大医精诚 为我雏幼 ——四川省肿瘤医院神经外科小儿病例诊疗纪实

一直以来,神经外科都是公认的外科学中位于金字塔尖的分支学科,神经系统在人体中的重要性决定了神经外科在外科中的地位。在神经外科众多的亚专业中,小儿神经外科是一个特殊的存在。由于小儿患者的特殊性,小儿神经外科往往有着比成人神经外科更高的技术要求。因此,全国范围内真正规模化、成建制的小儿神经外科专业组屈指可数。我院神经外科即是如此。从最初建科的1996年到日益壮大的2019年,这二十余年里,开展了大量成人神经系统肿瘤的临床工作,但在小儿神经外科方面几乎是空白一片。在西南地区肿瘤神经外科三足鼎立的格局中,我院神经外科由于小儿专业组的缺失而略显单薄无力。

任天剑主任医师
为推动我院神经外科的提升和发展,医院实施高层次人才引进战略,现任神经外科主任、任天剑主任医师就是在今年新冠疫情这个关键时刻来到了我科并全面主持临床工作。任主任师从我国神经外科奠基人中国工程院王忠诚院士,在神经外科国家队北京天坛医院神经外科工作近二十年,尤其是在小儿专业组长期从事一线临床工作,在小儿神经系统肿瘤的临床诊治方面经验丰富。我科另一名高年资主治医师汪雷也拥有在北京天坛医院神经外科13年的工作经验,尤其在小儿专业组历练数年,系统的掌握了小儿患者的围手术期管理、特别是关乎手术成败的术后管理。从今年7月份开始,以任主任和汪医生为主的医疗团队便已经开展了小儿神经外科方面的工作,迄今为止已经完成了5例小儿患者的治疗,术后均获得了满意的临床疗效。在此我们总结分享下这几例病例。
病例一:脑袋上“摔出来”的包

3岁的皓皓在今年7月初不小心摔倒,把额头磕出了一个硬硬的鼓包,半个月之后鼓包虽然变软了,但触碰后的疼痛感似乎并没有减轻,结果医院检查就发现鼓包处的颅骨有一处一元硬币大小的缺损,缺损处似乎还有异常的肿物填充。到我院神经外科门诊就诊后,任天剑主任经过仔细诊治后认为,这是一个因为偶然外伤而被发现的颅骨肿瘤。入院后经过周密的术前准备,皓皓接受了颅骨病变的切除手术,术中发现在额头颅骨缺损处确实有一块浅黄色的实质性病变,周围的颅骨也有侵蚀,手术中将病变及周围异常的颅骨都切除了。术后皓皓恢复得很好,除了头皮上一道细细的瘢痕之外,并没有出现任何新的异常。术后的病理结果证实为颅骨的嗜酸性肉芽肿,这是一类良性的颅骨病变,通过手术就可以治愈。
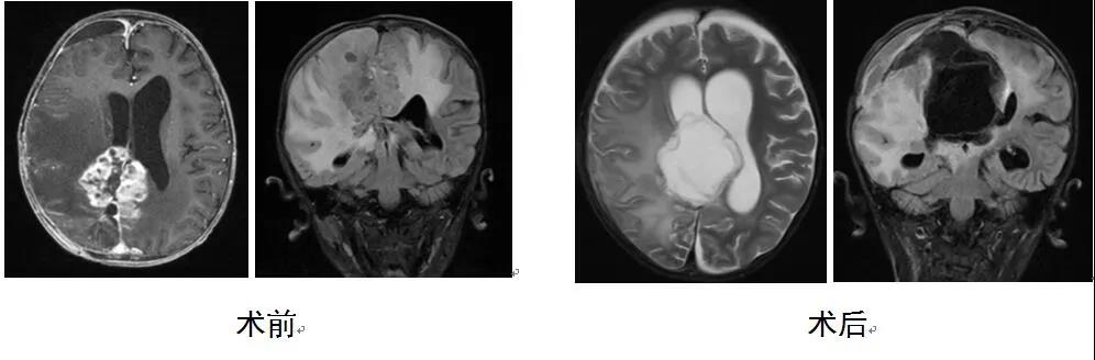
病例二:少女小美之烦恼

