多项临床病例力证新型TILs免疫疗法到底能带来多少惊喜
TILs疗法中文称肿瘤浸润的淋巴细胞,简单点讲就是将手术切除的肿瘤组织中的淋巴细胞分离纯化,挑选出其中能特异性抗癌的淋巴细胞,扩增活化后回输。这类疗法拥有30多年的历史,最早用于恶性黑色素瘤,近年来在宫颈癌、肺癌等多种实体瘤中都给出了不俗的数据。

去年的ASCO会议上,基于TILS细胞的创新型疗法LN-145和LN-144(Lifileucel)在治疗宫颈癌和黑色素瘤的临床结果一经公布,就引起了医学界的广泛关注,其中黑色素瘤中的TIL治疗具有持续数十年的完全应答(CR)的潜力,这种长期的作用归功于记忆T细胞的持久性。
今天小编专门找到一些关于TILs治疗各类癌症的相关临床病例,以供各位癌友们参考,也希望给各位带来更多生存的希望!
9年无复发,TILs疗法治疗黑色素瘤疗效强劲!
2011年,荷兰癌症研究所(NKI)启动了针对TIL治疗转移性黑色素瘤的I / II期可行性研究,以评估可行性和临床有效性,最近相关成果公布在《Journal for immunotherapy of cancer》上。

一共10名患者接受了治疗,有5例显示出明显的临床反应,其中包括2例完全缓解的患者,持续治疗7年以上。1位患者疾病稳定超过2个月,剩余4位表现为进行性疾病。
其中治疗效果最好的患者3是一名46岁男性,患有BRAF V600E突变阳性黑色素瘤,伴有淋巴结转移,肝转移和左侧肾上腺增大。
在接受维罗非尼治疗期间,该患者肝转移完全消失,但出现淋巴结转移进展。随后,他接受了伊匹单抗的治疗,但在4个疗程后表现出进行性疾病。在研究入组时,该患者的右上腿表现出大的转移,以及淋巴结转移,肾上腺肿大,但没有肝、肺或脑转移的迹象。之后,患者接受19.6×10^10 TIL,然后是4个大剂量的IL-2,TILs输注后12周达到完全缓解。
TIL治疗后,该患者保持无病状态超过9年。如下瀑布图显示了10名患者的最佳反应,其中患者3腿部肿瘤图片给出了新生抗原TILs疗效最强有力的证明。

而在今年的ASCO会议上,基于TILS细胞的创新型疗法LN-144(Lifileucel)更新了黑色素瘤的临床结果,再次引起了轰动。
C-144-01是一项2期临床试验,招募66例已被诊断患有IIIc期或IV期转移性黑色素瘤的患者。患者的特点均为至少接受3~4种全身性治疗失败后的患者,同时还接受过PD-1抑制剂治疗。其中80%的患者接受过CTLA-4抑制剂治疗,23%的患者接受过BRAF/MEK抑制剂组合治疗。
亮眼数据:
1.疾病控制率(DCR)高达80.3%;
2.客观缓解率(ORR)达到36.4%;
3.中位随访时间为8.8个月,未达到中位反应持续时间。
4.需要特别提出的是,患有PD-L1阴性的患者也有响应,这说明对免疫检查点抑制剂无效的患者仍能获益于TIL疗法。
无癌家园专家点评:
这些患者基本上是临床上用尽了治疗方案,步入极晚期的患者,还有44%的患者甚至存在肝或脑转移。
这款TILs疗法的效果真的令人惊喜,尤其适用于使用PD-1治疗后发生进展,且无更好的治疗选择的患者。
【典型病例】
一位晚期黑色素瘤患者肿瘤在治疗前出现广泛转移,在接受TILs疗法后一个月病灶明显缩小,治疗6个月达到完全缓解,治疗两年后仍然处于完全缓解状态,并且体内持续存在肿瘤反应性CD8+T细胞。

