脑肿瘤手术病例荟萃(三)——额底纵裂入路切除鞍区肿瘤
鞍区病变占颅内病变的10%-30%,常见的鞍区病变有垂体腺瘤、颅咽管瘤、脑膜瘤、视神经胶质瘤、鞍区脓肿等,鞍区结构复杂,位置深在,周围有重要的神经血管结构。该部位病变常与视神经(视交叉)、垂体、垂体柄及丘脑下部等结构关系密切,手术难度大,风险高,目前常用手术入路有开颅手术和内镜经鼻手术,开颅手术入路有经额底纵裂入路、翼点入路、额下入路、经蝶入路等。目前,经额底纵裂入路已逐渐成为鞍上中线部位肿瘤的主流手术入路,术中切除肿瘤可利用的间隙有视交叉前间隙、视交叉和前交通复合体之间的间隙(终板切开后)、前交通复合体之后的终板间隙。
近期,马春晓主任医师团队采用经额底纵裂入路切除鞍区肿瘤,效果良好,分享如下。
病例一
1
简要病情
中年男性患者,以“视物模糊1月余”为主诉入院。既往史无异常,查体:神志清,精神可,步入病房,查体配合,言语流利,双侧瞳孔等大同圆,直径约3.0mm,对光反应灵敏,粗测视力左侧4.9,右侧4.1,粗测视野正常,四肢肌力、肌张力正常。辅助检查:外院头颅CT回示:鞍区占位。
2
诊疗经过
入院后完善相关检查,排除手术禁忌症后行“经额底纵裂入路鞍区肿瘤切除术”,术中主要经第一间隙切除肿瘤,手术顺利,术后患者一般情况良好,神志清,双眼视力均较前好转,视野缺损明显改善,四肢肌力感觉正常。术后病理为垂体腺瘤。
3
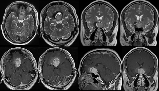
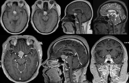
术前影像资料

4
术中可见
肿瘤位于鞍窝及鞍上及前颅底处,肿瘤大小约4*5*5厘米,灰红色,边界尚清,肿瘤卒中,肿瘤质地较韧,血供丰富,肿瘤与垂体柄、双侧视神经、视交叉、双侧大脑前动脉、双侧颈内动脉粘连。
5
术中图片

6
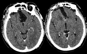
术后CT

7
术后复查磁共振

8
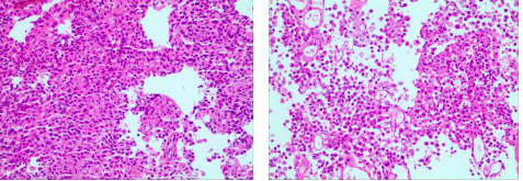
病理结果

病理诊断:垂体腺瘤;
免疫组化:-A.3:ACTH(部分+),CD56(-),CK35BH11(+),ER(-),FSH(-),hGH(-),Ki67(密集区约5%+),LH(-),P53(野生型),PIT-1(-),PRL(个别及小灶+),SF-1(-),SYN(+),Tpit(+),TSH(-),GFAP(-),Olig-2(-),S-100(-)。
病例二
1
病情介绍
老年女性患者,以“间断性头痛3年余,视物模糊3月余”为主诉入院。查体:左眼视力0.3,右眼视力0.05,余未见明显异常。外院辅助检查:头颅CT检查提示:鞍区占位;头颅MRI平扫+增强检查提示:鞍上池占位,考虑颅咽管瘤可能性大。
2
诊疗经过
入院后完善相关检查,诊断为鞍区占位性病变,行“经额底纵裂入路鞍区占位切除术”,术中经第一间隙和切开终板后视交叉和前交通复合体之间的间隙切除肿瘤,手术顺利,肿瘤全切,病理证实为颅咽管瘤,术后恢复清醒,视力明显好转,四肢活动自如。
3
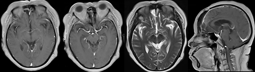
术前影像资料

