.考虑胸下段及腹段食管癌并纵隔淋巴结转移,累及胃贲门;2.请随访左锁骨区淋巴结。上腹增强CT:考虑胃小弯侧及腹膜后多发淋巴结转移累及胃小弯壁。食管造影:考虑食管下段癌累及贲门。
诊断
食管胸下段鳞癌累及贲门,纵隔胃小弯腹膜后淋巴结转移累及胃小弯壁,cT4N3M0 IVA期
治疗经过及疗效评价
2020年4月22日~2020年8月20日:行“紫杉醇 270mg+奥沙利铂 200mg+替雷利珠单抗 200mg”一线治疗6个周期,过程顺利。
疗效评价:疗效评价PR,未发现免疫治疗相关不良反应。
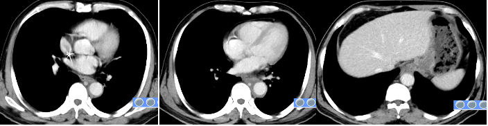
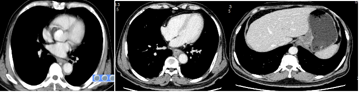
2周期治疗后患者吞咽困难症状缓解。2、4周期复查CT:胸下段及腹段食管癌并纵隔淋巴结转移累及胃贲门较前明显缩小,胃小弯侧及腹膜后多发淋巴结转移累及胃小弯壁较前明显退缩。后续计划提交本院食管癌MDT讨论拟定下一步行手术或局部放疗。

替雷利珠单抗+化疗联合治疗前影像

替雷利珠单抗+化疗联合治疗2周期后影像

替雷利珠单抗+化疗联合治疗4周期后影像
病例总结
该患者为晚期食管癌,食管病灶长,并累及贲门及胃小弯,纵膈淋巴结、胃小弯淋巴结及腹膜后淋巴结广泛转移,一线予以替雷利珠单抗联合紫杉醇、奥沙利铂治疗,获得了很好的疗效,肿瘤快速退缩,临床症状迅速得以缓解,疗效评价PR,且治疗耐受性好,没有出现免疫治疗相关不良反应,目前仅胃小弯局部残留,计划近期全面复查,评估肿瘤情况,同时提交我院食管癌MDT讨论下一步局部治疗的可行性,同时继续予以替雷利珠单抗全身维持治疗。
本病例是采用替雷利珠单抗联合化疗在晚期食管癌一线治疗中的一次成功尝试。在RATIONALE 205研究的突破性成绩之后,替雷利珠单抗联合化疗作为不可切除的、局部晚期复发性或转移性食管鳞状细胞癌患者的一线治疗Ⅲ期全球多中心研究(RATIONALE 306研究)正在顺利进行中,期待这项研究取得阳性结果,为中国晚期食管癌患者带来更多获益。

专家点评
食管癌是我国非常高发的一个瘤种,新发与死亡患者数占全球半数以上。与欧美患者不同,我国患者以鳞癌为主,初诊时大多数为晚期。晚期食管癌一线治疗常用的方案是FP(铂类联合氟尿嘧啶类药物)或TP(紫杉醇联合铂类),一线治疗有效率30-50%,中位OS不超过一年,预后差。
免疫检查点抑制剂开创了食管癌系统治疗新篇章,多个PD-1单抗已被批准用于晚期食管癌的二线治疗;在一线治疗中,目前已经开展多个PD-1单抗联合化疗的III期研究,其中就包括替雷利珠单抗的RATIONALE 205和RATIONALE 306研究。替雷利珠单抗是百济神州全球首款肿瘤免疫治疗药物,也是其首款在国内获批上市的自主研发抗癌新药。我们中心参与了替雷利珠单抗在晚期食管癌的二线及一线治疗的III期全国多中心研究,共入组了30余例患者,总体而言,疗效不俗,安全性良好,期待试验结果。
替雷利珠单抗独特的结构优化是前期一系列成功探索的基础与核心,通过Fc段改造,去除了与Fc&γ;R的结合,避免了抗体依赖性细胞吞噬(ADCP)效应导致的T细胞消耗,始终保持T细胞杀伤作用,显著增强了抗肿瘤活性,为PD-1单抗的改构增效提供了良好示范。
本例食管癌患者一线给以替雷利珠单抗联合紫杉醇、奥沙利铂治疗,2周期后患者吞咽困难症状缓解,2、4周期后复查CT示疗效PR,取得了令人满意的疗效,同时耐受性好,下一步继续予以替雷利珠单抗维持治疗,同时给以积极的局部治疗,希望能给患者带来更好的肿瘤控制。