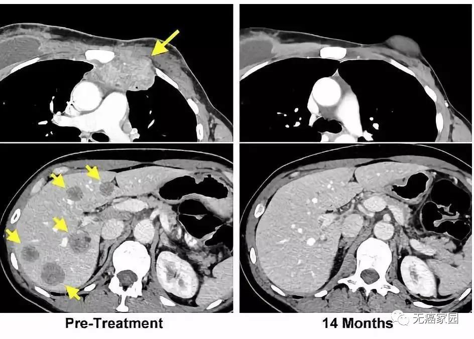
乳腺癌:TILs疗法让生存期仅剩3个月的患者重获新生
2015年,49岁的Judy Perkins 是一名ER+/HER-晚期乳腺癌患者,接受过化疗、内分泌等标准治疗,但是全部耐药,全身多处转移。
鉴于病情较严重,已经没有办法通过常规的方法治疗,所以医生预测,她最多只能活3个月。早在此前,她曾经也接受过免疫治疗的临床试验。
研究人员们在她的肿瘤里寻找到了肿瘤浸润性免疫细胞。在分离出这些免疫细胞后,科学家们决定对它们进行大量扩增,再输回到患者体内。
一周过后,Judy Perkins感觉自己的身体起了明显的变化。比如她长在胸部的肿瘤,感觉逐渐缩小。又过了一两周,胸腔内的肿瘤荡然无存。

左图黄色箭头是治疗前肿瘤位置;右图是治疗结束14个月后的复查:肿瘤完全消失
胆管癌:首位接受TIL疗法的超级幸存者已成功跨过10年
2009年对于Melinda Bachini来说终生难忘,就在儿子14岁生日的当天,她竟被诊断出患有罕见的胆管癌。美国国家癌症研究所的Dr. Steven Rosenberg 博士很不幸地告诉她生存期只有几个月时,她的心情犹如掉进冰窟里。然而人生总是会经历大起大落,神奇的是,她现在不仅从6个孩子的母亲晋升为祖母,更是成为了晚期胆管癌超过十年的幸存者!
这一幸事全都得益于她参加了美国Dr. Steven Rosenberg团队研发的最新的免疫疗法的临床试验,在试验中研究团队采用高度个性化的肿瘤浸润淋巴细胞TILS疗法治愈了Melinda Bachini的肿瘤,这个重大突破被报道在《Science》杂志上,她的抗癌经历也给无数患者带来了信心。

结直肠癌:1400亿个免疫细胞进入体内打败7个肿瘤病灶
2013年,席琳·瑞安(Celine Ryan)不幸患上结肠癌,在接受放疗与化疗之后癌症还是不断复发,并且癌细胞又结肠转移到肺部,长出了7个肿瘤。在走投无路的情况下,席琳参与到了美国国立癌症研究所的一项临床试验中,负责此次临床试验的,是全球知名的肿瘤学家Steven Rosenberg教授。
研究人员从她的体内选择了一组免疫活性较高的肿瘤浸润淋巴细胞进行培养。最后,研究人员将一千亿个体外培养好的肿瘤浸润淋巴细胞注射进了席琳体内,让这些肿瘤浸润淋巴细胞去对抗癌细胞。
在随后的9个月中,席琳肺部的7个肿瘤中,有6个明显缩小,并最终消失。最后一个对治疗没有反应的肿瘤则通过手术被医生切除。如今,她的体内已经检测不到任何癌细胞了。

目前,这款新型的免疫疗法暂未上市,但在全球范围内开展了多项针对各类实体肿瘤(非小细胞肺癌,结直肠癌,卵巢癌,黑色素瘤...)的临床研究,若想了解更多请持续关注无癌家园位点(400-626-9916)。
< h4>小编有话说
近年来,科学家们已经做出了相当大的努力来开发新的细胞免疫疗法攻克实体瘤的障碍。我们期待着,越来越多的临床前/临床试验数据能够拼凑出一幅完整的拼图,充分展示TILs细胞疗法治疗众多实体瘤的真正实力。
参考文献
1.https://jitc.bmj.com/content/8/2/e000848
2.https://meetinglibrary.asco.org/record/186915/abstract
3.https://www.iovance.com/wp-content/uploads/ASCO2019_Poster_C-145-04_cervical_FINAL.pdf
4.https://www.onclive.com/web-exclusives/autologous-til-therapy-elicits-durable-responses-in-pd-1-treated-metastatic-melanoma?p=4
5.https://clincancerres.aacrjournals.org/content/17/13/4550