4
术中可见
肿瘤位于鞍窝及鞍上区,肿瘤大小约3*2.5*3厘米,肿瘤呈囊实性,囊液为灰黑色粘稠液体,实质部分呈灰黄色,质地较韧,部分钙化,囊壁与垂体柄、下丘脑和双侧视神经、视交叉、颈内动脉粘连。其中与垂体柄粘连紧密。
5
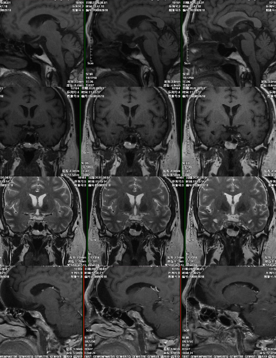
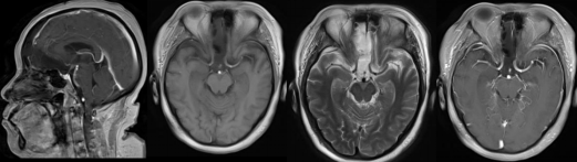
术后磁共振

6
6月后复查磁共振

7
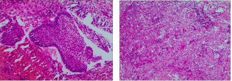
病理结果

病理诊断:结合形态及免疫组化,符合颅咽管瘤,伴囊性变,免疫组化:A.2CK(AE1/AE3)(+),CK5/6(+),CK7(+),P40(+),S-100(-),CgA(-),SYN(-)。
知识链接:
额底纵裂入路,是近些年国内部分专家提出的手术入路新概念。三博脑科医院吴斌教授是该术式的极力倡导者。以下文章源自吴斌教授公开发表在网络平台上的文章(部分图片系编者另加),供同道参考学习。
[吴斌教授] 再论额底纵裂入路:技术与解剖
引言:
对技术的不断追求至今仍是神经外科发展的主线。当然,技术的进化是以观念为先导的。新的观念会产生新的或改良已有的旧有技术,反过来技术的进步也会促使新的观念出现。所以,神经外科医生应专注于手术,且能“跳出少陵窠臼外”,借助新工具新理念,促使新技术不断地衍生,以使手术愈加精准和微创。那种轻视技术之风害人(病患)害己,绝非主流。虽然在技术装备有了革命性进步的今天,但鞍区-下丘脑-三脑室区域手术对于神经外科医生仍是一个巨大的挑战。近 2、3 年来,我在做了大量额底纵裂入路手术的基础上,对此类手术又有了一些新的领悟,并在技术上做了若干创新改良。下面我分两个部分对这些新进展做一个全面的诠释。
一、论额底纵裂,经鸡冠入路
我将额底纵裂入路做为切除颅咽管瘤的主流手术入路(但并不是机械的将此做为唯一的入路),已经有十年了。因颅咽管瘤大多发生于位于中线处的垂体柄,故其主要的侵犯区域为鞍区-下丘脑-三脑室的范围。这一区域突出的特点是深狭、结构繁杂,所涉神经组织 - 下丘脑 ,更是关乎人体多种最基本生命活动的调控中枢,犹然致命。而颅咽管瘤在其生长发展的过程中,由于其深在的起源部位及其特有生物学性质,极易与“脆弱的”下丘脑形成异常紧密的粘连甚或如“浸”入其内。这些均构成了以往手术难以逾越的障碍—下丘脑保护,而保护下丘脑正是此类手术成败的最关键因素。如今,通过采用恰当的手术策略及入路:额底纵裂入路,已能在术中直视下从容而精准的处理下丘脑区域的肿瘤,从而最大限度的保护了下丘脑,达到了手术微创的目的。



