隆突性皮肤纤维肉瘤的超声表现
隆突性皮肤纤维肉瘤(DSFP)属于纤维组织细胞来源的低度恶性肿瘤,一般认为它具有原位侵袭性强、生长缓慢、治疗后易复发,但较少转移的特点。DFSP的好发年龄为20-50 ,好发于躯干及四肢,其次为头颈部,病理镜下可见大量梭形肿瘤细胞呈席文状或车辐状环绕血管裂隙排列,90%的DFSP患者免疫组化CD34 呈阳性。临床常表现为隆起于皮肤表面的无痛性结节或肿块(与感染性红肿热痛不同),表面多呈紫红色、淡红色。病因不明,可能先天性或与手术、外伤等有关。DFSP治疗以手术为主,但术前常因诊断为良性肿瘤行局部切除而导致复发,局部复发率高达20%-60%,因此术前诊断正确,并在此基础上采取广泛切除术,可明显降低复发率。



隆突性皮肤纤维肉瘤表现为隆起于皮肤表面的无痛性肿块(与感染性红肿热痛不同),表面多呈紫红色、淡红色(与鳞癌等表面粗糙不同),我姑且称之为无花果色。
(皮肤图片由宝安区人民医院程启老师提供,无花果图片来自百度)
超声表现:
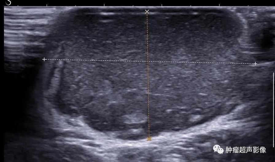
1、 部位:位于真皮和皮下软组织内,不同程度的隆起于皮肤表面;
2、 形态:圆形、椭圆形、不规则形或分叶状,呈水平方向生长;
3、边界:边界清或不清,病变侵犯脂肪组织,可见伪足状低回声伸入高回声脂肪内;
4、回声:不均匀低回声,内部可见不规则条带状高回声与低回声相间隔,病理基础为呈低回声的肿瘤细胞及呈强回声的纤维基质比例不同、相间排列;
5、 病灶质地硬加压无变形;
6、CDFI:多表现为较丰富的血流。
总结:出现以下特征应考虑DFSP的可能:肿瘤部位表浅,隆起于皮肤表面,呈紫红色、淡红色,无痛,呈水平方向生长,内回声不均(不规则条带状高回声与低回声相间隔),可见伪足状低回声伸入高回声脂肪内,血流丰富,病灶质地硬加压无变形。


病理证实的隆突性皮肤纤维肉瘤:上臂隆起于皮肤表面的无痛肿块,呈紫红色,椭圆形,水平方向生长,内回声不均(见不规则条带状高回声),边缘可见伪足状低回声伸入高回声脂肪内,血流丰富。


病理证实的隆突性皮肤纤维肉瘤:上臂隆起于皮肤表面的无痛肿块,呈紫红色,形态不规则,水平方向生长,内回声不均(见不规则条带状高回声与低回声相间隔),血流稍丰富。