来自雅安的8岁小姑娘小美,聪明乖巧、品学兼优,还写得一手工整的好字。可在4个月前却不幸在当地医院查出患了脑瘤。在当地医院接受手术后不仅没能完全切除脑瘤,反而被去除了部分颅骨,术后小美又经历了数次放化疗,残余肿瘤非但不缩小反而在短时间内快速生长,结果就在头顶长出了一个大“包包”,放化疗科医生束手无策、不敢再将放化疗进行下去,绝望的小美父母在求助多家省级大型三甲医院无果后来到了我院神经外科,找到了任天剑主任,任主任了解病情后告诉小美妈妈,小美残余的肿瘤太大,单靠放化疗无法抑制肿瘤生长,需要再次手术,但是小美年龄小、身体弱,放化疗后的头皮又菲薄异常,而且肿瘤靠近脑组织中央区,术后存在对侧肢体瘫痪的风险。同时任主任也积极鼓励小美妈妈,虽然二次手术比较棘手,但依靠我们现有的手术技术足以把手术风险控制在最低水平。经过了任主任手术团队5个小时的精心手术,残余的肿瘤被完整切除,而且术后小美手脚活动完全正常,头皮也愈合良好,任主任术前所担心的所有风险都被完美的规避了。头顶讨人嫌的“包包”终于不见了,小美开始了相对正常的生活,小美妈妈也露出了欣慰的笑容。


病例三:孩子体内蕴藏的神奇能量

还差一个月满3岁的涵涵有点小调皮,一点不认生,即便是第一次进到病房这种陌生环境也举着手机旁若无人的聊天。涵涵是在4个月前被父母发现左手左脚活动减少的,之后到成都检查就发现颅内长了肿瘤。涵涵父母经过多方打听了解到任主任从北京回到了我们医院,于是慕名前来就诊。复查的结果并不十分乐观,因为这是一个位于专业术语称之为基底节区的肿瘤,这一类肿瘤最大的术后风险就是对侧肢体的瘫痪,这对于一个尚不满3岁的幼儿来说不啻于毁灭性的打击。但不幸中仍然有万幸,涵涵长的脑瘤极有可能是一类常见于小儿的低级别胶质瘤,如果手术充分全切则有望获得治愈。在任主任耐心的讲解和鼓励之下,涵涵父母终于将小女儿送进了我们科的病房。无论是术前手术切口的设计还是手术入路的选择,任主任都全程参与方案制定,甚至在手术中,从切皮开颅到切除肿瘤,任主任都全程亲力亲为,亲自掌控手术的每一步,目的都是为了将手术对患儿的创伤和打击降到最低,因为小儿患者对术中失血以及脑损伤的耐受程度远低于成人。


手术的结果是令人欣慰的,在出血不足100ml的情况下全切肿瘤,而且从术后的影像学上看肿瘤周边重要的脑组织结构几乎毫发无损,术后的病理结果也证实了术前的预判,因此涵涵的病就可以称作临床治愈了。术后的涵涵虽然出现了意料之中的对侧肢体力弱,但在术后对症的治疗和精心的护理之下,涵涵左侧的手脚开始迅速恢复,从一开始的无力抬起,到一周后的可以举高高,再到半个月后可以在父母的搀扶下下地活动,术后一个月的时候涵涵就可以完全自己走路了,虽然有点歪歪扭扭。任主任每次听说涵涵的点滴进步,都会发自内心的感慨:小孩儿的恢复能力真的是太强了!这也就是孩子小小身躯内蕴藏的神奇能量!