在额底纵裂入路手术中,虽能达成对下丘脑区域的直视,但在手术实践中,它亦表现出诸多局限:
如果当肿瘤“顶”至三脑室的“穹顶”水平或更高时,由于此入路的骨窗前下缘仅至眉弓,故所获得的由下向上的观察角度会受到限制,使其直视点很难到达三脑室的穹顶部之莫氏孔乃至室间孔水平。此时若肿瘤与三室的“穹顶”结构如脉络丛或大脑内静脉形成粘连(尽管少有发生),这一视角的限制就变成此种手术的缺陷,使不能直视的穹顶部成为手术死角。
额底纵裂手术时,所用空间本已非常狭小局促,又因途中常有鸡冠形成障碍,故致空间更加难以充分利用。
术中尽可能保护每一个生理结构是现代“微创”理念的核心。额底纵裂入路时,常有额极静脉“阻挡”。一般遇此情况时,常有术者认为额极静脉无重要功能而随意将之结扎。殊不知在有些时候,如其较粗大或有多条,尤其是儿童患者时,若予轻易结扎,可能会加重术后额叶水肿。极端情况时,术后重度额叶水肿亦可引发脑疝。再者,保全额极静脉也可使手术境界得到提升,并且是这一境界所达高度之标记。由是,理应妥以保护之。我观察,额极静脉通常位于距前额颅底的最前端之 2.5-3cm 处,距眉弓水平约 2cm 左右。此时,因额极静脉距骨窗前下缘(眉弓)较近,操作空间有限,不利于术中保护之。
综上各项所列,乃言之凿凿,故唯其骨窗之前下缘比眉弓水平更低,方可避其所受之限。实操并非如拈轻之易,余历经长考,乃将原“额底纵裂入路”做出了如下改良:
①将骨窗前下缘继续向前下方咬除至近鼻根水平,即把骨窗扩展至眉间—鼻根区域。经此,骨窗之前下缘已较眉弓低约 0.5-0.8cm,甚至可低达 1cm。这样,术者会得到了一个更低的由下向上的视角,如此,才能使术中的直视点上移至三脑室的“穹顶”部,最高或达室间孔水平。这对直视下切除侵犯此区域的肿瘤意义重大。
②咬除鸡冠,以彻底去除额底纵裂路径上的障碍。术中,先将骨窗前下缘扩至近鼻根部,再从硬膜外将鸡冠分离出来并予咬除。
③硬膜剪法:在额极最靠额底之前下部做小弧形剪开,长约 2cm 左右,翻向中线。由于骨窗此时已向前下方扩展,故额极静脉之前的空间得以充分利用,使操作余地加大。再者,所剪硬膜之后上缘靠近或已达到额极静脉水平,因硬膜所限,术中可对额极静脉起到一定的保护作用。由此,额极静脉的保护几率得以大大提高。
④鉴于此新术式时,术中需咬除眉间—鼻根区域骨质,术后虑其遗有局部骨质缺损,而影响术后面容。所以,术前可用钛板先予电脑辅助塑形,术毕时遂即能予以一期修补。这样一来,所开骨窗亦可大为缩小(见下图 ),终而达成小骨窗实现微侵袭。此外,开放的额窦予常规严密填塞封堵即可。
事实上,在实现以上四点主要改良后,除却手术切口,此术式不但保留而且更加扩大了额底纵裂入路之原有优势,进而使复杂高风险的下丘脑区域手术真正做到了微侵袭与微创的完美统一。实践已经证明,这些改良让新术式在术中的直视区域变得更深更广,减少了手术死角故而愈加有益于微创。因之,其应用范围也扩大了,更加适于切除广泛累及鞍区 - 下丘脑 - 三脑室区域的各种巨大肿瘤。综上所论,归纳其所用之全部新技术与新观念,不难得出这一结论:额底纵裂入路在经过逐步演进和改良后,已然在原有的基础上,又裂变出了一种新的具有完整规范的术式:额底纵裂,经鸡冠入路。

二、论经额底纵裂手术路径之解剖分区
为了叙述的严谨,首先应给“额底纵裂区域” 做出定义:
在矢状位上,于胼胝体膝部最前端做一水平线,此线以下之前额纵裂范围均属额底纵裂区域,后界即为终板。相较纵裂的其他区域或侧裂来说,此区域的特征十分显著:由前向后两侧额极连接极为紧密,无池且深狭,其间有双侧大脑前动脉之 A2 段穿行(见下图)。

为了使将此区域做为路径以达至鞍区—下丘脑—三脑室的术者,更便于领悟理解和易于掌握此类手术,我又将之前已定义的“额底纵裂区域”再行深度解析,进一步划分出三个分区:
首先,以双侧大脑前动脉之 A2 段为界,其之前区域即是“额底纵裂区域前区”,其之后区域至终板止即是“额底纵裂区域后区”;
其次,额底纵裂投射于前颅凹底和鞍区中线的相应区域可称之为 “额底纵裂区域底区”。
下面将此三个分区详述如下:
1、额底纵裂区域前区
双侧大脑前动脉 A2 段之前的额底纵裂区域即为前区(见下图)此区之特点是,约占额底纵裂区域的 90%。多数情况下,此区之双侧额叶沟回呈犬牙交错状紧密相贴致蛛网膜紧紧相连,少有缝隙而无蛛网膜池状结构。因之,无创伤的分开此区,有时会变得异常艰难而费时。非极具耐心定力锐性分离而不能。此区分离是经额底纵裂区域手术的关键步骤,不仅耗时,而且若在分离过程中,对双侧额叶皮层及其表面静脉的损伤过重过多时,就会使双侧前额内侧纵裂区的水肿加重,极端重度水肿甚至可引发致命的“中央型脑疝”。

2、额底纵裂区域后区
此区位于双侧大脑前动脉A2段的后部止于终板(见下图)与前区相比,后区所占空间小且两侧皮层少有粘连,蛛网膜较为疏松易于分离。但由前区进入到后区尚存有一扇“大门”,此“门”由位于两区之间的双侧大脑前动脉之 A2 段构成,它是前后区相互联通进入终板前的必经之“门”,亦是此路径上的最后障碍。由于,双侧 A2 段经常呈“拧麻花” 状紧密粘连而致“大门”紧闭,所以,小心细致地进行锐性分离,从而将 A2 段完全分开,是最大程度打开此“门”的关键环节。当“大门”彻底打开(向两侧分别牵拉 A2 段)后,由于后区路径已不存阻碍,终板遂能充分显露,终板路径得以打通。有时,因肿瘤巨大并突向前方生长,后区亦会消失。

3、额底纵裂区域底区
额底纵裂投射在相应的前颅凹底和鞍区中线的区域均可归入此区内,其所涉结构较多(见下图)。此区在前颅凹底中线区的宽度,根据解剖特征和与手术关联的程度,可划分为:本区的两侧外缘是以前床突外缘至筛板外侧缘的连线为界,此连线可由前床突再向后延,经视神经至视交叉止;本区之后缘为视交叉之后缘或前交通动脉;前缘可至鸡冠水平。由是观之,本区内的结构由前向后计有:鸡冠、筛板、蝶骨平台、鞍结节、前床突、视神经、蝶鞍、视交叉和前交通动脉。常常提到的视交叉池通路即在底区内。

以上述及了“额底纵裂区域”的三个分区结构特征。其实,通过额底纵裂区域路径切除累及鞍区—下丘脑— 三脑室内之区域的肿瘤,主要就是利用了两条通路,即位于额底纵裂区域底区的视交叉池通路和位于额底纵裂区域后区的终板通路。这两个通路可根据术中需要予以扩展:将视交叉向前牵拉(无涉前交通动脉)可扩大终板间隙,这样可更好地处理鞍上区的肿瘤;亦可通过磨除鞍结节,甚或部分蝶骨平台,以扩大视交叉池间隙,可彻底切除侵入到鞍内的肿瘤组织。