病例四:不同的不幸,却一样的幸运
11岁的小艺算是这几例病例中岁数比较大的孩子了,虽然得了和涵涵一样的病,但求医之路却比涵涵曲折得多。小艺先是就诊于我省另一家大型三甲医院,但由于包括新冠疫情在内的种种不巧,虽然接受了开颅手术,但只切除了浅部的一小部分肿瘤,术后小艺父母被告知这种疾病恶性度极高、再继续治疗的意义不大。不甘心的小艺父母还到过上海,得到的仍旧是类似的回答。依旧不死心的小艺父母一度打算再上北京去天坛医院看病,但机缘巧合听说任天剑主任已经从北京天坛医院回到了四川省肿瘤医院工作,便带着最后的一点希望来到了任主任的门诊。任主任接诊之后正告小艺父母,小艺得的病并不是所谓的恶性度极高、毫无治疗意义,恰恰相反,这是一种低度恶性、通过手术可以达到治愈的脑瘤。一席话虽不多,但对于一对近乎绝望的父母而言无异于拨云见日、重获希望。经过同样精心的术前准备、精细的手术操作之后,肿瘤再次被精准的完全切除,周围重要的基底节结构同样完好无损。术后的小艺也经历了与涵涵类似的恢复过程,但由于更小的脑损伤,在出院之前小艺就基本能自己行走了。


病例五:大眼的病娃,懂事的乖宝

五个孩子里轩轩是最不幸的,虽然才刚满4,但轩轩得的却是恶性度极高的脑瘤,而且也是因为种种原因在当地医院接受了开颅手术但只切除了部分肿瘤,术后还经过了30次的全疗程放疗和化疗,但剩余的肿瘤仍快速增大、患儿身体状况每况愈下,万般无奈的患儿父母同样在辗转求助多家省级大型三甲医院无果后来到了我们科,这时的轩轩已经非常瘦弱,由于长期肿瘤合并脑积水的缘故,轩轩看上去很吃力的支撑着一个相对于身躯而言略显硕大的头颅。而最让人印象深刻的是轩轩的一双大眼,清澈透明得让人无比怜惜。虽然才4,但或许因为过早经历了病痛,不哭不闹的轩轩显得比同龄孩子更加懂事,能够不服用镇静剂就坚持做完十分嘈杂的磁共振检查已经让医生大为吃惊了,而麻醉前听到护士的细语安慰后轩轩默默流泪的场景则更加令人动容。虽说已经深知疾病的恶性度以及极不乐观的预后,但为了孩子也更多为了家长,任天剑主任仍然决心再搏一把、再做一次手术切除剩余的肿瘤,为轩轩赢得更多的时间。所幸手术过程比预想的顺利,出血不多,切得也很彻底。术后轩轩恢复得不错,很顺利就出院了。任主任自己也说,有些时候,虽然明知一个患儿得的脑瘤十分恶性、存活时间不会太长,但面对将所有希望都寄托在医生身上的身心俱疲的患儿家长,他不会去拒绝任何能够给他们带去希望的行为,哪怕会是一台十分复杂、在医学上意义不大的手术。身为医者,同样也为人父母,面对小儿患者,总是能生出多一分的悲悯之心和保护患儿的冲动。
这几例病例作为我科收治的第一批小儿患者,仅仅只是一个开始。通过这几例病例,任主任想要向更多遭遇这一类不幸的父母传达这样的信息:
首先,小儿长了脑瘤并不可怕,更不要轻言放弃,只要经过了充分恰当的治疗,术后的后遗症往往会比成年人更快的恢复;
其次,对大多数小儿神经系统肿瘤而言,手术仅切除小部分肿瘤然后进行放化疗不仅难以取得满意的疗效,残留大部分瘤体的占位效应、瘤周水肿以及后续放化疗引起的新发脑水肿往往会使患儿的病情快速恶化,因此手术大部切除或全切除肿瘤是治疗关键的第一步,术后再对少量残余的肿瘤进行辅助性放化疗才能取得比较满意的疗效,部分小儿低级别胶质瘤手术全切除后甚至能达到临床治愈;
最后,为了幼小的孩子,家长们请尽量选择具备专门小儿神经外科实力的大医院,避免首次手术切除不净又要接受再次手术给孩子带来的痛苦和创伤。
古语云:靡不有初,鲜克有终。开始不易,坚持下去更难。我们有信心利用好四川省肿瘤医院在肿瘤综合诊治方面的绝对优势以及来自于北京天坛医院神经外科的先进诊疗技术和诊疗理念,吸引更多的小儿神经外科患者,彻底补齐我科在小儿病例方面的短板,为川中父老甚至大西南地区的父母们解除更多的痛苦、带去更多的希望。
